tel 400-6027-270
Main Image
Anti-CA125/MUC16 小鼠单克隆抗体
¥1900
加入对比
货号: K236051-100
亚细胞定位: 分泌型, 细胞膜
别名: CA-125,MUC-16,MUC16,CA125,Mucin 16
应用 | 种属
IHC/IF H
规格:
产品信息
蛋白质全称 粘蛋白16
别名 CA-125,MUC-16,MUC16,CA125,Mucin 16
Uniprot ID Q8WXI7
免疫原 人重组CA125蛋白在HEK293细胞中表达
抗体亚型 IgG1, κ
克隆号 4H1G2
纯化方式 亲和纯化
亚细胞定位 分泌型, 细胞膜
应用
IHC/IF 免疫组织化学/免疫荧光
物种:人
稀释比:1:500-1:1500
阳性样品:宫颈癌, 卵巢浆液性癌
背景
Thought to provide a protective, lubricating barrier against particles and infectious agents at mucosal surfaces.
储存条件
储存条件:储存条件在:-20℃下储存一年, 避免反复冻融.
储存缓冲液:含0.15% ProClin300防腐剂, 100 μg/mL牛血清白蛋白和50%甘油的磷酸盐缓冲液.
图像
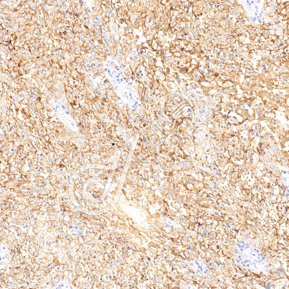
IHC检测CA125蛋白(货号 K236051).
样品: 人宫颈癌, 4%多聚甲醛 (货号KSG1101) 固定12-24小时.
抗原修复: 柠檬酸抗原修复液(干粉, pH 6.0) (KSG1201), 高压锅均匀喷气计时2分钟.
—抗: 1: 1000稀释, 4℃ 孵育过夜.
二抗: S-vision免疫组化多聚二抗(山羊抗小鼠), 即用型(货号KB3903), 室温孵育20分钟.
IHC检测CA125蛋白(货号 K236051).
样品: 人卵巢浆液性癌, 4%多聚甲醛 (货号KSG1101) 固定12-24小时.
抗原修复: 柠檬酸抗原修复液(干粉, pH 6.0) (KSG1201), 高压锅均匀喷气计时2分钟.
—抗: 1: 1000稀释, 4℃ 孵育过夜.
二抗: S-vision免疫组化多聚二抗(山羊抗小鼠), 即用型(货号KB3903), 室温孵育20分钟.

需要技术支持?

如果您有任何问题或如果您在实验过程中遇到问题,或需要更详细的技术指导,请联系我们的技术支持团队
电话 400-6027-270

联系我们

如果您对我们的公司或产品有任何疑问,欢迎随时联系我们