tel 400-6027-270
Main Image
Anti-SLC36A1 兔多克隆抗体
¥1900
加入对比
货号: K1345321-100
预测分子量: 52 kDa
观测分子量: 52 kDa
别名: hPAT1,LYAAT1,PAT1,SLC36A1,TRAMD3
应用 | 种属
WB M,R
规格:
产品信息
蛋白质全称 质子偶联氨基酸转运体1
别名 hPAT1,LYAAT1,PAT1,SLC36A1,TRAMD3
Uniprot ID Q8K4D3
免疫原 KLH偶联的小鼠SLC36A1合成肽
抗体亚型 IgG
纯化方式 亲和纯化
预测分子量./观测分子量. 52 kDa / 52 kDa
应用
WB 免疫印迹
物种:小鼠,大鼠
稀释比:1:500-1:1000
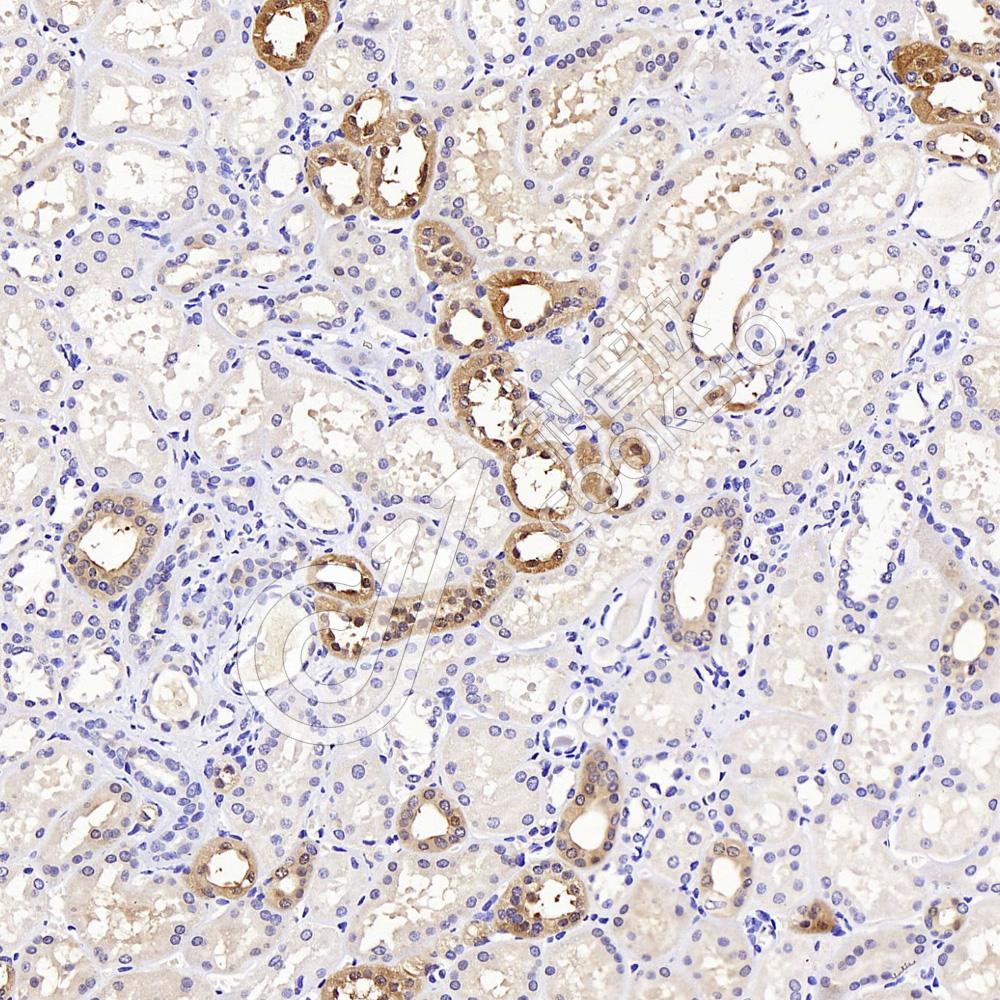
阳性样品:肾
背景
Neutral amino acid/proton symporter. Has a pH-dependent electrogenic transport activity for small amino acids such as glycine, alanine and proline. Besides small apolar L-amino acids, it also recognizes their D-enantiomers and selected amino acid derivatives such as gamma-aminobutyric acid.
储存条件
储存条件:储存条件在:-20℃下储存一年, 避免反复冻融.
储存缓冲液:含0.15% ProClin300防腐剂, 100 μg/mL牛血清白蛋白和50%甘油的磷酸盐缓冲液.
图像
WB检测SLC36A1蛋白(货号 K1345321).
样品: 经RIPA裂解液(货号KSG2002)处理的蛋白质.
封闭: 3%脱脂牛奶(货号KSGC310001)溶于TBST溶液, 室温孵育1小时.
—抗: 1: 500稀释, 4℃ 孵育过夜.
二抗: HRP标记山羊抗兔IgG (H+L) (货号KB69909), 1: 5000稀释, 室温孵育1小时.

需要技术支持?

如果您有任何问题或如果您在实验过程中遇到问题,或需要更详细的技术指导,请联系我们的技术支持团队
电话 400-6027-270

联系我们

如果您对我们的公司或产品有任何疑问,欢迎随时联系我们