tel 400-6027-270
Main Image
Anti-GGT1/GGT 兔多克隆抗体
¥1900
加入对比
货号: K1340263-100
预测分子量: 62 kDa
观测分子量: 55 kDa
亚细胞定位: 细胞膜
别名: Gamma-glutamyltransferase 1,Gamma-glutamyltranspeptidase 1,GGT 1,Leukotriene-C4 hydrolase,CD224,Ggt,Ggtp,Ggt1
应用 | 种属
WB M,R
IHC/IF M,R
规格:
产品信息
蛋白质全称 谷胱甘肽水解酶1前体
别名 Gamma-glutamyltransferase 1,Gamma-glutamyltranspeptidase 1,GGT 1,Leukotriene-C4 hydrolase,CD224,Ggt,Ggtp,Ggt1
Uniprot ID Q60928
免疫原 KLH偶联的小鼠GGT1/GGT合成肽
抗体亚型 IgG
纯化方式 亲和纯化
亚细胞定位 细胞膜
预测分子量./观测分子量. 62 kDa / 55 kDa
应用
WB 免疫印迹
物种:小鼠,大鼠
稀释比:1:1000-1:3000
阳性样品:肾
IHC/IF 免疫组织化学/免疫荧光
物种:小鼠,大鼠
稀释比:1:2000-1:4000
阳性样品:肾
背景
The enzyme encoded by this gene is a type I gamma-glutamyltransferase that catalyzes the transfer of the glutamyl moiety of glutathione to a variety of amino acids and dipeptide acceptors. The enzyme is composed of a heavy chain and a light chain, which are derived from a single precursor protein. It is expressed in tissues involved in absorption and secretion and may contribute to the etiology of diabetes and other metabolic disorders. Multiple alternatively spliced variants have been identified.
储存条件
储存条件:储存条件在:-20℃下储存一年, 避免反复冻融.
储存缓冲液:含0.15% ProClin300防腐剂, 100 μg/mL牛血清白蛋白和50%甘油的磷酸盐缓冲液.
图像
WB检测GGT1/GGT蛋白(货号 K1340263).
样品: 经RIPA裂解液(货号KSG2002)处理的蛋白质.
封闭: 3%脱脂牛奶(货号KSGC310001)溶于TBST溶液, 室温孵育1小时.
—抗: 1: 1000稀释, 4℃ 孵育过夜.
二抗: HRP标记山羊抗兔IgG (H+L) (货号KB69909), 1: 5000稀释, 室温孵育1小时.
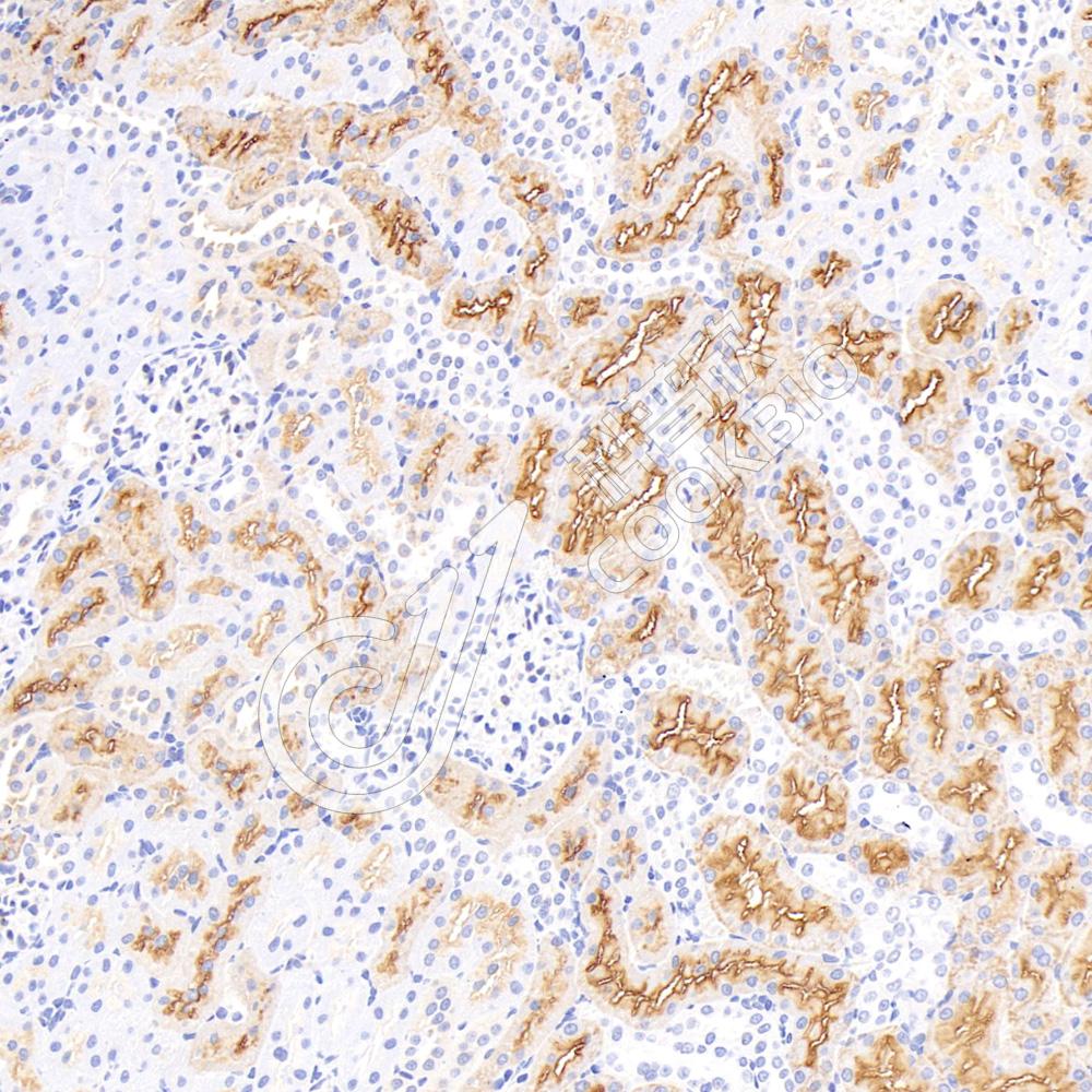
IHC检测GGT1/GGT蛋白(货号 K1340263).
样品: 小鼠肾, 4%多聚甲醛 (货号KSG1101) 固定12-24小时.
抗原修复: 柠檬酸抗原修复液(干粉, pH 6.0) (KSG1201), 98℃, 20分钟.
—抗: 1: 3000稀释, 4℃ 孵育过夜.
二抗: S-vision免疫组化多聚二抗(山羊抗兔),即用型 (货号KB3906), 室温孵育20分钟.
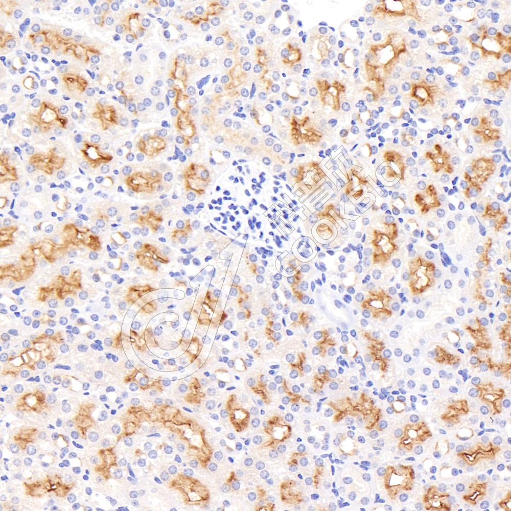
IHC检测GGT1/GGT蛋白(货号 K1340263).
样品: 大鼠肾, 4%多聚甲醛 (货号KSG1101) 固定12-24小时.
抗原修复: 柠檬酸抗原修复液(干粉, pH 6.0) (KSG1201), 98℃, 20分钟.
—抗: 1: 3000稀释, 4℃ 孵育过夜.
二抗: S-vision免疫组化多聚二抗(山羊抗兔),即用型 (货号KB3906), 室温孵育20分钟.

需要技术支持?

如果您有任何问题或如果您在实验过程中遇到问题,或需要更详细的技术指导,请联系我们的技术支持团队
电话 400-6027-270

联系我们

如果您对我们的公司或产品有任何疑问,欢迎随时联系我们