tel 400-6027-270
Main Image
Anti-Ferritin Heavy Chain 兔多克隆抗体
¥1900
加入对比
货号: K1346605-100
亚细胞定位: 细胞质, 溶酶体, 细胞质小泡
别名: Ferritin H subunit,Cell proliferation-inducing gene 15 protein,FTH1,FTH,FTHL6,OK/SW-cl.84,PIG15
应用 | 种属
IHC/IF H,M,R
规格:
产品信息
蛋白质全称 铁蛋白重链
别名 Ferritin H subunit,Cell proliferation-inducing gene 15 protein,FTH1,FTH,FTHL6,OK/SW-cl.84,PIG15
Uniprot ID P09528
免疫原 KLH偶联的小鼠Ferritin Heavy Chain合成肽
抗体亚型 IgG
纯化方式 亲和纯化
亚细胞定位 细胞质, 溶酶体, 细胞质小泡
应用
IHC/IF 免疫组织化学/免疫荧光
物种:人,小鼠,大鼠
稀释比:1:200-1:600
阳性样品:肾, 肝
背景
Stores iron in a soluble, non-toxic, readily available form. Important for iron homeostasis. Has ferroxidase activity. Iron is taken up in the ferrous form and deposited as ferric hydroxides after oxidation. Also plays a role in delivery of iron to cells. Mediates iron uptake in capsule cells of the developing kidney.
储存条件
储存条件:储存条件在:-20℃下储存一年, 避免反复冻融.
储存缓冲液:含0.15% ProClin300防腐剂, 100 μg/mL牛血清白蛋白和50%甘油的磷酸盐缓冲液.
图像
IHC检测Ferritin Heavy Chain蛋白(货号 K1346605).
样品: 人肝, 4%多聚甲醛 (货号KSG1101) 固定12-24小时.
抗原修复: Tris-EDTA抗原修复液(pH 9.0) (KSG1203), 98℃, 20分钟.
—抗: 1: 400稀释, 4℃ 孵育过夜.
二抗: S-vision免疫组化多聚二抗(山羊抗兔),即用型 (货号KB3906), 室温孵育20分钟.
IHC检测Ferritin Heavy Chain蛋白(货号 K1346605).
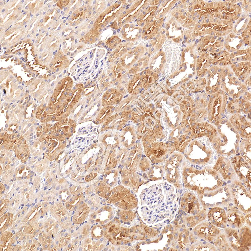
样品: 小鼠肾, 4%多聚甲醛 (货号KSG1101) 固定12-24小时.
抗原修复: Tris-EDTA抗原修复液(pH 9.0) (KSG1203), 98℃, 20分钟.
—抗: 1: 400稀释, 4℃ 孵育过夜.
二抗: S-vision免疫组化多聚二抗(山羊抗兔),即用型 (货号KB3906), 室温孵育20分钟.
IHC检测Ferritin Heavy Chain蛋白(货号 K1346605).
样品: 大鼠肾, 4%多聚甲醛 (货号KSG1101) 固定12-24小时.
抗原修复: Tris-EDTA抗原修复液(pH 9.0) (KSG1203), 98℃, 20分钟.
—抗: 1: 400稀释, 4℃ 孵育过夜.
二抗: S-vision免疫组化多聚二抗(山羊抗兔),即用型 (货号KB3906), 室温孵育20分钟.

需要技术支持?

如果您有任何问题或如果您在实验过程中遇到问题,或需要更详细的技术指导,请联系我们的技术支持团队
电话 400-6027-270

联系我们

如果您对我们的公司或产品有任何疑问,欢迎随时联系我们