tel 400-6027-270
Main Image
Anti-Cytochrome P450 Reductase 兔多克隆抗体
¥1900
加入对比
货号: K1339999-100
预测分子量: 77 kDa
观测分子量: 77 kDa
亚细胞定位: 内质网
别名: P450R,CPR,Por,Cytochrome p450 oxidoreductase,CYPOR,P450 Cytochrome Oxidoreductase
应用 | 种属
WB M,R
IHC/IF R
规格:
产品信息
蛋白质全称 NADPH-细胞色素P450还原酶
别名 P450R,CPR,Por,Cytochrome p450 oxidoreductase,CYPOR,P450 Cytochrome Oxidoreductase
Uniprot ID P37040
免疫原 KLH偶联的小鼠Cytochrome P450 Reductase合成肽
抗体亚型 IgG
纯化方式 亲和纯化
亚细胞定位 内质网
预测分子量./观测分子量. 77 kDa / 77 kDa
应用
WB 免疫印迹
物种:小鼠,大鼠
稀释比:1:300-1:600
阳性样品:—
IHC/IF 免疫组织化学/免疫荧光
物种:大鼠
稀释比:1:1500-1:3000
阳性样品:肾, 肺
背景
This enzyme is required for electron transfer from NADP to cytochrome P450 in microsomes. It can also provide electron transfer to heme oxygenase and cytochrome B5.
储存条件
储存条件:储存条件在:-20℃下储存一年, 避免反复冻融.
储存缓冲液:含0.15% ProClin300防腐剂, 100 μg/mL牛血清白蛋白和50%甘油的磷酸盐缓冲液.
图像
IHC检测Cytochrome P450 Reductase蛋白(货号 K1339999).
样品: 大鼠肾, 4%多聚甲醛 (货号KSG1101) 固定12-24小时.
抗原修复: 柠檬酸抗原修复液(干粉, pH 6.0) (KSG1201), 98℃, 20分钟.
—抗: 1: 2300稀释, 4℃ 孵育过夜.
二抗: S-vision免疫组化多聚二抗(山羊抗兔),即用型 (货号KB3906), 室温孵育20分钟.
Cytochrome P450 Reductase_d500_WB
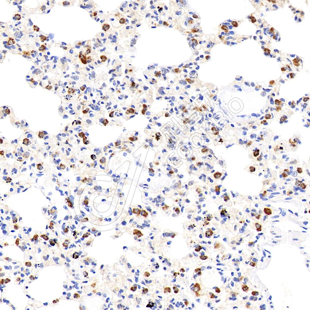
IHC检测Cytochrome P450 Reductase蛋白(货号 K1339999).
样品: 大鼠肺, 4%多聚甲醛 (货号KSG1101) 固定12-24小时.
抗原修复: 柠檬酸抗原修复液(干粉, pH 6.0) (KSG1201), 98℃, 20分钟.
—抗: 1: 2300稀释, 4℃ 孵育过夜.
二抗: S-vision免疫组化多聚二抗(山羊抗兔),即用型 (货号KB3906), 室温孵育20分钟.

需要技术支持?

如果您有任何问题或如果您在实验过程中遇到问题,或需要更详细的技术指导,请联系我们的技术支持团队
电话 400-6027-270

联系我们

如果您对我们的公司或产品有任何疑问,欢迎随时联系我们