tel 400-6027-270
Main Image
Anti-Cyclin E1 兔多克隆抗体
¥1900
加入对比
货号: K1335811-100
亚细胞定位: 细胞核
别名: CCNE1,CCNE,pcyclin E1,Cyclin E1
应用 | 种属
IHC/IF H,M,R
规格:
产品信息
蛋白质全称 G1/S期特异性周期蛋白 E1
别名 CCNE1,CCNE,pcyclin E1,Cyclin E1
Uniprot ID Q61457
免疫原 KLH偶联的小鼠Cyclin E1合成肽
抗体亚型 IgG
纯化方式 亲和纯化
亚细胞定位 细胞核
应用
IHC/IF 免疫组织化学/免疫荧光
物种:人,小鼠,大鼠
稀释比:1:250-1:1000
阳性样品:结肠, 胎盘, 睾丸
背景
Cyclin E1 (CCNE1) is a member of the highly conserved cyclin family, whose members are characterized by a dramatic periodicity in protein abundance through the cell cycle. CCNE1, an essential cyclin activating Cdk2, regulates the G1-S phase transition of the mammalian cell division cycle. Its timing expression plays a direct role in the initiation of DNA replication , the control of histone biosynthesis, and the centrosome cycle. CCNE1 is associated with disease progression in various malignancies and is associated clinically with poor prognosis.
储存条件
储存条件:储存条件在:-20℃下储存一年, 避免反复冻融.
储存缓冲液:含0.15% ProClin300防腐剂, 100 μg/mL牛血清白蛋白和50%甘油的磷酸盐缓冲液.
图像
IHC检测Cyclin E1蛋白(货号 K1335811).
样品: 人胎盘, 4%多聚甲醛 (货号KSG1101) 固定12-24小时.
抗原修复: 柠檬酸抗原修复液(干粉, pH 6.0) (KSG1201), 高压锅均匀喷气计时2分钟.
—抗: 1: 600稀释, 4℃ 孵育过夜.
二抗: S-vision免疫组化多聚二抗(山羊抗兔),即用型 (货号KB3906), 室温孵育20分钟.
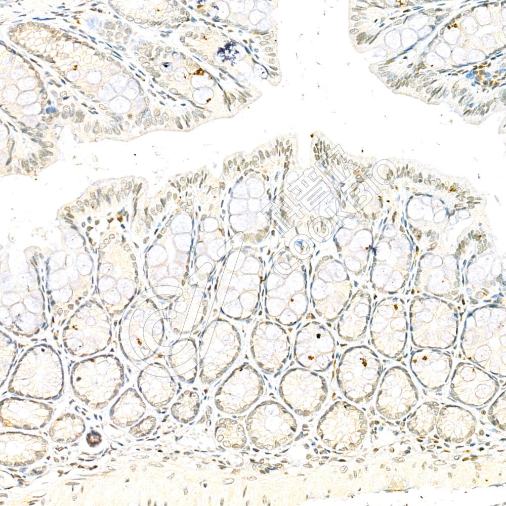
IHC检测Cyclin E1蛋白(货号 K1335811).
样品: 小鼠结肠, 4%多聚甲醛 (货号KSG1101) 固定12-24小时.
抗原修复: 柠檬酸抗原修复液(干粉, pH 6.0) (KSG1201), 高压锅均匀喷气计时2分钟.
—抗: 1: 600稀释, 4℃ 孵育过夜.
二抗: S-vision免疫组化多聚二抗(山羊抗兔),即用型 (货号KB3906), 室温孵育20分钟.
IHC检测Cyclin E1蛋白(货号 K1335811).
样品: 大鼠睾丸, 4%多聚甲醛 (货号KSG1101) 固定12-24小时.
抗原修复: 柠檬酸抗原修复液(干粉, pH 6.0) (KSG1201), 高压锅均匀喷气计时2分钟.
—抗: 1: 600稀释, 4℃ 孵育过夜.
二抗: S-vision免疫组化多聚二抗(山羊抗兔),即用型 (货号KB3906), 室温孵育20分钟.

需要技术支持?

如果您有任何问题或如果您在实验过程中遇到问题,或需要更详细的技术指导,请联系我们的技术支持团队
电话 400-6027-270

联系我们

如果您对我们的公司或产品有任何疑问,欢迎随时联系我们