tel 400-6027-270
Main Image
Recombinant Anti-p21 antibody (兔单克隆抗体)
¥1900
加入对比
货号: K5465939-100
预测分子量: 19 kDa
观测分子量: 20 kDa
亚细胞定位: 细胞核, 细胞质
别名: CDKN1A,CAP20,CDKN1,CIP1,MDA-6,P21,SDI1,WAF1,p21CIP1,p21,cyclin-dependent kinase inhibitor 1A,cyclin dependent kinase inhibitor 1A
应用 | 种属
WB M
IHC/IF M
规格:
产品信息
蛋白质全称 细胞周期蛋白依赖性激酶抑制剂 1
别名 CDKN1A,CAP20,CDKN1,CIP1,MDA-6,P21,SDI1,WAF1,p21CIP1,p21,cyclin-dependent kinase inhibitor 1A,cyclin dependent kinase inhibitor 1A
Uniprot ID P39689
免疫原 小鼠p21重组蛋白
抗体亚型 IgG, κ
克隆号 SB249
纯化方式 亲和纯化
亚细胞定位 细胞核, 细胞质
预测分子量./观测分子量. 19 kDa / 20 kDa
应用
WB 免疫印迹
物种:小鼠
稀释比:1:500-1:1000
阳性样品:—
IHC/IF 免疫组织化学/免疫荧光
物种:小鼠
稀释比:1:1000-1:3000
阳性样品:皮肤, 4T1细胞皮下核-M模型
背景
May be involved in p53/TP53 mediated inhibition of cellular proliferation in response to DNA damage. Binds to and inhibits cyclin-dependent kinase activity, preventing phosphorylation of critical cyclin-dependent kinase substrates and blocking cell cycle progression. Functions in the nuclear localization and assembly of cyclin D-CDK4 complex and promotes its kinase activity towards RB1. At higher stoichiometric ratios, inhibits the kinase activity of the cyclin D-CDK4 complex. Inhibits DNA synthesis by DNA polymerase delta by competing with POLD3 for PCNA binding.
储存条件
储存条件:储存条件在:-20℃下储存一年, 避免反复冻融.
储存缓冲液:含0.15% ProClin300防腐剂, 100 μg/mL牛血清白蛋白和50%甘油的磷酸盐缓冲液.
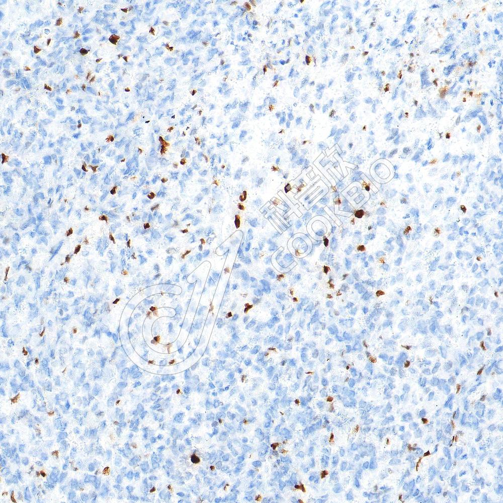
图像
IHC检测p21蛋白(货号 K5465939).
样品: 小鼠皮肤, 4%多聚甲醛 (货号KSG1101) 固定12-24小时.
抗原修复: 柠檬酸抗原修复液(干粉, pH 6.0) (KSG1201), 高压锅均匀喷气计时2分钟.
—抗: 1: 2000稀释, 4℃ 孵育过夜.
二抗: S-vision免疫组化多聚二抗(山羊抗兔),即用型 (货号KB3906), 室温孵育20分钟.
IHC检测p21蛋白(货号 K5465939).
样品: 小鼠4T1细胞皮下核-M模型, 4%多聚甲醛 (货号KSG1101) 固定12-24小时.
抗原修复: 柠檬酸抗原修复液(干粉, pH 6.0) (KSG1201), 高压锅均匀喷气计时2分钟.
—抗: 1: 2000稀释, 4℃ 孵育过夜.
二抗: S-vision免疫组化多聚二抗(山羊抗兔),即用型 (货号KB3906), 室温孵育20分钟.

需要技术支持?

如果您有任何问题或如果您在实验过程中遇到问题,或需要更详细的技术指导,请联系我们的技术支持团队
电话 400-6027-270

联系我们

如果您对我们的公司或产品有任何疑问,欢迎随时联系我们