tel 400-6027-270
Main Image
Anti-CIKS/ACT1 兔多克隆抗体
¥1900
加入对比
货号: K1340440-100
亚细胞定位: 细胞核, 细胞质, 分泌型
别名: ACT1,Adapter protein CIKS,C6orf2,C6orf4,C6orf5,C6orf6,CIKS,Connection to IKK and SAPK/JNK,TRAF3 interacting protein 2,TRAF3IP2
应用 | 种属
IHC/IF R
规格:
产品信息
蛋白质全称 E3泛素连接酶TRAF3IP2
别名 ACT1,Adapter protein CIKS,C6orf2,C6orf4,C6orf5,C6orf6,CIKS,Connection to IKK and SAPK/JNK,TRAF3 interacting protein 2,TRAF3IP2
Uniprot ID Q8N7N6
免疫原 小鼠CIKS/ACT1重组蛋白
抗体亚型 IgG
纯化方式 亲和纯化
亚细胞定位 细胞核, 细胞质, 分泌型
应用
IHC/IF 免疫组织化学/免疫荧光
物种:大鼠
稀释比:1:1800-1:3600
阳性样品:脾
背景
This gene encodes a protein involved in regulating responses to cytokines by members of the Rel/NF-kappaB transcription factor family. These factors play a central role in innate immunity in response to pathogens, inflammatory signals and stress. This gene product interacts with TRAF proteins (tumor necrosis factor receptor-associated factors) and either I-kappaB kinase or MAP kinase to activate either NF-kappaB or Jun kinase. Several alternative transcripts encoding different isoforms have been identified. Another transcript, which does not encode a protein and is transcribed in the opposite orientation, has been identified.
储存条件
储存条件:储存条件在:-20℃下储存一年, 避免反复冻融.
储存缓冲液:含0.15% ProClin300防腐剂, 100 μg/mL牛血清白蛋白和50%甘油的磷酸盐缓冲液.
图像
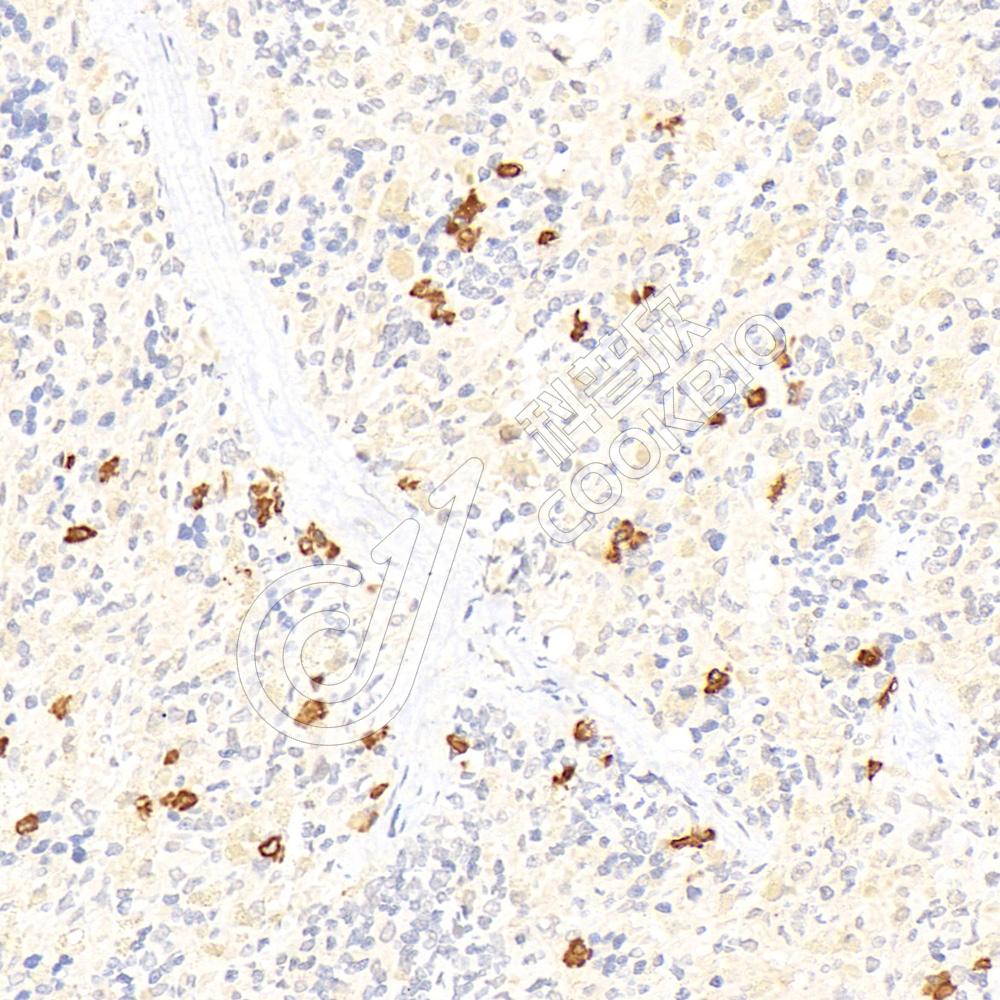
IHC检测CIKS/ACT1蛋白(货号 K1340440).
样品: 大鼠脾, 4%多聚甲醛 (货号KSG1101) 固定12-24小时.
抗原修复: 柠檬酸抗原修复液(干粉, pH 6.0) (KSG1201), 98℃, 20分钟.
—抗: 1: 2700稀释, 4℃ 孵育过夜.
二抗: S-vision免疫组化多聚二抗(山羊抗兔),即用型 (货号KB3906), 室温孵育20分钟.
IHC检测CIKS/ACT1蛋白(货号 K1340440).
样品: 大鼠脾, 4%多聚甲醛 (货号KSG1101) 固定12-24小时.
抗原修复: 柠檬酸抗原修复液(干粉, pH 6.0) (KSG1201), 98℃, 20分钟.
—抗: 1: 2700稀释, 4℃ 孵育过夜.
二抗: S-vision免疫组化多聚二抗(山羊抗兔),即用型 (货号KB3906), 室温孵育20分钟.

需要技术支持?

如果您有任何问题或如果您在实验过程中遇到问题,或需要更详细的技术指导,请联系我们的技术支持团队
电话 400-6027-270

联系我们

如果您对我们的公司或产品有任何疑问,欢迎随时联系我们