tel 400-6027-270
Main Image
Anti-p27 KIP 1 兔多克隆抗体
¥1900
加入对比
货号: K134551-100
亚细胞定位: 细胞核, 细胞质, 内体
别名: CDKN1B,CDKN4,KIP1,MEN1B,MEN4,P27KIP1,cyclin-dependent kinase inhibitor 1B,cyclin dependent kinase inhibitor 1B,p27Kip1,Cdki1b,p27,Cyclin-dependent kinase inhibitor p27,P27-like cyclin-dependent kinase inhibitor
应用 | 种属
IHC/IF H
规格:
产品信息
蛋白质全称 细胞周期蛋白依赖性激酶抑制剂1B
别名 CDKN1B,CDKN4,KIP1,MEN1B,MEN4,P27KIP1,cyclin-dependent kinase inhibitor 1B,cyclin dependent kinase inhibitor 1B,p27Kip1,Cdki1b,p27,Cyclin-dependent kinase inhibitor p27,P27-like cyclin-dependent kinase inhibitor
Uniprot ID P46527
免疫原 KLH偶联的人p27 KIP 1合成肽
抗体亚型 IgG
纯化方式 亲和纯化
亚细胞定位 细胞核, 细胞质, 内体
应用
IHC/IF 免疫组织化学/免疫荧光
物种:人
稀释比:1:500-1:1500
阳性样品:乳腺癌, 结肠癌
背景
CDKN1B, also named as P27 or KIP1, is a cyclin-dependent kinase inhibitor, which shares a limited similarity with CDK inhibitor CDKN1A/p21. P27 binds to and prevents the activation of cyclin E-CDK2 or cyclin D-CDK4 complexes, and thus controlling cell cycle progression at G1. The degradation of this protein, which is triggered by its CDK dependent phosphorylation and subsequent ubiquitination by SCF complexes, is required for the cellular transition from quiescence to the proliferative state. Downregulation of P27 has been implicated in the progression of several malignancies, including lung cancer, hepatocellular carcinoma, salivary cancer, oral squamous cell carcinomas, and gastric cancer.
储存条件
储存条件:储存条件在:-20℃下储存一年, 避免反复冻融.
储存缓冲液:含0.15% ProClin300防腐剂, 100 μg/mL牛血清白蛋白和50%甘油的磷酸盐缓冲液.
图像
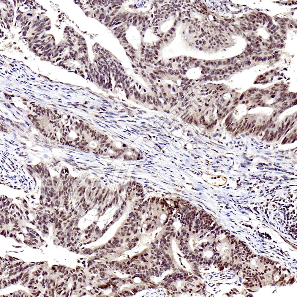
IHC检测p27 KIP 1蛋白(货号 K134551).
样品: 人乳腺癌, 4%多聚甲醛 (货号KSG1101) 固定12-24小时.
抗原修复: 柠檬酸抗原修复液(干粉, pH 6.0) (KSG1201), 98℃, 20分钟.
—抗: 1: 1000稀释, 4℃ 孵育过夜.
二抗: S-vision免疫组化多聚二抗(山羊抗兔),即用型 (货号KB3906), 室温孵育20分钟.
IHC检测p27 KIP 1蛋白(货号 K134551).
样品: 人结肠癌, 4%多聚甲醛 (货号KSG1101) 固定12-24小时.
抗原修复: 柠檬酸抗原修复液(干粉, pH 6.0) (KSG1201), 98℃, 20分钟.
—抗: 1: 1000稀释, 4℃ 孵育过夜.
二抗: S-vision免疫组化多聚二抗(山羊抗兔),即用型 (货号KB3906), 室温孵育20分钟.

需要技术支持?

如果您有任何问题或如果您在实验过程中遇到问题,或需要更详细的技术指导,请联系我们的技术支持团队
电话 400-6027-270

联系我们

如果您对我们的公司或产品有任何疑问,欢迎随时联系我们