tel 400-6027-270
Main Image
Anti-Peroxiredoxin 6 兔多克隆抗体
¥1900
加入对比
货号: K1346758-100
亚细胞定位: 细胞质
别名: 1 Cys,1 Cys peroxiredoxin,1 Cys PRX,24 kDa protein,aiPLA2,Antioxidant protein 2,AOP2,KIAA0106,Liver 2D page spot 40,NSGPx,p29,peroxiredoxin 6,PRDX6,PRX,Red blood cells page spot 12
应用 | 种属
IHC/IF H
规格:
产品信息
蛋白质全称 过氧化物还原酶6
别名 1 Cys,1 Cys peroxiredoxin,1 Cys PRX,24 kDa protein,aiPLA2,Antioxidant protein 2,AOP2,KIAA0106,Liver 2D page spot 40,NSGPx,p29,peroxiredoxin 6,PRDX6,PRX,Red blood cells page spot 12
Uniprot ID O08709
免疫原 KLH偶联的小鼠Peroxiredoxin 6合成肽
抗体亚型 IgG
纯化方式 亲和纯化
亚细胞定位 细胞质
应用
IHC/IF 免疫组织化学/免疫荧光
物种:人
稀释比:1:100-1:200
阳性样品:肝癌, 卵巢癌
背景
PRDX6 (Peroxiredoxin-6), also named as AOP2 or KIAA0106, is a unique member of the peroxiredoxin family of antioxidants. PRDX6 is highly expressed in liver and protects cells from oxidative damage by reducing H2O2 and various lipid Peroxides . It can form a dimer.PRDX6 is expressed in all major organs, with a particularly high level in lung . Prdx6 is detected at approximately 24 to 28 kDa, and can be monosumoylated with the molecular mass of about 40 kDa.
储存条件
储存条件:储存条件在:-20℃下储存一年, 避免反复冻融.
储存缓冲液:含0.15% ProClin300防腐剂, 100 μg/mL牛血清白蛋白和50%甘油的磷酸盐缓冲液.
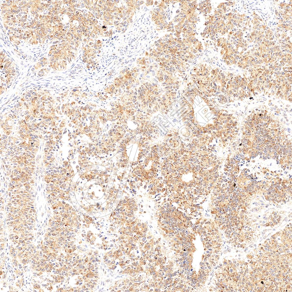
图像
IHC检测Peroxiredoxin 6蛋白(货号 K1346758).
样品: 人肝癌, 4%多聚甲醛 (货号KSG1101) 固定12-24小时.
抗原修复: Tris-EDTA抗原修复液(pH 9.0) (KSG1203), 98℃, 20分钟.
—抗: 1: 200稀释, 4℃ 孵育过夜.
二抗: S-vision免疫组化多聚二抗(山羊抗兔),即用型 (货号KB3906), 室温孵育20分钟.
IHC检测Peroxiredoxin 6蛋白(货号 K1346758).
样品: 人卵巢癌, 4%多聚甲醛 (货号KSG1101) 固定12-24小时.
抗原修复: Tris-EDTA抗原修复液(pH 9.0) (KSG1203), 98℃, 20分钟.
—抗: 1: 200稀释, 4℃ 孵育过夜.
二抗: S-vision免疫组化多聚二抗(山羊抗兔),即用型 (货号KB3906), 室温孵育20分钟.

需要技术支持?

如果您有任何问题或如果您在实验过程中遇到问题,或需要更详细的技术指导,请联系我们的技术支持团队
电话 400-6027-270

联系我们

如果您对我们的公司或产品有任何疑问,欢迎随时联系我们