tel 400-6027-270
Main Image
Anti-alpha 1 Antitrypsin 兔多克隆抗体
¥1900
加入对比
货号: K1346776-100
亚细胞定位: 分泌型
别名: AAT,Alpha-1 protease inhibitor 2,Alpha-1-antiproteinase,Serine protease inhibitor 1-2,Serine protease inhibitor A1b,Serpin A1b,Serpina1b,Aat2,Dom2,Spi1-2
应用 | 种属
IHC/IF H,M,R
规格:
产品信息
蛋白质全称 α1-抗胰蛋白酶
别名 AAT,Alpha-1 protease inhibitor 2,Alpha-1-antiproteinase,Serine protease inhibitor 1-2,Serine protease inhibitor A1b,Serpin A1b,Serpina1b,Aat2,Dom2,Spi1-2
Uniprot ID P01009
免疫原 KLH偶联的人alpha 1 Antitrypsin合成肽
抗体亚型 IgG
纯化方式 亲和纯化
亚细胞定位 分泌型
应用
IHC/IF 免疫组织化学/免疫荧光
物种:人,小鼠,大鼠
稀释比:1:300-1:900
阳性样品:结肠, 肾
背景
Inhibitor of serine proteases. Its primary target is elastase, but it also has a moderate affinity for plasmin and thrombin. Irreversibly inhibits trypsin, chymotrypsin and plasminogen activator. The aberrant form inhibits insulin-induced NO synthesis in platelets, decreases coagulation time and has proteolytic activity against insulin and plasmin.; [Short peptide from AAT]: Reversible chymotrypsin inhibitor. It also inhibits elastase, but not trypsin. Its major physiological function is the protection of the lower respiratory tract against proteolytic destruction by human leukocyte elastase (HLE).
储存条件
储存条件:储存条件在:-20℃下储存一年, 避免反复冻融.
储存缓冲液:含0.15% ProClin300防腐剂, 100 μg/mL牛血清白蛋白和50%甘油的磷酸盐缓冲液.
图像
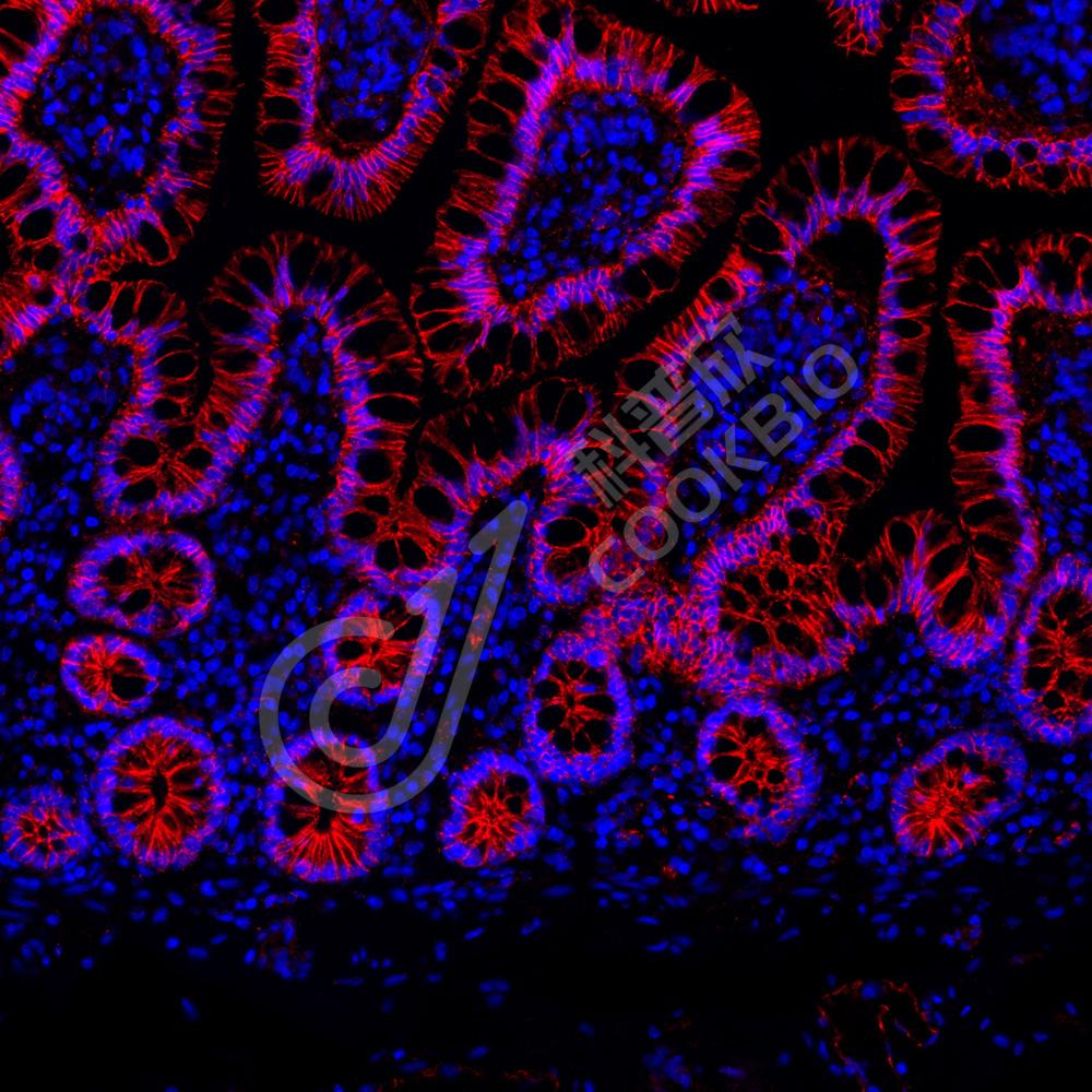
IHC检测alpha 1 Antitrypsin蛋白(货号 K1346776).
样品: 人结肠, 4%多聚甲醛 (货号KSG1101) 固定12-24小时.
抗原修复: Tris-EDTA抗原修复液(pH 9.0) (KSG1203), 98℃, 20分钟.
—抗: 1: 600稀释, 4℃ 孵育过夜.
二抗: S-vision免疫组化多聚二抗(山羊抗兔),即用型 (货号KB3906), 室温孵育20分钟.
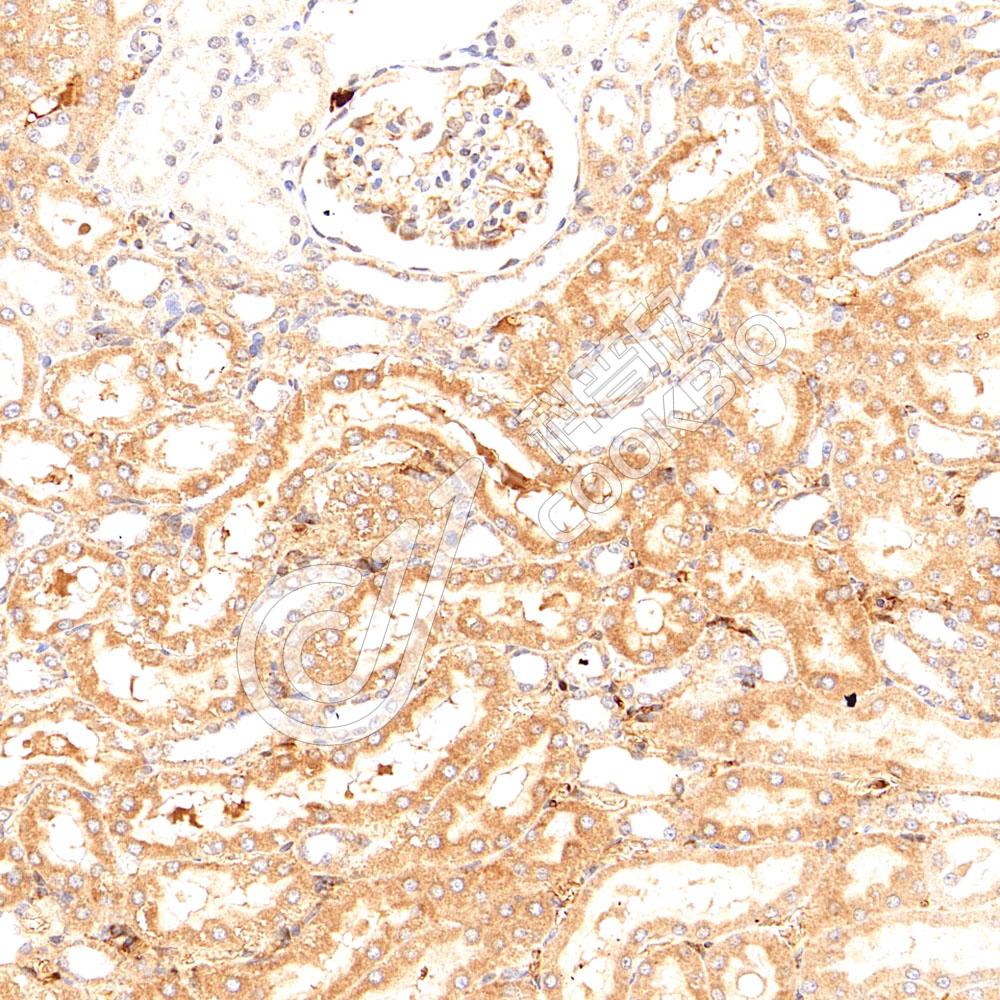
IHC检测alpha 1 Antitrypsin蛋白(货号 K1346776).
样品: 小鼠肾, 4%多聚甲醛 (货号KSG1101) 固定12-24小时.
抗原修复: Tris-EDTA抗原修复液(pH 9.0) (KSG1203), 98℃, 20分钟.
—抗: 1: 600稀释, 4℃ 孵育过夜.
二抗: S-vision免疫组化多聚二抗(山羊抗兔),即用型 (货号KB3906), 室温孵育20分钟.
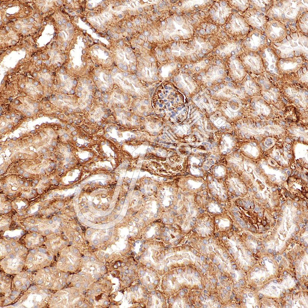
IHC检测alpha 1 Antitrypsin蛋白(货号 K1346776).
样品: 大鼠肾, 4%多聚甲醛 (货号KSG1101) 固定12-24小时.
抗原修复: Tris-EDTA抗原修复液(pH 9.0) (KSG1203), 98℃, 20分钟.
—抗: 1: 600稀释, 4℃ 孵育过夜.
二抗: S-vision免疫组化多聚二抗(山羊抗兔),即用型 (货号KB3906), 室温孵育20分钟.

需要技术支持?

如果您有任何问题或如果您在实验过程中遇到问题,或需要更详细的技术指导,请联系我们的技术支持团队
电话 400-6027-270

联系我们

如果您对我们的公司或产品有任何疑问,欢迎随时联系我们