tel 400-6027-270
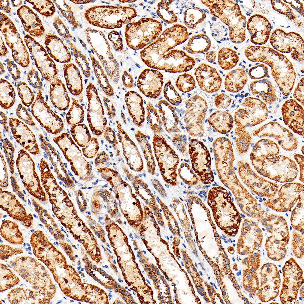
Main Image
Anti-PGBD5 兔多克隆抗体
¥1900
加入对比
货号: K1336882-100
亚细胞定位: 细胞核
别名: PiggyBac transposase 5,Pgbd5
应用 | 种属
IHC/IF M,R
规格:
产品信息
蛋白质全称 PiggyBac转座子衍生蛋白5
别名 PiggyBac transposase 5,Pgbd5
Uniprot ID D3YZI9
免疫原 小鼠PGBD5重组蛋白
抗体亚型 IgG
纯化方式 亲和纯化
亚细胞定位 细胞核
应用
IHC/IF 免疫组织化学/免疫荧光
物种:小鼠,大鼠
稀释比:1:2000-1:6000
阳性样品:脑
背景
The piggyBac family of proteins, found in diverse animals, are transposases related to the transposase of the canonical piggyBac transposon from the moth, Trichoplusia ni. This family also includes genes in several genomes, including human, that appear to have been derived from the piggyBac transposons. This gene belongs to the subfamily of piggyBac transposable element derived (PGBD) genes. The PGBD proteins appear to be novel, with no obvious relationship to other transposases, or other known protein families.
储存条件
储存条件:储存条件在:-20℃下储存一年, 避免反复冻融.
储存缓冲液:含0.15% ProClin300防腐剂, 100 μg/mL牛血清白蛋白和50%甘油的磷酸盐缓冲液.
图像
IHC检测PGBD5蛋白(货号 K1336882).
样品: 小鼠脑, 4%多聚甲醛 (货号KSG1101) 固定12-24小时.
抗原修复: Tris-EDTA抗原修复液(pH 9.0) (KSG1203), 98℃, 20分钟.
—抗: 1: 4000稀释, 4℃ 孵育过夜.
二抗: S-vision免疫组化多聚二抗(山羊抗兔),即用型 (货号KB3906), 室温孵育20分钟.
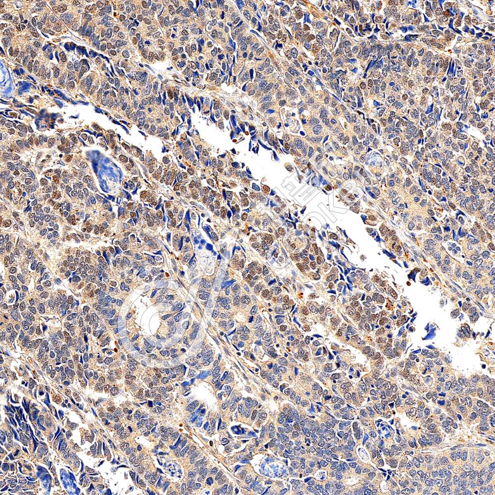
IHC检测PGBD5蛋白(货号 K1336882).
样品: 大鼠脑, 4%多聚甲醛 (货号KSG1101) 固定12-24小时.
抗原修复: Tris-EDTA抗原修复液(pH 9.0) (KSG1203), 98℃, 20分钟.
—抗: 1: 4000稀释, 4℃ 孵育过夜.
二抗: S-vision免疫组化多聚二抗(山羊抗兔),即用型 (货号KB3906), 室温孵育20分钟.

需要技术支持?

如果您有任何问题或如果您在实验过程中遇到问题,或需要更详细的技术指导,请联系我们的技术支持团队
电话 400-6027-270

联系我们

如果您对我们的公司或产品有任何疑问,欢迎随时联系我们