tel 400-6027-270
Main Image
Anti-Stathmin 1 兔多克隆抗体
¥1900
加入对比
货号: K135352-100
亚细胞定位: 细胞质
别名: STMN1,C1orf215,LAP18,Lag,OP18,PP17,PP19,PR22,SMN,stathmin 1
应用 | 种属
IHC/IF M,R
规格:
产品信息
蛋白质全称 微管解聚蛋白
别名 STMN1,C1orf215,LAP18,Lag,OP18,PP17,PP19,PR22,SMN,stathmin 1
Uniprot ID P54227
免疫原 KLH偶联的小鼠Stathmin 1合成肽
抗体亚型 IgG
纯化方式 亲和纯化
亚细胞定位 细胞质
应用
IHC/IF 免疫组织化学/免疫荧光
物种:小鼠,大鼠
稀释比:1:300-1:3000
阳性样品:脑, 睾丸
背景
Stathmin is a highly conserved 17 kDa protein that is crucial for the regulation of the cell cytoskeleton. The cytoskeleton is made up of long hollow cylinders named microtubules. These microtubules are made up of alpha and beta tubulin heterodimers. The changes in cytoskeleton are known as microtubule dynamics; the addition of the tubulin subunits lead to polymerisation and their loss, depolymerisation. Stathmin regulates these by promoting depolymerization of microtubules or preventing polymerization of tubulin heterodimers.
储存条件
储存条件:储存条件在:-20℃下储存一年, 避免反复冻融.
储存缓冲液:含0.15% ProClin300防腐剂, 100 μg/mL牛血清白蛋白和50%甘油的磷酸盐缓冲液.
图像
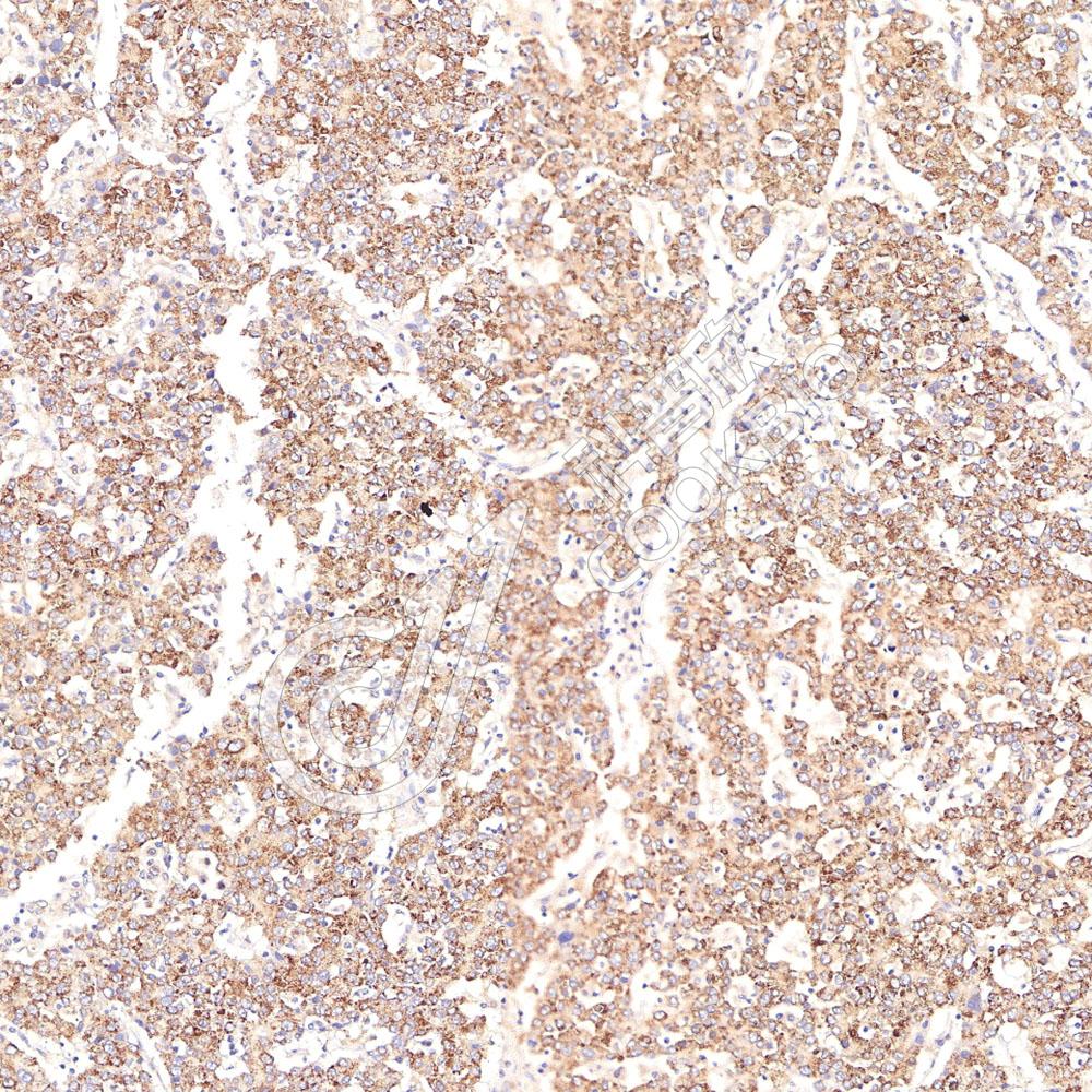
IHC检测Stathmin 1蛋白(货号 K135352).
样品: 小鼠睾丸, 4%多聚甲醛 (货号KSG1101) 固定12-24小时.
抗原修复: 柠檬酸抗原修复液(干粉, pH 6.0) (KSG1201), 98℃, 20分钟.
—抗: 1: 1700稀释, 4℃ 孵育过夜.
二抗: S-vision免疫组化多聚二抗(山羊抗兔),即用型 (货号KB3906), 室温孵育20分钟.
IHC检测Stathmin 1蛋白(货号 K135352).
样品: 大鼠脑, 4%多聚甲醛 (货号KSG1101) 固定12-24小时.
抗原修复: 柠檬酸抗原修复液(干粉, pH 6.0) (KSG1201), 98℃, 20分钟.
—抗: 1: 1700稀释, 4℃ 孵育过夜.
二抗: S-vision免疫组化多聚二抗(山羊抗兔),即用型 (货号KB3906), 室温孵育20分钟.

需要技术支持?

如果您有任何问题或如果您在实验过程中遇到问题,或需要更详细的技术指导,请联系我们的技术支持团队
电话 400-6027-270

联系我们

如果您对我们的公司或产品有任何疑问,欢迎随时联系我们