tel 400-6027-270
Main Image
Anti-IL-4I1/LAO 兔多克隆抗体
¥1900
加入对比
货号: K1335946-100
亚细胞定位: 细胞质
别名: LAAO,LAO,Interleukin-4-induced protein 1,IL4-induced protein 1,Protein Fig-1,mFIG1,Il4i1,Fig1
应用 | 种属
IHC/IF H
规格:
产品信息
蛋白质全称 L-氨基酸氧化酶
别名 LAAO,LAO,Interleukin-4-induced protein 1,IL4-induced protein 1,Protein Fig-1,mFIG1,Il4i1,Fig1
Uniprot ID O09046
免疫原 小鼠IL-4I1/LAO重组蛋白
抗体亚型 IgG
纯化方式 亲和纯化
亚细胞定位 细胞质
应用
IHC/IF 免疫组织化学/免疫荧光
物种:人
稀释比:1:300-1:1000
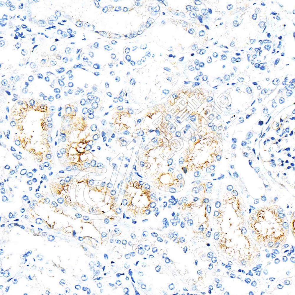
阳性样品:宫颈癌, 扁桃体
背景
This gene encodes a protein with limited similarity to L-amino acid oxidase which contains the conserved amino acids thought to be involved in catalysis and binding of flavin adenine dinucleotide (FAD) cofactor. The expression of this gene can be induced by interleukin 4 in B cells, however, expression of transcripts containing the first two exons of the upstream gene is found in other cell types. Multiple transcript variants encoding different isoforms have been found for this gene.
储存条件
储存条件:储存条件在:-20℃下储存一年, 避免反复冻融.
储存缓冲液:含0.15% ProClin300防腐剂, 100 μg/mL牛血清白蛋白和50%甘油的磷酸盐缓冲液.
图像
IF检测IL-4I1/LAO蛋白(货号 K1335946)(红色).
样品: 人宫颈癌, 4%多聚甲醛 (货号KSG1101) 固定12-24小时.
抗原修复: Tris-EDTA抗原修复液(pH 9.0) (KSG1203), 98℃, 20分钟.
封闭: 3% BSA(货号KSGC305010)的PBS溶液, 室温孵育30分钟.
—抗: 1: 700稀释, 4℃ 孵育过夜.
二抗: Cy3标记山羊抗兔IgG (H+L) (货号KB63909), 1: 300稀释, 室温孵育1小时.
IF检测IL-4I1/LAO蛋白(货号 K1335946)(红色).
样品: 人扁桃体, 4%多聚甲醛 (货号KSG1101) 固定12-24小时.
抗原修复: Tris-EDTA抗原修复液(pH 9.0) (KSG1203), 98℃, 20分钟.
封闭: 3% BSA(货号KSGC305010)的PBS溶液, 室温孵育30分钟.
—抗: 1: 700稀释, 4℃ 孵育过夜.
二抗: Cy3标记山羊抗兔IgG (H+L) (货号KB63909), 1: 300稀释, 室温孵育1小时.

需要技术支持?

如果您有任何问题或如果您在实验过程中遇到问题,或需要更详细的技术指导,请联系我们的技术支持团队
电话 400-6027-270

联系我们

如果您对我们的公司或产品有任何疑问,欢迎随时联系我们