tel 400-6027-270
Main Image
Anti-CDK2 兔多克隆抗体
¥1900
加入对比
货号: K1336387-100
预测分子量: 34 kDa
观测分子量: 34 kDa
亚细胞定位: 细胞核, 细胞质
别名: Cell division protein kinase 2,p33 protein kinase,CDK2,CDKN2,CDC28,CDC2A,Cdc2 related protein kinase,p33(CDK2),MPF
应用 | 种属
WB H,M,R
IHC/IF H,M,R
规格:
产品信息
蛋白质全称 细胞周期蛋白依赖性激酶2
别名 Cell division protein kinase 2,p33 protein kinase,CDK2,CDKN2,CDC28,CDC2A,Cdc2 related protein kinase,p33(CDK2),MPF
Uniprot ID P24941
免疫原 KLH偶联的人Cdk2合成肽
抗体亚型 IgG
纯化方式 亲和纯化
亚细胞定位 细胞核, 细胞质
预测分子量./观测分子量. 34 kDa / 34 kDa
应用
WB 免疫印迹
物种:人,小鼠,大鼠
稀释比:1:400-1:800
阳性样品:—
IHC/IF 免疫组织化学/免疫荧光
物种:人,小鼠,大鼠
稀释比:1:200-1:800
阳性样品:弥漫性大B细胞淋巴瘤, 脾
背景
The protein encoded by this gene is a member of the Ser/Thr protein kinase family. This protein kinase is highly similar to the gene products of S. cerevisiae cdc28, and S. pombe cdc2. It is a catalytic subunit of the cyclin-dependent protein kinase complex, whose activity is restricted to the G1-S phase, and essential for cell cycle G1/S phase transition. This protein associates with and regulated by the regulatory subunits of the complex including cyclin A or E, CDK inhibitor p21Cip1 (CDKN1A) and p27Kip1 (CDKN1B).
储存条件
储存条件:储存条件在:-20℃下储存一年, 避免反复冻融.
储存缓冲液:含0.15% ProClin300防腐剂, 100 μg/mL牛血清白蛋白和50%甘油的磷酸盐缓冲液.
图像
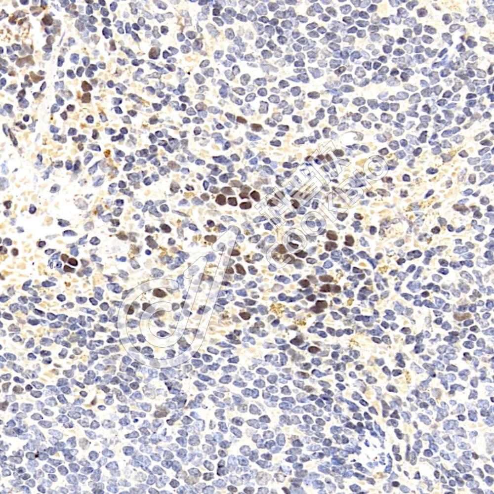
IHC检测CDK2蛋白(货号 K1336387).
样品: 人弥漫性大B细胞淋巴瘤, 4%多聚甲醛 (货号KSG1101) 固定12-24小时.
抗原修复: 柠檬酸抗原修复液(干粉, pH 6.0) (KSG1201), 98℃, 20分钟.
—抗: 1: 500稀释, 4℃ 孵育过夜.
二抗: S-vision免疫组化多聚二抗(山羊抗兔),即用型 (货号KB3906), 室温孵育20分钟.
CDK2_d1000_WB
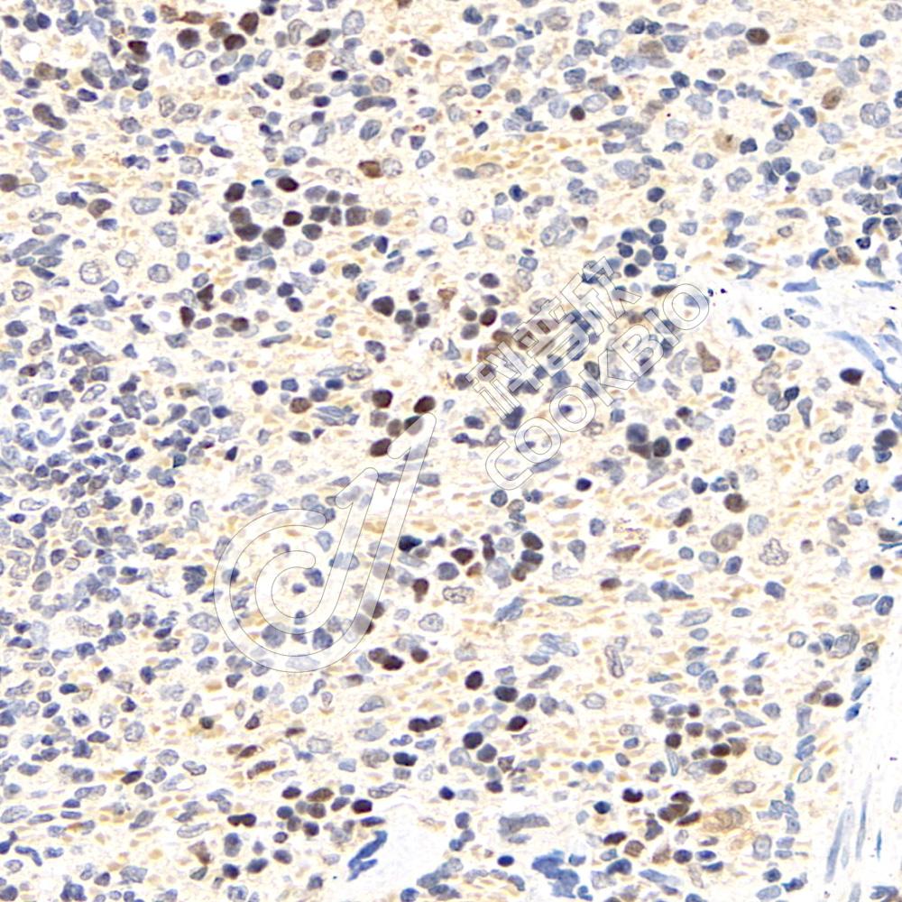
IHC检测CDK2蛋白(货号 K1336387).
样品: 小鼠脾, 4%多聚甲醛 (货号KSG1101) 固定12-24小时.
抗原修复: 柠檬酸抗原修复液(干粉, pH 6.0) (KSG1201), 98℃, 20分钟.
—抗: 1: 500稀释, 4℃ 孵育过夜.
二抗: S-vision免疫组化多聚二抗(山羊抗兔),即用型 (货号KB3906), 室温孵育20分钟.
IHC检测CDK2蛋白(货号 K1336387).
样品: 大鼠脾, 4%多聚甲醛 (货号KSG1101) 固定12-24小时.
抗原修复: 柠檬酸抗原修复液(干粉, pH 6.0) (KSG1201), 98℃, 20分钟.
—抗: 1: 500稀释, 4℃ 孵育过夜.
二抗: S-vision免疫组化多聚二抗(山羊抗兔),即用型 (货号KB3906), 室温孵育20分钟.

需要技术支持?

如果您有任何问题或如果您在实验过程中遇到问题,或需要更详细的技术指导,请联系我们的技术支持团队
电话 400-6027-270

联系我们

如果您对我们的公司或产品有任何疑问,欢迎随时联系我们