tel 400-6027-270
Main Image
Anti-Tau 兔多克隆抗体
¥1900
加入对比
货号: K1334824-100
预测分子量: 79 kDa
观测分子量: 50-80 kDa
亚细胞定位: 细胞质, 细胞膜
别名: Neurofibrillary tangle protein,Paired helical filament-tau,PHF-tau,MAPT,DDPAC,FTDP 17,MAPTL,RNPTAU,PPP1R103,Paired helical filament-tau
应用 | 种属
WB H,M,R
IHC/IF H,M,R,Mk
规格:
产品信息
蛋白质全称 微管相关蛋白tau
别名 Neurofibrillary tangle protein,Paired helical filament-tau,PHF-tau,MAPT,DDPAC,FTDP 17,MAPTL,RNPTAU,PPP1R103,Paired helical filament-tau
Uniprot ID P10636
免疫原 KLH偶联的人Tau合成肽
抗体亚型 IgG
纯化方式 亲和纯化
亚细胞定位 细胞质, 细胞膜
预测分子量./观测分子量. 79 kDa / 50-80 kDa
应用
WB 免疫印迹
物种:人,小鼠,大鼠
稀释比:1:2000-1:4000
阳性样品:海马区
IHC/IF 免疫组织化学/免疫荧光
物种:人,小鼠,大鼠,猴
稀释比:1:3000-1:5000
阳性样品:脑, 神经胶质瘤
背景
Tau is a neuronal microtubule-associated protein found predominantly on axons. The function of Tau is to promotes microtubule assembly and stability, and might be involved in the establishment and maintenance of neuronal polarity. The C-terminus binds axonal microtubules while the N-terminus binds neural plasma membrane components, suggesting that tau functions as a linker protein between both. Axonal polarity is predetermined by tau localization (in the neuronal cell) in the domain of the cell body defined by the centrosome.
储存条件
储存条件:储存条件在:-20℃下储存一年, 避免反复冻融.
储存缓冲液:含0.15% ProClin300防腐剂, 100 μg/mL牛血清白蛋白和50%甘油的磷酸盐缓冲液.
图像
WB检测Tau蛋白(货号 K1334824).
样品: 经RIPA裂解液(货号KSG2002)处理的蛋白质.
封闭: 3%脱脂牛奶(货号KSGC310001)溶于TBST溶液, 室温孵育1小时.
—抗: 1: 2000稀释, 4℃ 孵育过夜.
二抗: HRP标记山羊抗兔IgG (H+L) (货号KB69909), 1: 5000稀释, 室温孵育1小时.
IHC检测Tau蛋白(货号 K1334824).
样品: 猴脑, 4%多聚甲醛 (货号KSG1101) 固定12-24小时.
抗原修复: 柠檬酸抗原修复液(干粉, pH 6.0) (KSG1201), 98℃, 20分钟.
—抗: 1: 4000稀释, 4℃ 孵育过夜.
二抗: S-vision免疫组化多聚二抗(山羊抗兔),即用型 (货号KB3906), 室温孵育20分钟.
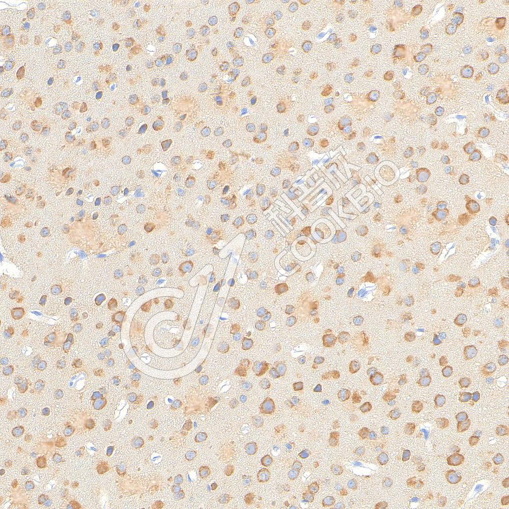
IHC检测Tau蛋白(货号 K1334824).
样品: 人神经胶质瘤, 4%多聚甲醛 (货号KSG1101) 固定12-24小时.
抗原修复: 柠檬酸抗原修复液(干粉, pH 6.0) (KSG1201), 98℃, 20分钟.
—抗: 1: 4000稀释, 4℃ 孵育过夜.
二抗: S-vision免疫组化多聚二抗(山羊抗兔),即用型 (货号KB3906), 室温孵育20分钟.
IF检测Tau蛋白(货号 K1334824)(红色).
样品: 小鼠脑, 4%多聚甲醛 (货号KSG1101) 固定12-24小时.
抗原修复: Tris-EDTA抗原修复液(pH 9.0) (KSG1203), 98℃, 20分钟.
封闭: 3% BSA(货号KSGC305010)的PBS溶液, 室温孵育30分钟.
—抗: 1: 4000稀释, 4℃ 孵育过夜.
二抗: Cy3标记山羊抗兔IgG (H+L) (货号KB63909), 1: 300稀释, 室温孵育1小时.
IF检测Tau蛋白(货号 K1334824)(红色).
样品: 大鼠脑, 4%多聚甲醛 (货号KSG1101) 固定12-24小时.
抗原修复: Tris-EDTA抗原修复液(pH 9.0) (KSG1203), 98℃, 20分钟.
封闭: 3% BSA(货号KSGC305010)的PBS溶液, 室温孵育30分钟.
—抗: 1: 4000稀释, 4℃ 孵育过夜.
二抗: Cy3标记山羊抗兔IgG (H+L) (货号KB63909), 1: 300稀释, 室温孵育1小时.

需要技术支持?

如果您有任何问题或如果您在实验过程中遇到问题,或需要更详细的技术指导,请联系我们的技术支持团队
电话 400-6027-270

联系我们

如果您对我们的公司或产品有任何疑问,欢迎随时联系我们