tel 400-6027-270
Main Image
Anti-E-cadherin 小鼠单克隆抗体
¥1900
加入对比
货号: K236249-100
亚细胞定位: 细胞膜, 细胞质, 细胞连接
别名: CDH1,Arc-1,CD324,CDHE,ECAD,LCAM,UVO,cadherin 1,BCDS1,E-Cadherin,CAM 120/80,Epithelial cadherin
应用 | 种属
IHC/IF H,M,R,Mk
规格:
产品信息
蛋白质全称 钙粘蛋白1
别名 CDH1,Arc-1,CD324,CDHE,ECAD,LCAM,UVO,cadherin 1,BCDS1,E-Cadherin,CAM 120/80,Epithelial cadherin
Uniprot ID P12830
免疫原 人E-cadherin重组蛋白
抗体亚型 IgG1, κ
克隆号 7B7C11
纯化方式 亲和纯化
亚细胞定位 细胞膜, 细胞质, 细胞连接
应用
IHC/IF 免疫组织化学/免疫荧光
物种:人,小鼠,大鼠,猴
稀释比:1:500-1:5000
阳性样品:结肠, 结肠癌, 膀胱
背景
Cadherins are calcium-dependent cell adhesion proteins. They preferentially interact with themselves in a homophilic manner in connecting cells; cadherins may thus contribute to the sorting of heterogeneous cell types. CDH1 is involved in mechanisms regulating cell-cell adhesions, mobility and proliferation of epithelial cells. Has a potent invasive suppressor role. It is a ligand for integrin alpha-E/beta-7.
储存条件
储存条件:储存条件在:-20℃下储存一年, 避免反复冻融.
储存缓冲液:含0.15% ProClin300防腐剂, 100 μg/mL牛血清白蛋白和50%甘油的磷酸盐缓冲液.
图像
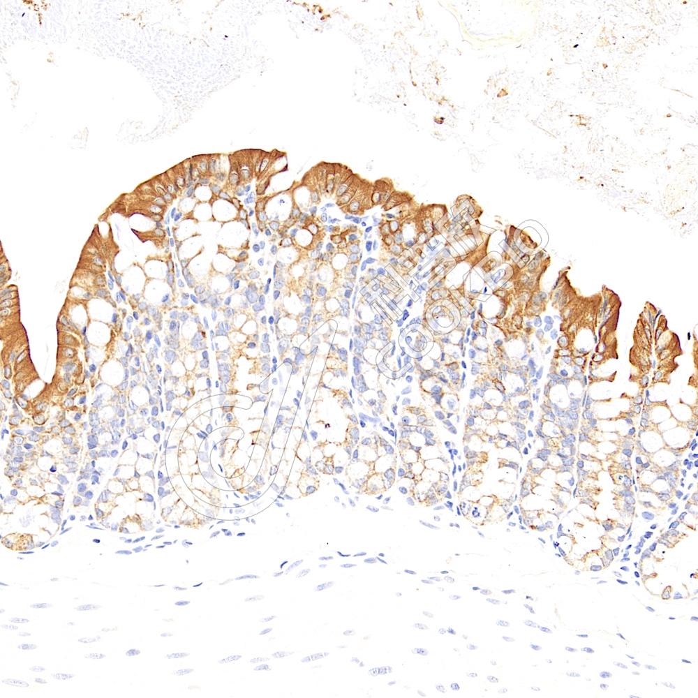
IHC检测E-cadherin蛋白(货号 K236249).
样品: 人结肠癌, 4%多聚甲醛 (货号KSG1101) 固定12-24小时.
抗原修复: 柠檬酸抗原修复液(干粉, pH 6.0) (KSG1201), 高压锅均匀喷气计时2分钟.
—抗: 1: 2800稀释, 4℃ 孵育过夜.
二抗: S-vision免疫组化多聚二抗(山羊抗小鼠), 即用型(货号KB3903), 室温孵育20分钟.
IHC检测E-cadherin蛋白(货号 K236249).
样品: 小鼠结肠, 4%多聚甲醛 (货号KSG1101) 固定12-24小时.
抗原修复: 柠檬酸抗原修复液(干粉, pH 6.0) (KSG1201), 高压锅均匀喷气计时2分钟.
—抗: 1: 2800稀释, 4℃ 孵育过夜.
二抗: S-vision免疫组化多聚二抗(山羊抗小鼠), 即用型(货号KB3903), 室温孵育20分钟.
IF检测E-cadherin蛋白(货号 K236249)(红色).
样品: 大鼠膀胱, 4%多聚甲醛 (货号KSG1101) 固定12-24小时.
抗原修复: 柠檬酸抗原修复液(干粉, pH 6.0) (KSG1201), 高压锅均匀喷气计时2分钟.
封闭: 3% BSA(货号KSGC305010)的PBS溶液, 室温孵育30分钟.
—抗: 1: 2800稀释, 4℃ 孵育过夜.
二抗: Cy3标记山羊抗小鼠IgG (H+L) (货号KB63903), 1: 300稀释, 室温孵育1小时.

需要技术支持?

如果您有任何问题或如果您在实验过程中遇到问题,或需要更详细的技术指导,请联系我们的技术支持团队
电话 400-6027-270

联系我们

如果您对我们的公司或产品有任何疑问,欢迎随时联系我们