tel 400-6027-270
Main Image
Anti-TTK/Mps1 兔多克隆抗体
¥1900
加入对比
货号: K1334113-100
预测分子量: 97 kDa
观测分子量: 97 kDa
亚细胞定位: 细胞质, 细胞核
别名: Phosphotyrosine picked threonine-protein kinase,PYT,TTK,MPS1,MPS1L1,ESK,TTK protein kinase
应用 | 种属
WB H
IHC/IF H
规格:
产品信息
蛋白质全称 双特异性蛋白激酶TTK
别名 Phosphotyrosine picked threonine-protein kinase,PYT,TTK,MPS1,MPS1L1,ESK,TTK protein kinase
Uniprot ID P33981
免疫原 KLH偶联的人TTK合成肽
抗体亚型 IgG
纯化方式 亲和纯化
亚细胞定位 细胞质, 细胞核
预测分子量./观测分子量. 97 kDa / 97 kDa
应用
WB 免疫印迹
物种:人
稀释比:1:500-1:1000
阳性样品:—
IHC/IF 免疫组织化学/免疫荧光
物种:人
稀释比:1:750-1:1500
阳性样品:结肠癌, 食管癌
背景
Mps1 family of kinases colocalizes with mitotic checkpoint proteins in kinetochores and/or spindle pole bodies/centrosomes. TTK has been shown to be a cell cycle-regulated kinase displaying maximum activity during M phase. Its kinase activity is required for proper chromosome segregation during mitosis through its involvements in microtubule-chromosome attachment error correction and the mitotic checkpoint.
储存条件
储存条件:储存条件在:-20℃下储存一年, 避免反复冻融.
储存缓冲液:含0.15% ProClin300防腐剂, 100 μg/mL牛血清白蛋白和50%甘油的磷酸盐缓冲液.
图像
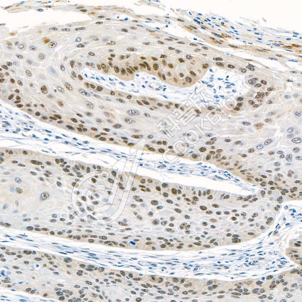
IHC检测TTK/Mps1蛋白(货号 K1334113).
样品: 人结肠癌, 4%多聚甲醛 (货号KSG1101) 固定12-24小时.
抗原修复: 柠檬酸抗原修复液(干粉, pH 6.0) (KSG1201), 98℃, 20分钟.
—抗: 1: 1100稀释, 4℃ 孵育过夜.
二抗: S-vision免疫组化多聚二抗(山羊抗兔),即用型 (货号KB3906), 室温孵育20分钟.
IHC检测TTK/Mps1蛋白(货号 K1334113).
样品: 人食管癌, 4%多聚甲醛 (货号KSG1101) 固定12-24小时.
抗原修复: 柠檬酸抗原修复液(干粉, pH 6.0) (KSG1201), 98℃, 20分钟.
—抗: 1: 1100稀释, 4℃ 孵育过夜.
二抗: S-vision免疫组化多聚二抗(山羊抗兔),即用型 (货号KB3906), 室温孵育20分钟.

需要技术支持?

如果您有任何问题或如果您在实验过程中遇到问题,或需要更详细的技术指导,请联系我们的技术支持团队
电话 400-6027-270

联系我们

如果您对我们的公司或产品有任何疑问,欢迎随时联系我们