tel 400-6027-270
Main Image
Anti-Torsin A/DYT1 兔多克隆抗体
¥1900
加入对比
货号: K1333882-100
预测分子量: 38 kDa
观测分子量: 38 kDa
亚细胞定位: 细胞质, 细胞核
别名: Dystonia 1 protein,Torsin ATPase 1,Torsin family 1 member A,Tor1a,Dyt1
应用 | 种属
WB M,R
IHC/IF H,R
ICC/IF H
规格:
产品信息
蛋白质全称 扭转蛋白1A
别名 Dystonia 1 protein,Torsin ATPase 1,Torsin family 1 member A,Tor1a,Dyt1
Uniprot ID Q9ER39
免疫原 KLH偶联的小鼠Torsin A合成肽
抗体亚型 IgG
纯化方式 亲和纯化
亚细胞定位 细胞质, 细胞核
预测分子量./观测分子量. 38 kDa / 38 kDa
应用
WB 免疫印迹
物种:小鼠,大鼠
稀释比:1:500-1:1000
阳性样品:—
IHC/IF 免疫组织化学/免疫荧光
物种:人,大鼠
稀释比:1:800-1:3000
阳性样品:脑, 结肠癌, 肝
ICC/IF 免疫细胞化学/免疫荧光
物种:人
稀释比:1:100-1:400
阳性样品:SH-SY5Y 细胞
背景
TOR1A (torsin A), also known as DYT1, is a member of the AAA family of adenosine triphosphatases (ATPases) that mediate chaperone and other functions involved in conformational modeling of proteins, protection from stress, and targeting of proteins to cellular organelles. TOR1A primarily localizes to the ER while exposure to oxidative stress causes the redistribution to cell surface protrusions. Mutations in gene encoding TOR1A cause the most severe form of hereditary dystonia, termed early onset, generalized dystonia.
储存条件
储存条件:储存条件在:-20℃下储存一年, 避免反复冻融.
储存缓冲液:含0.15% ProClin300防腐剂, 100 μg/mL牛血清白蛋白和50%甘油的磷酸盐缓冲液.
图像
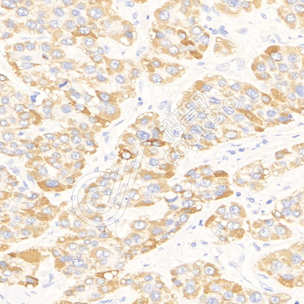
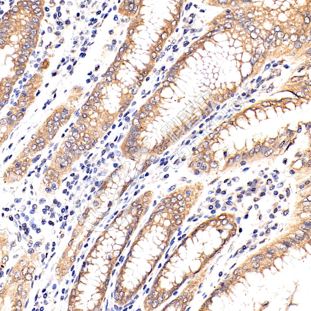
IHC检测Torsin A/DYT1蛋白(货号 K1333882).
样品: 人结肠癌, 4%多聚甲醛 (货号KSG1101) 固定12-24小时.
抗原修复: 柠檬酸抗原修复液(干粉, pH 6.0) (KSG1201), 98℃, 20分钟.
—抗: 1: 1900稀释, 4℃ 孵育过夜.
二抗: S-vision免疫组化多聚二抗(山羊抗兔),即用型 (货号KB3906), 室温孵育20分钟.
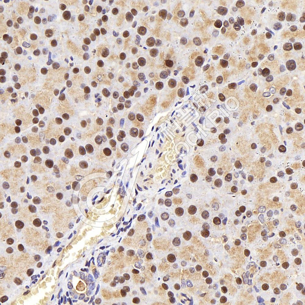
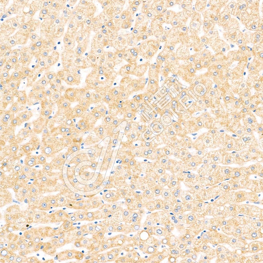
IHC检测Torsin A/DYT1蛋白(货号 K1333882).
样品: 人肝, 4%多聚甲醛 (货号KSG1101) 固定12-24小时.
抗原修复: 柠檬酸抗原修复液(干粉, pH 6.0) (KSG1201), 98℃, 20分钟.
—抗: 1: 1900稀释, 4℃ 孵育过夜.
二抗: S-vision免疫组化多聚二抗(山羊抗兔),即用型 (货号KB3906), 室温孵育20分钟.
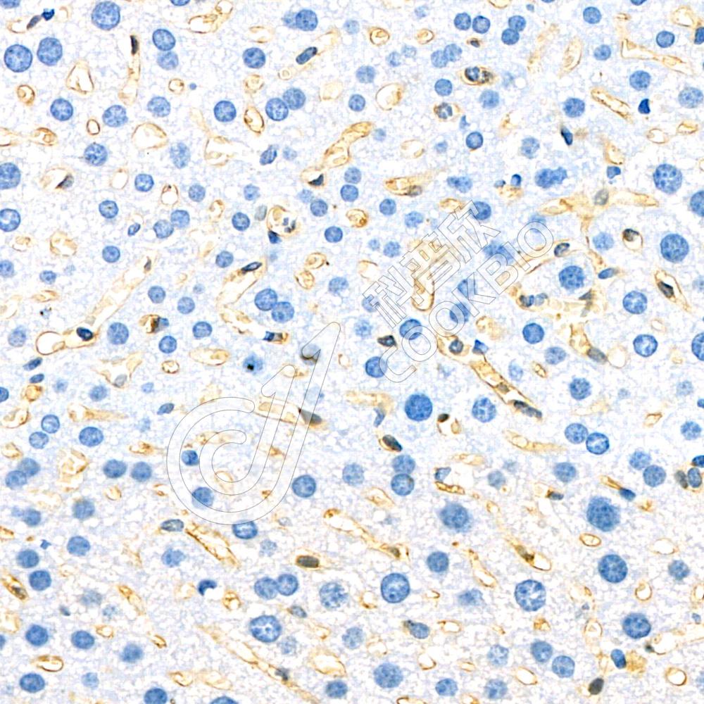
IF检测Torsin A/DYT1蛋白(货号 K1333882)(红色).
样品: 大鼠脑, 4%多聚甲醛 (货号KSG1101) 固定12-24小时.
抗原修复: Tris-EDTA抗原修复液(pH 9.0) (KSG1203), 98℃, 20分钟.
封闭: 3% BSA(货号KSGC305010)的PBS溶液, 室温孵育30分钟.
—抗: 1: 1900稀释, 4℃ 孵育过夜.
二抗: Cy3标记山羊抗兔IgG (H+L) (货号KB63909), 1: 300稀释, 室温孵育1小时.
ICC检测Torsin A/DYT1蛋白(货号 K1333882)(红色).
样品: SH-SY5Y 细胞, 4%多聚甲醛 (货号KSG1101) 固定20分钟.
封闭: 3% BSA(货号KSGC305010)的PBS溶液, 室温孵育30分钟.
—抗: 1: 100稀释, 4℃ 孵育过夜.
二抗: Cy3标记山羊抗兔IgG (H+L) (货号KB63909), 1: 300稀释, 室温孵育1小时.

需要技术支持?

如果您有任何问题或如果您在实验过程中遇到问题,或需要更详细的技术指导,请联系我们的技术支持团队
电话 400-6027-270

联系我们

如果您对我们的公司或产品有任何疑问,欢迎随时联系我们