tel 400-6027-270
Main Image
Anti-PEX3 兔多克隆抗体
¥1900
加入对比
货号: K1336789-100
预测分子量: 42 kDa
观测分子量: 42 kDa
亚细胞定位: 膜, 过氧化物酶体
别名: Peroxin-3,Peroxisomal assembly protein PEX3,Pex3,TRG18
应用 | 种属
WB M
IHC/IF H,M,R
规格:
产品信息
蛋白质全称 过氧化物酶体生物发生因子3
别名 Peroxin-3,Peroxisomal assembly protein PEX3,Pex3,TRG18
Uniprot ID Q9QXY9
免疫原 小鼠PEX3重组蛋白
抗体亚型 IgG
纯化方式 亲和纯化
亚细胞定位 膜, 过氧化物酶体
预测分子量./观测分子量. 42 kDa / 42 kDa
应用
WB 免疫印迹
物种:小鼠
稀释比:1:500-1:1000
阳性样品:—
IHC/IF 免疫组织化学/免疫荧光
物种:人,小鼠,大鼠
稀释比:1:650-1:1300
阳性样品:肾, 肝
背景
Peroxins (PEXs) are proteins that are essential for the assembly of functional peroxisomes. Peroxin 3, also known as PEX3 (peroxisomal biogenesis factor 3) or TRG18, is a 373 amino acid multi-pass membrane protein that anchored in the peroxisomal membrane and essential for peroxisome biogenesis and integrity. Additionally, Peroxin 3 acts as a docking factor for Peroxin 19 and is required for the import of peroxisomal proteins. Defects in the gene encoding Peroxin 3 are the cause of peroxisome biogenesis disorder complementation group 12 (PBD-CG12) and Zellweger syndrome (ZwS), both of which arise from a failure of peroxisomal protein import.
储存条件
储存条件:储存条件在:-20℃下储存一年, 避免反复冻融.
储存缓冲液:含0.15% ProClin300防腐剂, 100 μg/mL牛血清白蛋白和50%甘油的磷酸盐缓冲液.
图像
IF检测PEX3蛋白(货号 K1336789)(红色).
样品: 人肝, 4%多聚甲醛 (货号KSG1101) 固定12-24小时.
抗原修复: Tris-EDTA抗原修复液(pH 9.0) (KSG1203), 98℃, 20分钟.
封闭: 3% BSA(货号KSGC305010)的PBS溶液, 室温孵育30分钟.
—抗: 1: 1000稀释, 4℃ 孵育过夜.
二抗: Cy3标记山羊抗兔IgG (H+L) (货号KB63909), 1: 300稀释, 室温孵育1小时.
IF检测PEX3蛋白(货号 K1336789)(红色).
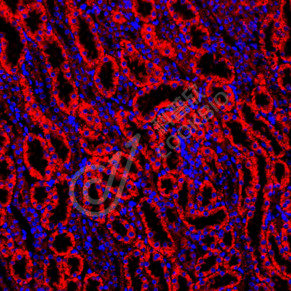
样品: 小鼠肾, 4%多聚甲醛 (货号KSG1101) 固定12-24小时.
抗原修复: Tris-EDTA抗原修复液(pH 9.0) (KSG1203), 98℃, 20分钟.
封闭: 3% BSA(货号KSGC305010)的PBS溶液, 室温孵育30分钟.
—抗: 1: 1000稀释, 4℃ 孵育过夜.
二抗: Cy3标记山羊抗兔IgG (H+L) (货号KB63909), 1: 300稀释, 室温孵育1小时.
IF检测PEX3蛋白(货号 K1336789)(红色).
样品: 大鼠肾, 4%多聚甲醛 (货号KSG1101) 固定12-24小时.
抗原修复: Tris-EDTA抗原修复液(pH 9.0) (KSG1203), 98℃, 20分钟.
封闭: 3% BSA(货号KSGC305010)的PBS溶液, 室温孵育30分钟.
—抗: 1: 1000稀释, 4℃ 孵育过夜.
二抗: Cy3标记山羊抗兔IgG (H+L) (货号KB63909), 1: 300稀释, 室温孵育1小时.

需要技术支持?

如果您有任何问题或如果您在实验过程中遇到问题,或需要更详细的技术指导,请联系我们的技术支持团队
电话 400-6027-270

联系我们

如果您对我们的公司或产品有任何疑问,欢迎随时联系我们