tel 400-6027-270
Main Image
Anti-CEP83 兔多克隆抗体
¥1900
加入对比
货号: K1344070-100
亚细胞定位: 细胞质, 细胞骨架
别名: CCDC41,CEP83,NY REN 58
应用 | 种属
IHC/IF R
规格:
产品信息
蛋白质全称 83kDa中心体蛋白
别名 CCDC41,CEP83,NY REN 58
Uniprot ID Q9D5R3
免疫原 小鼠CEP83重组蛋白
抗体亚型 IgG
纯化方式 亲和纯化
亚细胞定位 细胞质, 细胞骨架
应用
IHC/IF 免疫组织化学/免疫荧光
物种:大鼠
稀释比:1:900-1:2700
阳性样品:肾
背景
Component of the distal appendage region of the centriole involved in the initiation of primary cilium assembly. May collaborate with IFT20 in the trafficking of ciliary membrane proteins from the Golgi complex to the cilium during the initiation of primary cilium assembly.
储存条件
储存条件:储存条件在:-20℃下储存一年, 避免反复冻融.
储存缓冲液:含0.15% ProClin300防腐剂, 100 μg/mL牛血清白蛋白和50%甘油的磷酸盐缓冲液.
图像
IHC检测CEP83蛋白(货号 K1344070).
样品: 小鼠肾, 4%多聚甲醛 (货号KSG1101) 固定12-24小时.
抗原修复: 柠檬酸抗原修复液(干粉, pH 6.0) (KSG1201), 98℃, 20分钟.
—抗: 1: 1800稀释, 4℃ 孵育过夜.
二抗: S-vision免疫组化多聚二抗(山羊抗兔),即用型 (货号KB3906), 室温孵育20分钟.
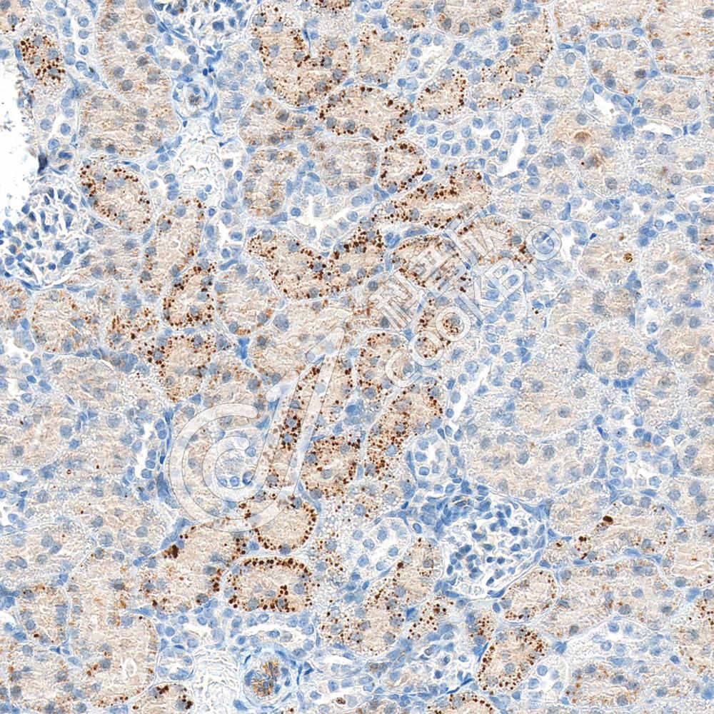
IHC检测CEP83蛋白(货号 K1344070).
样品: 大鼠肾, 4%多聚甲醛 (货号KSG1101) 固定12-24小时.
抗原修复: 柠檬酸抗原修复液(干粉, pH 6.0) (KSG1201), 98℃, 20分钟.
—抗: 1: 1800稀释, 4℃ 孵育过夜.
二抗: S-vision免疫组化多聚二抗(山羊抗兔),即用型 (货号KB3906), 室温孵育20分钟.

需要技术支持?

如果您有任何问题或如果您在实验过程中遇到问题,或需要更详细的技术指导,请联系我们的技术支持团队
电话 400-6027-270

联系我们

如果您对我们的公司或产品有任何疑问,欢迎随时联系我们