tel 400-6027-270
Main Image
Anti-METTL11A 兔多克隆抗体
¥1900
加入对比
货号: K1334173-100
亚细胞定位: 细胞核, 细胞质
别名: Alpha N-terminal protein methyltransferase 1A,Methyltransferase-like protein 11A,Ntmt1,NTM1A,Mettl11a,X-Pro-Lys N-terminal protein methyltransferase 1A
应用 | 种属
IHC/IF H,M,R
ICC/IF H,M
规格:
产品信息
蛋白质全称 N端Xaa-Pro-Lys N-甲基转移酶1
别名 Alpha N-terminal protein methyltransferase 1A,Methyltransferase-like protein 11A,Ntmt1,NTM1A,Mettl11a,X-Pro-Lys N-terminal protein methyltransferase 1A
Uniprot ID Q9BV86, Q8R2U4, Q5BJX0
免疫原 KLH偶联的小鼠METTL11A合成肽
抗体亚型 IgG
纯化方式 亲和纯化
亚细胞定位 细胞核, 细胞质
应用
IHC/IF 免疫组织化学/免疫荧光
物种:人,小鼠,大鼠
稀释比:1:800-1:2000
阳性样品:脑, 结肠癌, 睾丸
ICC/IF 免疫细胞化学/免疫荧光
物种:人,小鼠
稀释比:1:200-1:800
阳性样品:—
背景
The METTL11A gene encodes an N-terminal methyltransferase for the RAN guanine nucleotide exchange factor regulator of chromosome condensation 1 (RCC1). METTL11A enzyme alpha-N-methylates other protein targets such as SET and RB. Required during mitosis for normal bipolar spindle formation and chromosome segregation.
储存条件
储存条件:储存条件在:-20℃下储存一年, 避免反复冻融.
储存缓冲液:含0.15% ProClin300防腐剂, 100 μg/mL牛血清白蛋白和50%甘油的磷酸盐缓冲液.
图像
IHC检测METTL11A蛋白(货号 K1334173).
样品: 人结肠癌, 4%多聚甲醛 (货号KSG1101) 固定12-24小时.
抗原修复: 柠檬酸抗原修复液(干粉, pH 6.0) (KSG1201), 98℃, 20分钟.
—抗: 1: 1400稀释, 4℃ 孵育过夜.
二抗: S-vision免疫组化多聚二抗(山羊抗兔),即用型 (货号KB3906), 室温孵育20分钟.
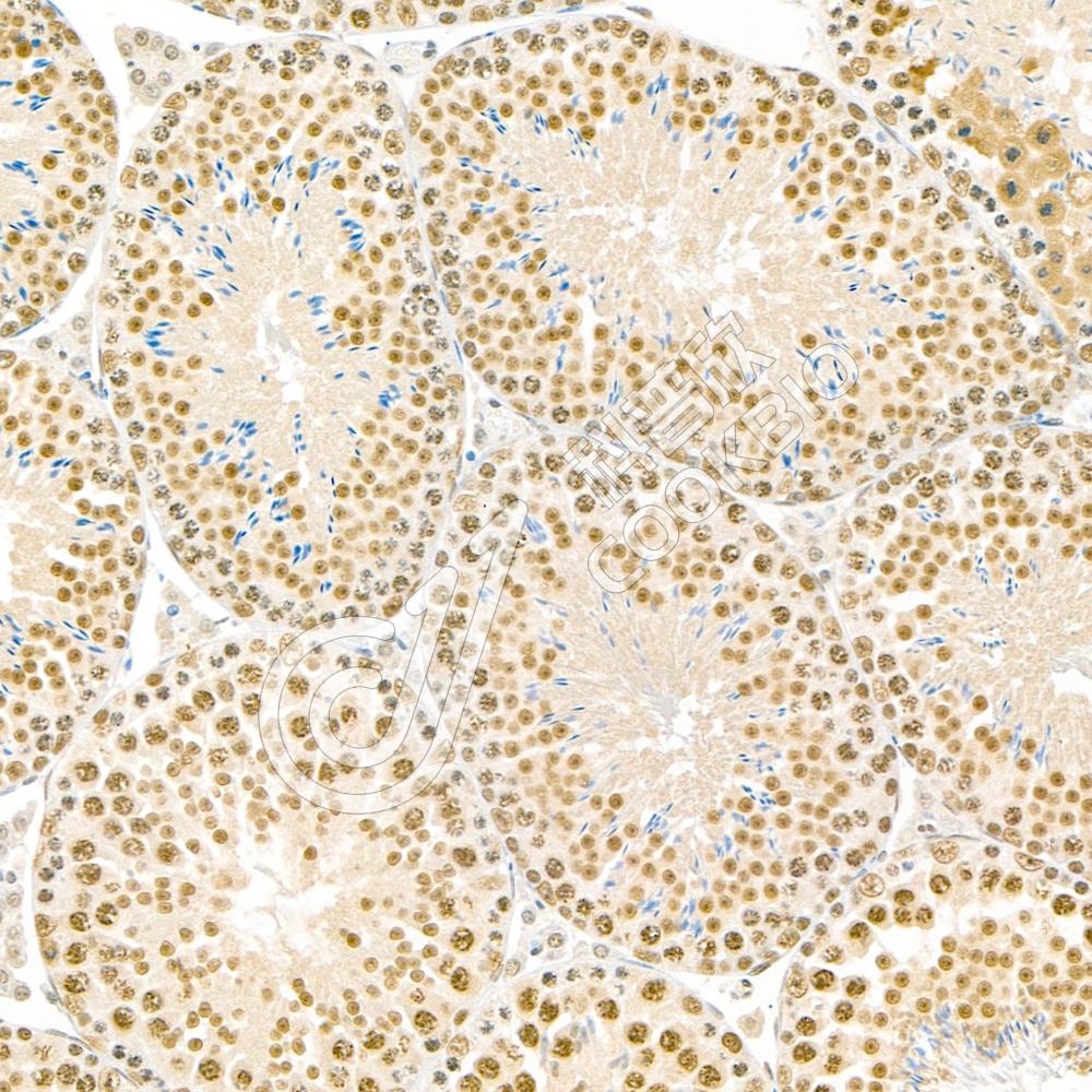
IHC检测METTL11A蛋白(货号 K1334173).
样品: 小鼠睾丸, 4%多聚甲醛 (货号KSG1101) 固定12-24小时.
抗原修复: 柠檬酸抗原修复液(干粉, pH 6.0) (KSG1201), 98℃, 20分钟.
—抗: 1: 1400稀释, 4℃ 孵育过夜.
二抗: S-vision免疫组化多聚二抗(山羊抗兔),即用型 (货号KB3906), 室温孵育20分钟.
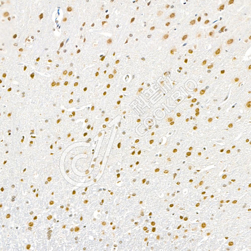
IHC检测METTL11A蛋白(货号 K1334173).
样品: 大鼠脑, 4%多聚甲醛 (货号KSG1101) 固定12-24小时.
抗原修复: 柠檬酸抗原修复液(干粉, pH 6.0) (KSG1201), 98℃, 20分钟.
—抗: 1: 1400稀释, 4℃ 孵育过夜.
二抗: S-vision免疫组化多聚二抗(山羊抗兔),即用型 (货号KB3906), 室温孵育20分钟.

需要技术支持?

如果您有任何问题或如果您在实验过程中遇到问题,或需要更详细的技术指导,请联系我们的技术支持团队
电话 400-6027-270

联系我们

如果您对我们的公司或产品有任何疑问,欢迎随时联系我们