tel 400-6027-270
Main Image
Anti-Skp1 兔多克隆抗体
¥1900
加入对比
货号: K1333690-100
亚细胞定位: 细胞核, 细胞质
别名: Cyclin-A/CDK2-associated protein p19,S-phase kinase-associated protein 1A,p19A,p19skp1,Skp1,Skp1a,  SKP 1A,TCEB1L,EMC19,OCP 2,OCP II
应用 | 种属
IHC/IF H,R
规格:
产品信息
蛋白质全称 S期激酶相关蛋白1
别名 Cyclin-A/CDK2-associated protein p19,S-phase kinase-associated protein 1A,p19A,p19skp1,Skp1,Skp1a,  SKP 1A,TCEB1L,EMC19,OCP 2,OCP II
Uniprot ID Q9WTX5
免疫原 KLH偶联的小鼠Skp1合成肽
抗体亚型 IgG
纯化方式 亲和纯化
亚细胞定位 细胞核, 细胞质
应用
IHC/IF 免疫组织化学/免疫荧光
物种:人,大鼠
稀释比:1:1500-1:3000
阳性样品:食管癌, 肝, 卵巢癌
背景
SKP1A is an F-box protein which functions as a substrate recognition component of the SCF ubiquitin ligase complex. It binds to cyclin F, S-phase kinase-associated protein 2, and other regulatory proteins involved in ubiquitin proteolysis through an F-box motif. SKP1A also collaborates with a network of proteins to control beta-catenin levels and affects the activity level of beta-catenin dependent TCF transcription factors. Studies have also characterized the protein as an RNA polymerase II elongation factor.
储存条件
储存条件:储存条件在:-20℃下储存一年, 避免反复冻融.
储存缓冲液:含0.15% ProClin300防腐剂, 100 μg/mL牛血清白蛋白和50%甘油的磷酸盐缓冲液.
图像
IHC检测Skp1蛋白(货号 K1333690).
样品: 人食管癌, 4%多聚甲醛 (货号KSG1101) 固定12-24小时.
抗原修复: 柠檬酸抗原修复液(干粉, pH 6.0) (KSG1201), 98℃, 20分钟.
—抗: 1: 2300稀释, 4℃ 孵育过夜.
二抗: S-vision免疫组化多聚二抗(山羊抗兔),即用型 (货号KB3906), 室温孵育20分钟.
IHC检测Skp1蛋白(货号 K1333690).
样品: 人卵巢癌, 4%多聚甲醛 (货号KSG1101) 固定12-24小时.
抗原修复: 柠檬酸抗原修复液(干粉, pH 6.0) (KSG1201), 98℃, 20分钟.
—抗: 1: 2300稀释, 4℃ 孵育过夜.
二抗: S-vision免疫组化多聚二抗(山羊抗兔),即用型 (货号KB3906), 室温孵育20分钟.
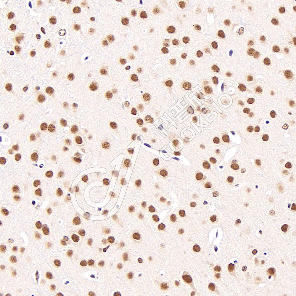
IF检测Skp1蛋白(货号 K1333690)(红色).
样品: 大鼠肝, 4%多聚甲醛 (货号KSG1101) 固定12-24小时.
抗原修复: Tris-EDTA抗原修复液(pH 9.0) (KSG1203), 98℃, 20分钟.
封闭: 3% BSA(货号KSGC305010)的PBS溶液, 室温孵育30分钟.
—抗: 1: 2300稀释, 4℃ 孵育过夜.
二抗: Cy3标记山羊抗兔IgG (H+L) (货号KB63909), 1: 300稀释, 室温孵育1小时.
IF检测Skp1蛋白(货号 K1333690)(红色).
样品: 大鼠睾丸, 4%多聚甲醛 (货号KSG1101) 固定12-24小时.
抗原修复: Tris-EDTA抗原修复液(pH 9.0) (KSG1203), 98℃, 20分钟.
封闭: 3% BSA(货号KSGC305010)的PBS溶液, 室温孵育30分钟.
—抗: 1: 2300稀释, 4℃ 孵育过夜.
二抗: Cy3标记山羊抗兔IgG (H+L) (货号KB63909), 1: 300稀释, 室温孵育1小时.

需要技术支持?

如果您有任何问题或如果您在实验过程中遇到问题,或需要更详细的技术指导,请联系我们的技术支持团队
电话 400-6027-270

联系我们

如果您对我们的公司或产品有任何疑问,欢迎随时联系我们