tel 400-6027-270
Main Image
Recombinant Anti-Myeloperoxidase antibody (小鼠单克隆抗体)
¥1900
加入对比
货号: K5450531-100
预测分子量: 84 kDa
观测分子量: 37/55/84 kDa
亚细胞定位: 溶酶体
别名: MPO,myeloperoxidase
应用 | 种属
WB H
IHC/IF H
规格:
产品信息
蛋白质全称 髓过氧化物酶
别名 MPO,myeloperoxidase
Uniprot ID P05164
免疫原 人MPO重组蛋白
抗体亚型 IgG1
克隆号 SB620
纯化方式 亲和纯化
亚细胞定位 溶酶体
预测分子量./观测分子量. 84 kDa / 37/55/84 kDa
应用
WB 免疫印迹
物种:人
稀释比:1:500-1:1500
阳性样品:—
IHC/IF 免疫组织化学/免疫荧光
物种:人
稀释比:1:1000-1:2500
阳性样品:食管癌, 肝
背景
Myeloperoxidase (MPO) is a peroxidase enzyme that in humans is encoded by the MPO gene on chromosome 17.MPO is most abundantly expressed in neutrophil granulocytes (a subtype of white blood cells), and produces hypohalous acids to carry out their antimicrobial activity. It is a lysosomal protein stored in azurophilic granules of the neutrophil and released into the extracellular space during degranulation. Neutrophil verdoperoxidase has a heme pigment, which causes its green color in secretions rich in neutrophils, such as pus and some forms of mucus.
储存条件
储存条件:储存条件在:-20℃下储存一年, 避免反复冻融.
储存缓冲液:含0.15% ProClin300防腐剂, 100 μg/mL牛血清白蛋白和50%甘油的磷酸盐缓冲液.
图像
IHC检测Myeloperoxidase蛋白(货号 K5450531).
样品: 人食管癌, 4%多聚甲醛 (货号KSG1101) 固定12-24小时.
抗原修复: Tris-EDTA抗原修复液(pH 9.0) (货号KSG1203), 水浴100℃, 25分钟.
—抗: 1: 1800稀释, 4℃ 孵育过夜.
二抗: S-vision免疫组化多聚二抗(山羊抗小鼠), 即用型(货号KB3903), 室温孵育20分钟.
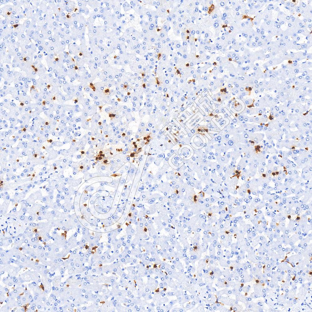
IHC检测Myeloperoxidase蛋白(货号 K5450531).
样品: 人肝, 4%多聚甲醛 (货号KSG1101) 固定12-24小时.
抗原修复: Tris-EDTA抗原修复液(pH 9.0) (货号KSG1203), 水浴100℃, 25分钟.
—抗: 1: 1800稀释, 4℃ 孵育过夜.
二抗: S-vision免疫组化多聚二抗(山羊抗小鼠), 即用型(货号KB3903), 室温孵育20分钟.

需要技术支持?

如果您有任何问题或如果您在实验过程中遇到问题,或需要更详细的技术指导,请联系我们的技术支持团队
电话 400-6027-270

联系我们

如果您对我们的公司或产品有任何疑问,欢迎随时联系我们