tel 400-6027-270
Main Image
Anti-SDHA 兔多克隆抗体
¥1900
加入对比
货号: K1339834-100
预测分子量: 73 kDa
观测分子量: 73 kDa
亚细胞定位: 线粒体内膜
别名: FP,SDH2,SDHA,SDHF,Flavoprotein subunit of complex II,PGL5,CMD1GG
应用 | 种属
WB H,M
IHC/IF H
规格:
产品信息
蛋白质全称 琥珀酸脱氢酶黄素蛋白亚基(线粒体)
别名 FP,SDH2,SDHA,SDHF,Flavoprotein subunit of complex II,PGL5,CMD1GG
Uniprot ID Q8K2B3
免疫原 KLH偶联的小鼠SDHA合成肽
抗体亚型 IgG
纯化方式 亲和纯化
亚细胞定位 线粒体内膜
预测分子量./观测分子量. 73 kDa / 73 kDa
应用
WB 免疫印迹
物种:人,小鼠
稀释比:1:700-1:1400
阳性样品:—
IHC/IF 免疫组织化学/免疫荧光
物种:人
稀释比:1:1200-1:2400
阳性样品:肾, 肝癌
背景
SDHA, also named as SDH2, SDHF and Fp, belongs to the FAD-dependent oxidoreductase 2 family and FRD/SDH subfamily. SDHA is the flavoprotein subunit of succinate dehydrogenase (SDH) that is involved in complex II of the mitochondrial electron transport chain and is responsible for transferring electrons from succinate to ubiquinone (coenzyme Q). SDHA has 3 isoforms with the molecular mass of 73, 67 and 57 kDa, and the N-terminal (~5 kDa) can be removed in mature form. It can be detected a band of 68 kDa in cutaneous melanoma. SDHA may act as a tumor suppressor.
储存条件
储存条件:储存条件在:-20℃下储存一年, 避免反复冻融.
储存缓冲液:含0.15% ProClin300防腐剂, 100 μg/mL牛血清白蛋白和50%甘油的磷酸盐缓冲液.
图像
IHC检测SDHA蛋白(货号 K1339834).
样品: 人肾, 4%多聚甲醛 (货号KSG1101) 固定12-24小时.
抗原修复: 柠檬酸抗原修复液(干粉, pH 6.0) (KSG1201), 98℃, 20分钟.
—抗: 1: 1800稀释, 4℃ 孵育过夜.
二抗: S-vision免疫组化多聚二抗(山羊抗兔),即用型 (货号KB3906), 室温孵育20分钟.
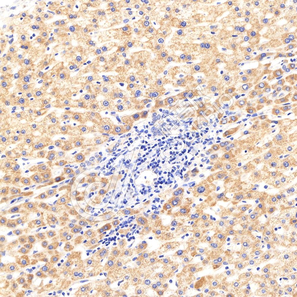
IHC检测SDHA蛋白(货号 K1339834).
样品: 人肝癌, 4%多聚甲醛 (货号KSG1101) 固定12-24小时.
抗原修复: 柠檬酸抗原修复液(干粉, pH 6.0) (KSG1201), 98℃, 20分钟.
—抗: 1: 1800稀释, 4℃ 孵育过夜.
二抗: S-vision免疫组化多聚二抗(山羊抗兔),即用型 (货号KB3906), 室温孵育20分钟.

需要技术支持?

如果您有任何问题或如果您在实验过程中遇到问题,或需要更详细的技术指导,请联系我们的技术支持团队
电话 400-6027-270

联系我们

如果您对我们的公司或产品有任何疑问,欢迎随时联系我们