tel 400-6027-270
Main Image
Anti-CDKA1/DOC1 兔多克隆抗体
¥1900
加入对比
货号: K1339666-100
亚细胞定位: 细胞核, 细胞质
别名: CDK2-associated protein 1,Deleted in oral cancer 1,DOC-1,Putative oral cancer suppressor,Cdk2ap1,Cdkap1,Doc1,p12DOC 1,ST19,DORC1
应用 | 种属
IHC/IF H,M,R
规格:
产品信息
蛋白质全称 周期蛋白依赖性激酶2关联蛋白1
别名 CDK2-associated protein 1,Deleted in oral cancer 1,DOC-1,Putative oral cancer suppressor,Cdk2ap1,Cdkap1,Doc1,p12DOC 1,ST19,DORC1
Uniprot ID O35207
免疫原 小鼠CDKA1 / DOC1重组蛋白
抗体亚型 IgG
纯化方式 亲和纯化
亚细胞定位 细胞核, 细胞质
应用
IHC/IF 免疫组织化学/免疫荧光
物种:人,小鼠,大鼠
稀释比:1:600-1:1200
阳性样品:结肠
背景
The protein encoded by this gene is a cyclin-dependent kinase 2 (CDK2) -associated protein which is thought to negatively regulate CDK2 activity by sequestering monomeric CDK2, and targeting CDK2 for proteolysis. This protein was found to also interact with DNA polymerase alpha/primase and mediate the phosphorylation of the large p180 subunit, which suggests a regulatory role in DNA replication during the S-phase of the cell cycle.
储存条件
储存条件:储存条件在:-20℃下储存一年, 避免反复冻融.
储存缓冲液:含0.15% ProClin300防腐剂, 100 μg/mL牛血清白蛋白和50%甘油的磷酸盐缓冲液.
图像
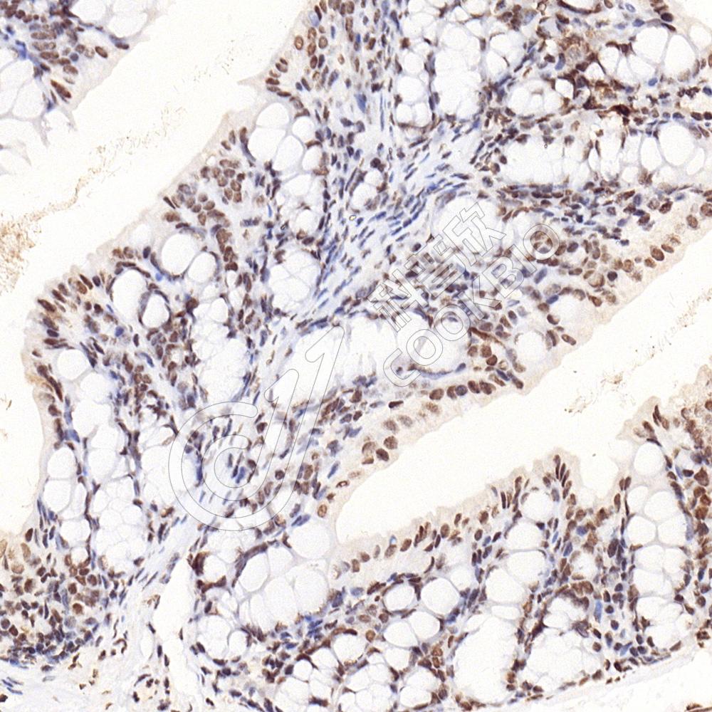
IHC检测CDKA1/DOC1蛋白(货号 K1339666).
样品: 人结肠, 4%多聚甲醛 (货号KSG1101) 固定12-24小时.
抗原修复: 柠檬酸抗原修复液(干粉, pH 6.0) (KSG1201), 98℃, 20分钟.
—抗: 1: 900稀释, 4℃ 孵育过夜.
二抗: S-vision免疫组化多聚二抗(山羊抗兔),即用型 (货号KB3906), 室温孵育20分钟.
IHC检测CDKA1/DOC1蛋白(货号 K1339666).
样品: 小鼠结肠, 4%多聚甲醛 (货号KSG1101) 固定12-24小时.
抗原修复: 柠檬酸抗原修复液(干粉, pH 6.0) (KSG1201), 98℃, 20分钟.
—抗: 1: 900稀释, 4℃ 孵育过夜.
二抗: S-vision免疫组化多聚二抗(山羊抗兔),即用型 (货号KB3906), 室温孵育20分钟.
IHC检测CDKA1/DOC1蛋白(货号 K1339666).
样品: 大鼠结肠, 4%多聚甲醛 (货号KSG1101) 固定12-24小时.
抗原修复: 柠檬酸抗原修复液(干粉, pH 6.0) (KSG1201), 98℃, 20分钟.
—抗: 1: 900稀释, 4℃ 孵育过夜.
二抗: S-vision免疫组化多聚二抗(山羊抗兔),即用型 (货号KB3906), 室温孵育20分钟.

需要技术支持?

如果您有任何问题或如果您在实验过程中遇到问题,或需要更详细的技术指导,请联系我们的技术支持团队
电话 400-6027-270

联系我们

如果您对我们的公司或产品有任何疑问,欢迎随时联系我们