tel 400-6027-270
Main Image
Anti-GPAT-3 兔多克隆抗体
¥1900
加入对比
货号: K1345549-100
亚细胞定位: 内质网膜
别名: 1 AGP acyltransferase 9,1 AGPAT 9,AGPAT8,AGPAT9,GPAT 3,GPAT3,hGPAT3,HMFN0839,LPAAT theta,MAG 1,MAG1,UNQ2753/PRO6492
应用 | 种属
IHC/IF H,M
规格:
产品信息
蛋白质全称 甘油-3-磷酸酰基转移酶3
别名 1 AGP acyltransferase 9,1 AGPAT 9,AGPAT8,AGPAT9,GPAT 3,GPAT3,hGPAT3,HMFN0839,LPAAT theta,MAG 1,MAG1,UNQ2753/PRO6492
Uniprot ID Q8C0N2
免疫原 KLH偶联的小鼠GPAT-3合成肽
抗体亚型 IgG
纯化方式 亲和纯化
亚细胞定位 内质网膜
应用
IHC/IF 免疫组织化学/免疫荧光
物种:人,小鼠
稀释比:1:800-1:2400
阳性样品:肾
背景
Converts glycerol-3-phosphate to 1-acyl-sn-glycerol-3-phosphate (lysophosphatidic acid or LPA) by incorporating an acyl moiety at the sn-1 position of the glycerol backbone . Also converts LPA into 1,2-diacyl-sn-glycerol-3-phosphate (phosphatidic acid or PA) by incorporating an acyl moiety at the sn-2 position of the glycerol backbone (By similarity).
储存条件
储存条件:储存条件在:-20℃下储存一年, 避免反复冻融.
储存缓冲液:含0.15% ProClin300防腐剂, 100 μg/mL牛血清白蛋白和50%甘油的磷酸盐缓冲液.
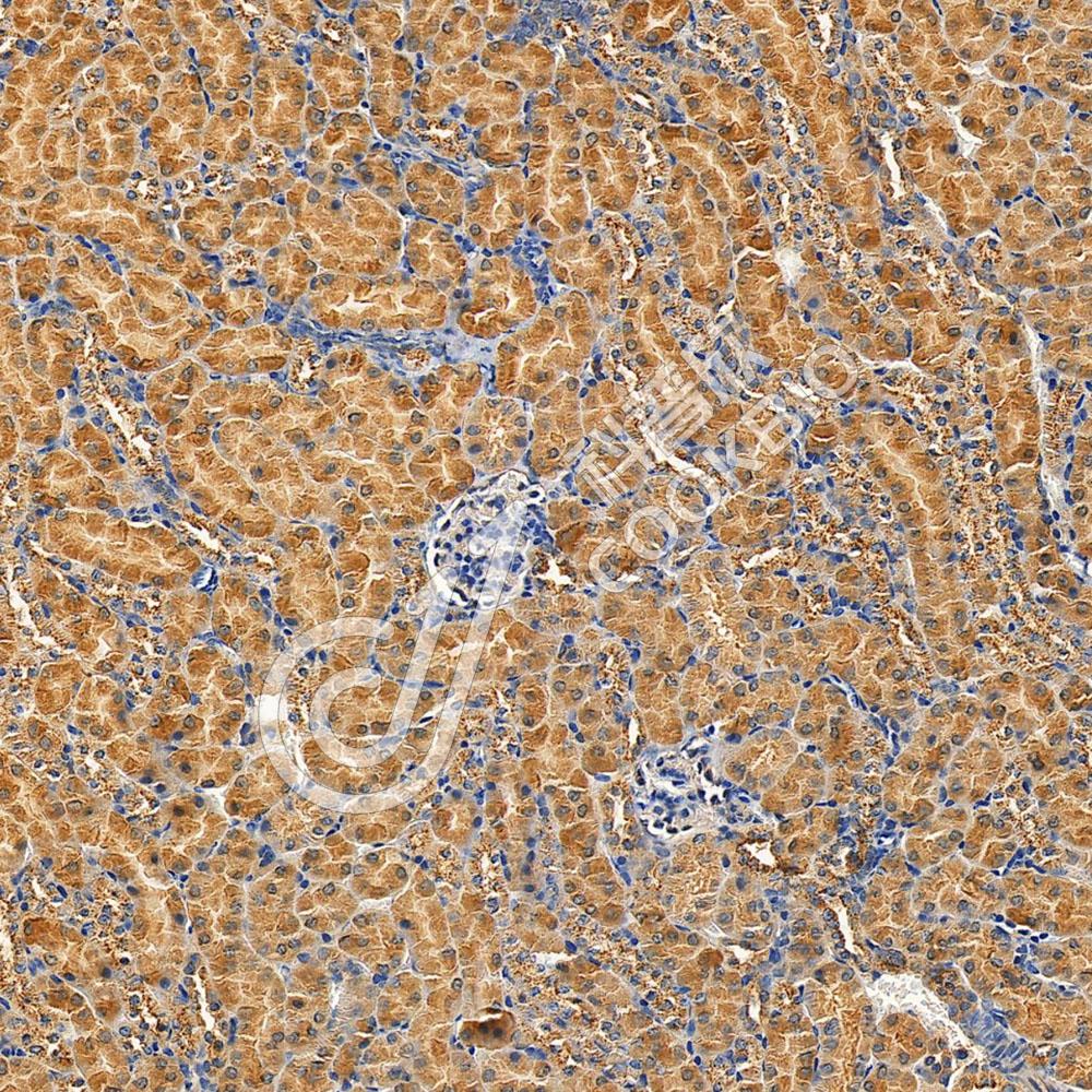
图像
IHC检测GPAT-3蛋白(货号 K1345549).
样品: 人肾, 4%多聚甲醛 (货号KSG1101) 固定12-24小时.
抗原修复: Tris-EDTA抗原修复液(pH 9.0) (KSG1203), 98℃, 20分钟.
—抗: 1: 1600稀释, 4℃ 孵育过夜.
二抗: S-vision免疫组化多聚二抗(山羊抗兔),即用型 (货号KB3906), 室温孵育20分钟.
IHC检测GPAT-3蛋白(货号 K1345549).
样品: 小鼠肾, 4%多聚甲醛 (货号KSG1101) 固定12-24小时.
抗原修复: Tris-EDTA抗原修复液(pH 9.0) (KSG1203), 98℃, 20分钟.
—抗: 1: 1600稀释, 4℃ 孵育过夜.
二抗: S-vision免疫组化多聚二抗(山羊抗兔),即用型 (货号KB3906), 室温孵育20分钟.

需要技术支持?

如果您有任何问题或如果您在实验过程中遇到问题,或需要更详细的技术指导,请联系我们的技术支持团队
电话 400-6027-270

联系我们

如果您对我们的公司或产品有任何疑问,欢迎随时联系我们