tel 400-6027-270
Main Image
Anti-HINT1 兔多克隆抗体
¥1900
加入对比
货号: K1336033-100
预测分子量: 14 kDa
观测分子量: 14 kDa
亚细胞定位: 细胞质, 细胞核
别名: Adenosine 5'-monophosphoramidase,Protein kinase C inhibitor 1,Protein kinase C-interacting protein 1,PKCI-1,Hint1,Hint,Pkci,Pkci1,Prkcnh1
应用 | 种属
WB H,M,R
IHC/IF H,R
规格:
产品信息
蛋白质全称 组氨酸三聚核苷酸结合蛋白1
别名 Adenosine 5'-monophosphoramidase,Protein kinase C inhibitor 1,Protein kinase C-interacting protein 1,PKCI-1,Hint1,Hint,Pkci,Pkci1,Prkcnh1
Uniprot ID P70349
免疫原 KLH偶联的小鼠HINT1合成肽
抗体亚型 IgG
纯化方式 亲和纯化
亚细胞定位 细胞质, 细胞核
预测分子量./观测分子量. 14 kDa / 14 kDa
应用
WB 免疫印迹
物种:人,小鼠,大鼠
稀释比:1:1500-1:3000
阳性样品:—
IHC/IF 免疫组织化学/免疫荧光
物种:人,大鼠
稀释比:1:500-1:1000
阳性样品:结肠癌
背景
The protein encoded by this gene can hydrolyze substrates such as AMP-morpholidate, AMP-N-alanine methyl ester, AMP-alpha-acetyl lysine methyl ester, and AMP-NH2. The encoded protein interacts with these substrates via a histidine triad motif, which is part of the loop that binds to the substrate. This gene has been found to be a tumor suppressing gene.
储存条件
储存条件:储存条件在:-20℃下储存一年, 避免反复冻融.
储存缓冲液:含0.15% ProClin300防腐剂, 100 μg/mL牛血清白蛋白和50%甘油的磷酸盐缓冲液.
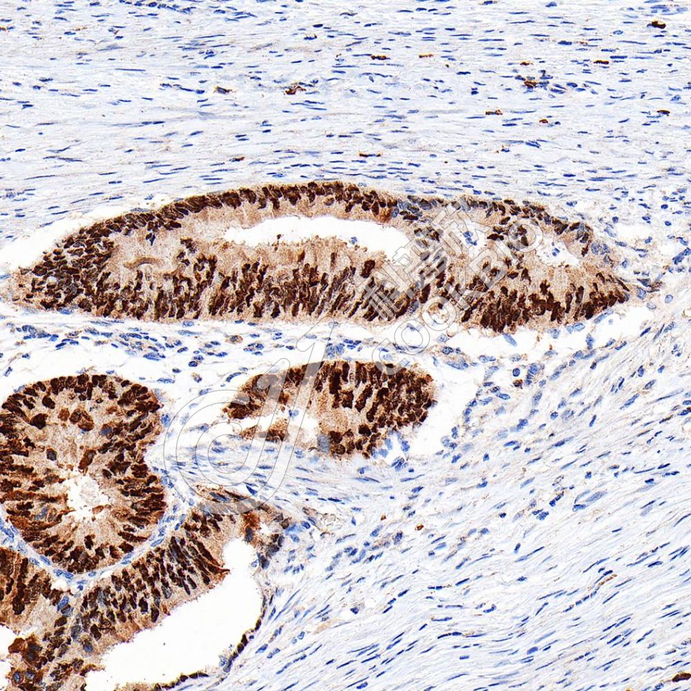
图像
IHC检测HINT1蛋白(货号 K1336033).
样品: 人结肠癌, 4%多聚甲醛 (货号KSG1101) 固定12-24小时.
抗原修复: 柠檬酸抗原修复液(干粉, pH 6.0) (KSG1201), 98℃, 20分钟.
—抗: 1: 800稀释, 4℃ 孵育过夜.
二抗: S-vision免疫组化多聚二抗(山羊抗兔),即用型 (货号KB3906), 室温孵育20分钟.

需要技术支持?

如果您有任何问题或如果您在实验过程中遇到问题,或需要更详细的技术指导,请联系我们的技术支持团队
电话 400-6027-270

联系我们

如果您对我们的公司或产品有任何疑问,欢迎随时联系我们