tel 400-6027-270
Main Image
Anti-Hemoglobin subunit beta/ba1 兔多克隆抗体
¥1900
加入对比
货号: K1341601-100
亚细胞定位: 细胞质, 分泌型
别名: Beta-globin,CD113t-C,HBB,Hemoglobin beta chain,hemoglobin,beta,LVV-hemorphin-7,Spinorphin,Gamma 1 globin,HSGGL1,HBGR,HBGA,HBG1,HBA-T2,HBA
应用 | 种属
IHC/IF H
规格:
产品信息
蛋白质全称 血红蛋白β亚基
别名 Beta-globin,CD113t-C,HBB,Hemoglobin beta chain,hemoglobin,beta,LVV-hemorphin-7,Spinorphin,Gamma 1 globin,HSGGL1,HBGR,HBGA,HBG1,HBA-T2,HBA
Uniprot ID P68871
免疫原 小鼠HBB重组蛋白
抗体亚型 IgG
纯化方式 亲和纯化
亚细胞定位 细胞质, 分泌型
应用
IHC/IF 免疫组织化学/免疫荧光
物种:人
稀释比:1:4000-1:8000
阳性样品:结肠癌, 食管癌
背景
The hemoglobin molecule is a tetramer consisting of two alpha- and two beta-globin-like chains. HBB gene encodes hemoglobin beta chain. The hemoglobin chains, each with its own heme moiety, cooperate in binding and release of oxygen. Hemoglobin monomers have been found in blood and other tissues including macrophages, alveolar epithelial cells and brain. Defects in HBB have been linked to diseases including Sickle cell anemia, Beta-thalassemia, and Heinz body anemias. This antibody, raised against the full-length human HBB, recognizes the 13-16 kDa HBB in western blot analyses of human heart and placenta.
储存条件
储存条件:储存条件在:-20℃下储存一年, 避免反复冻融.
储存缓冲液:含0.15% ProClin300防腐剂, 100 μg/mL牛血清白蛋白和50%甘油的磷酸盐缓冲液.
图像
IHC检测Hemoglobin subunit beta/ba1蛋白(货号 K1341601).
样品: 人结肠癌, 4%多聚甲醛 (货号KSG1101) 固定12-24小时.
抗原修复: 柠檬酸抗原修复液(干粉, pH 6.0) (KSG1201), 98℃, 20分钟.
—抗: 1: 6000稀释, 4℃ 孵育过夜.
二抗: S-vision免疫组化多聚二抗(山羊抗兔),即用型 (货号KB3906), 室温孵育20分钟.
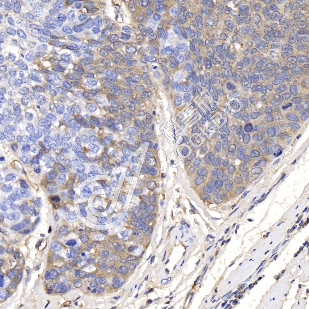
IHC检测Hemoglobin subunit beta/ba1蛋白(货号 K1341601).
样品: 人食管癌, 4%多聚甲醛 (货号KSG1101) 固定12-24小时.
抗原修复: 柠檬酸抗原修复液(干粉, pH 6.0) (KSG1201), 98℃, 20分钟.
—抗: 1: 6000稀释, 4℃ 孵育过夜.
二抗: S-vision免疫组化多聚二抗(山羊抗兔),即用型 (货号KB3906), 室温孵育20分钟.

需要技术支持?

如果您有任何问题或如果您在实验过程中遇到问题,或需要更详细的技术指导,请联系我们的技术支持团队
电话 400-6027-270

联系我们

如果您对我们的公司或产品有任何疑问,欢迎随时联系我们