tel 400-6027-270
Main Image
Anti-Axin 2 兔多克隆抗体
¥1900
加入对比
货号: K134821-100
亚细胞定位: 细胞质
别名: AXIN2,AXIL,ODCRCS,axin 2,Axin like protein,Axin2,Axis inhibition protein 2,Axin-2
应用 | 种属
IHC/IF R
规格:
产品信息
蛋白质全称 轴蛋白2
别名 AXIN2,AXIL,ODCRCS,axin 2,Axin like protein,Axin2,Axis inhibition protein 2,Axin-2
Uniprot ID O88566
免疫原 小鼠Axin 2重组蛋白
抗体亚型 IgG
纯化方式 亲和纯化
亚细胞定位 细胞质
应用
IHC/IF 免疫组织化学/免疫荧光
物种:大鼠
稀释比:1:500-1:3000
阳性样品:脾
背景
Axin-2 also known as axin-like protein (Axil) or axis inhibition protein 2 (AXIN2) or conductin presumably plays an important role in the regulation of the stability of beta-catenin in the Wnt signaling pathway, like its rodent homologs, mouse conductin/rat axil. In mouse, conductin organizes a multiprotein complex of APC (adenomatous polyposis of the colon), beta-catenin, glycogen synthase kinase 3-beta, and conductin, which leads to the degradation of beta-catenin.
储存条件
储存条件:储存条件在:-20℃下储存一年, 避免反复冻融.
储存缓冲液:含0.15% ProClin300防腐剂, 100 μg/mL牛血清白蛋白和50%甘油的磷酸盐缓冲液.
图像
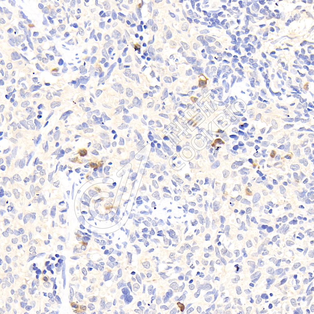
IHC检测Axin 2蛋白(货号 K134821).
样品: 大鼠脾, 4%多聚甲醛 (货号KSG1101) 固定12-24小时.
抗原修复: 柠檬酸抗原修复液(干粉, pH 6.0) (KSG1201), 98℃, 20分钟.
—抗: 1: 1800稀释, 4℃ 孵育过夜.
二抗: S-vision免疫组化多聚二抗(山羊抗兔),即用型 (货号KB3906), 室温孵育20分钟.
IHC检测Axin 2蛋白(货号 K134821).
样品: 大鼠脾, 4%多聚甲醛 (货号KSG1101) 固定12-24小时.
抗原修复: 柠檬酸抗原修复液(干粉, pH 6.0) (KSG1201), 98℃, 20分钟.
—抗: 1: 1800稀释, 4℃ 孵育过夜.
二抗: S-vision免疫组化多聚二抗(山羊抗兔),即用型 (货号KB3906), 室温孵育20分钟.

需要技术支持?

如果您有任何问题或如果您在实验过程中遇到问题,或需要更详细的技术指导,请联系我们的技术支持团队
电话 400-6027-270

联系我们

如果您对我们的公司或产品有任何疑问,欢迎随时联系我们