tel 400-6027-270
Main Image
Anti-GAA1 兔多克隆抗体
¥1900
加入对比
货号: K1340776-100
亚细胞定位: 内质网
别名: GAA1,GAA1 protein homolog,GPAA1,hGAA1,GPI anchor attachment protein 1,mGAA1,Anchor attachment protein 1 (Gaa1p,yeast) homolog,GPI transamidase subunit
应用 | 种属
IHC/IF R
规格:
产品信息
蛋白质全称 糖基磷脂酰肌醇锚定附着1蛋白
别名 GAA1,GAA1 protein homolog,GPAA1,hGAA1,GPI anchor attachment protein 1,mGAA1,Anchor attachment protein 1 (Gaa1p,yeast) homolog,GPI transamidase subunit
Uniprot ID Q9WTK3
免疫原 小鼠GAA1重组蛋白
抗体亚型 IgG
纯化方式 亲和纯化
亚细胞定位 内质网
应用
IHC/IF 免疫组织化学/免疫荧光
物种:大鼠
稀释比:1:2000-1:4000
阳性样品:肾
背景
GPAA1(Glycosylphosphatidylinositol anchor attachment 1 protein) is also named as GAA1. It is the most conspicuously hydrophobic of the known subunits of GPIT, and it may play a key role in substrate recognition. It is predicted to be a multispanning membrane protein of 67 kDa with seven transmembrane (TM) domains, a large lumenal domain between the first two TM segments, and a cytoplasmically oriented N terminus bearing a potential ER retrieval signal in the form of a diarginine motif. It has 2 isoforms produced by alternative splicing and the full length protein has 2 glycosylation sites. This antibody is specific to GPAA1.
储存条件
储存条件:储存条件在:-20℃下储存一年, 避免反复冻融.
储存缓冲液:含0.15% ProClin300防腐剂, 100 μg/mL牛血清白蛋白和50%甘油的磷酸盐缓冲液.
图像
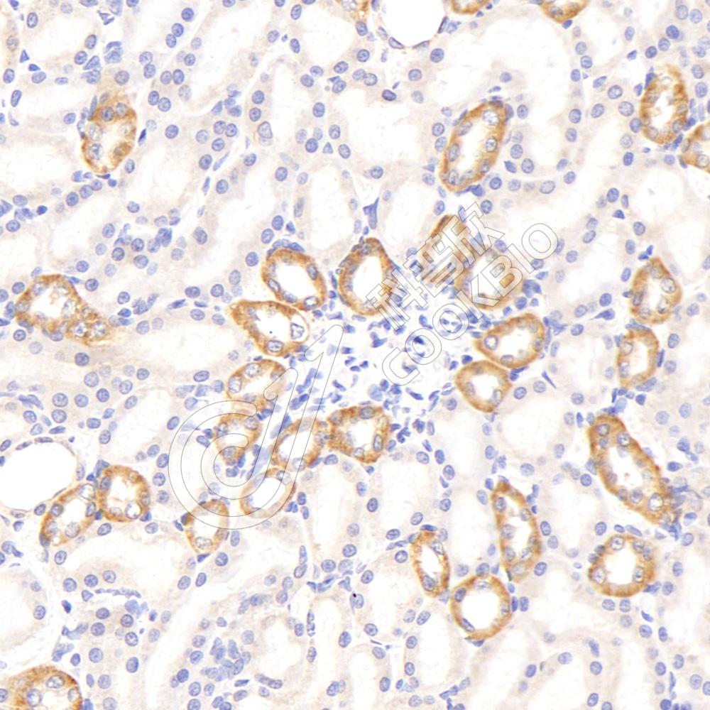
IHC检测GAA1蛋白(货号 K1340776).
样品: 大鼠肾, 4%多聚甲醛 (货号KSG1101) 固定12-24小时.
抗原修复: 柠檬酸抗原修复液(干粉, pH 6.0) (KSG1201), 98℃, 20分钟.
—抗: 1: 3000稀释, 4℃ 孵育过夜.
二抗: S-vision免疫组化多聚二抗(山羊抗兔),即用型 (货号KB3906), 室温孵育20分钟.
IHC检测GAA1蛋白(货号 K1340776).
样品: 大鼠肾, 4%多聚甲醛 (货号KSG1101) 固定12-24小时.
抗原修复: 柠檬酸抗原修复液(干粉, pH 6.0) (KSG1201), 98℃, 20分钟.
—抗: 1: 3000稀释, 4℃ 孵育过夜.
二抗: S-vision免疫组化多聚二抗(山羊抗兔),即用型 (货号KB3906), 室温孵育20分钟.

需要技术支持?

如果您有任何问题或如果您在实验过程中遇到问题,或需要更详细的技术指导,请联系我们的技术支持团队
电话 400-6027-270

联系我们

如果您对我们的公司或产品有任何疑问,欢迎随时联系我们