tel 400-6027-270
Main Image
Anti-SPINK5/LEKTI 兔多克隆抗体
¥1900
加入对比
货号: K1335718-100
亚细胞定位: 分泌型
别名: Lympho-epithelial Kazal-type-related inhibitor,LEKTI,SPINK5,Hemofiltrate peptide HF7665,NETS,NS,SPINK5,VAKTI
应用 | 种属
IHC/IF H
规格:
产品信息
蛋白质全称 丝氨酸蛋白酶抑制剂Kazal型5
别名 Lympho-epithelial Kazal-type-related inhibitor,LEKTI,SPINK5,Hemofiltrate peptide HF7665,NETS,NS,SPINK5,VAKTI
Uniprot ID Q9NQ38
免疫原 人SPINK5重组蛋白
抗体亚型 IgG
纯化方式 亲和纯化
亚细胞定位 分泌型
应用
IHC/IF 免疫组织化学/免疫荧光
物种:人
稀释比:1:500-1:2000
阳性样品:子宫颈, 扁桃体
背景
Lympho-epithelial Kazal-type inhibitor (LEKTI) is a serine protease inhibitor which protects mucous epithelia against microbial attack and inflammation. LEKTI is a marker of epithelial differentiation and expresses strongly in the granular and uppermost spinous layers of the epidermis and differentiated layers of stratified epithelia. Defects in SPINK5, the gene encoding LEKTI, are the cause of Netherton syndrome, a severe autosomal recessive disorder characterized by atopic dermatitis, hayfever and other conditions.
储存条件
储存条件:储存条件在:-20℃下储存一年, 避免反复冻融.
储存缓冲液:含0.15% ProClin300防腐剂, 100 μg/mL牛血清白蛋白和50%甘油的磷酸盐缓冲液.
图像
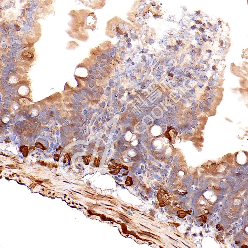
IHC检测SPINK5/LEKTI蛋白(货号 K1335718).
样品: 人子宫颈, 4%多聚甲醛 (货号KSG1101) 固定12-24小时.
抗原修复: 柠檬酸抗原修复液(干粉, pH 6.0) (KSG1201), 98℃, 20分钟.
—抗: 1: 1300稀释, 4℃ 孵育过夜.
二抗: S-vision免疫组化多聚二抗(山羊抗兔),即用型 (货号KB3906), 室温孵育20分钟.
IHC检测SPINK5/LEKTI蛋白(货号 K1335718).
样品: 人扁桃体, 4%多聚甲醛 (货号KSG1101) 固定12-24小时.
抗原修复: 柠檬酸抗原修复液(干粉, pH 6.0) (KSG1201), 98℃, 20分钟.
—抗: 1: 1300稀释, 4℃ 孵育过夜.
二抗: S-vision免疫组化多聚二抗(山羊抗兔),即用型 (货号KB3906), 室温孵育20分钟.

需要技术支持?

如果您有任何问题或如果您在实验过程中遇到问题,或需要更详细的技术指导,请联系我们的技术支持团队
电话 400-6027-270

联系我们

如果您对我们的公司或产品有任何疑问,欢迎随时联系我们