tel 400-6027-270
Main Image
Anti-BRF2 兔多克隆抗体
¥1900
加入对比
货号: K1344688-100
预测分子量: 47 kDa
观测分子量: 47 kDa
亚细胞定位: 细胞核
别名: B related factor 2,BRF 2,BRF2,BRFU,hBRFU,hTFIIIB50,TFIIIB50
应用 | 种属
WB H
IHC/IF M
ICC/IF H
规格:
产品信息
蛋白质全称 转录因子IIIB 50kDa亚基
别名 B related factor 2,BRF 2,BRF2,BRFU,hBRFU,hTFIIIB50,TFIIIB50
Uniprot ID Q3UAW9
免疫原 KLH偶联的小鼠BRF2合成肽
抗体亚型 IgG
纯化方式 亲和纯化
亚细胞定位 细胞核
预测分子量./观测分子量. 47 kDa / 47 kDa
应用
WB 免疫印迹
物种:人
稀释比:1:800-1:1500
阳性样品:HeLa细胞, A549细胞
IHC/IF 免疫组织化学/免疫荧光
物种:小鼠
稀释比:1:800-1:2400
阳性样品:结肠
ICC/IF 免疫细胞化学/免疫荧光
物种:人
稀释比:1:100-1:400
阳性样品:—
背景
General activator of RNA polymerase III transcription. Factor exclusively required for RNA polymerase III transcription of genes with promoter elements upstream of the initiation sites. Contributes to the regulation of gene expression; functions as activator in the absence of oxidative stress. Down-regulates expression of target genes in response to oxidative stress. Overexpression protects cells against apoptosis in response to oxidative stress.
储存条件
储存条件:储存条件在:-20℃下储存一年, 避免反复冻融.
储存缓冲液:含0.15% ProClin300防腐剂, 100 μg/mL牛血清白蛋白和50%甘油的磷酸盐缓冲液.
图像
WB检测BRF2蛋白(货号 K1344688).
样品: 经RIPA裂解液(货号KSG2002)处理的蛋白质.
封闭: 3%脱脂牛奶(货号KSGC310001)溶于TBST溶液, 室温孵育1小时.
—抗: 1: 800稀释, 4℃ 孵育过夜.
二抗: HRP标记山羊抗兔IgG (H+L) (货号KB69909), 1: 5000稀释, 室温孵育1小时.
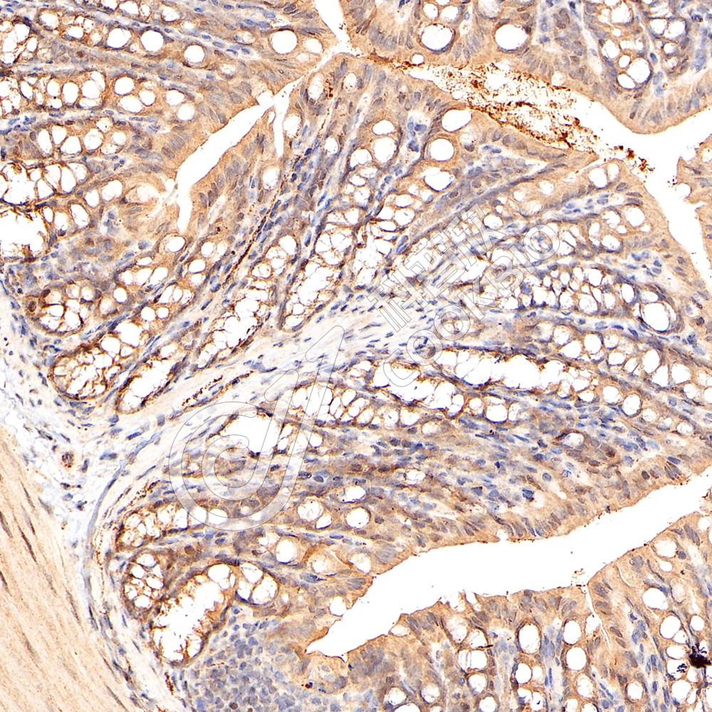
IHC检测BRF2蛋白(货号 K1344688).
样品: 小鼠结肠, 4%多聚甲醛 (货号KSG1101) 固定12-24小时.
抗原修复: Tris-EDTA抗原修复液(pH 9.0) (KSG1203), 98℃, 20分钟.
—抗: 1: 1600稀释, 4℃ 孵育过夜.
二抗: S-vision免疫组化多聚二抗(山羊抗兔),即用型 (货号KB3906), 室温孵育20分钟.
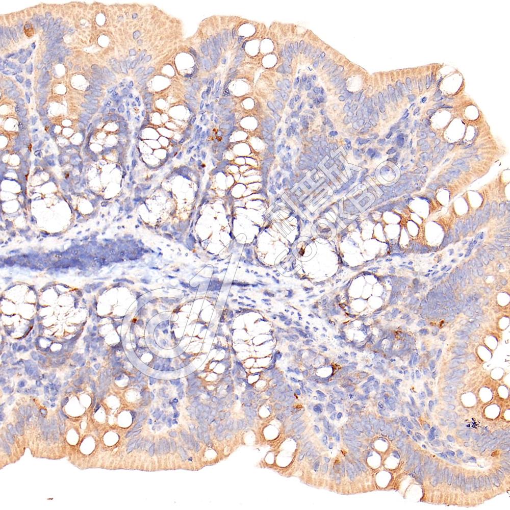
IHC检测BRF2蛋白(货号 K1344688).
样品: 大鼠结肠, 4%多聚甲醛 (货号KSG1101) 固定12-24小时.
抗原修复: Tris-EDTA抗原修复液(pH 9.0) (KSG1203), 98℃, 20分钟.
—抗: 1: 1600稀释, 4℃ 孵育过夜.
二抗: S-vision免疫组化多聚二抗(山羊抗兔),即用型 (货号KB3906), 室温孵育20分钟.

需要技术支持?

如果您有任何问题或如果您在实验过程中遇到问题,或需要更详细的技术指导,请联系我们的技术支持团队
电话 400-6027-270

联系我们

如果您对我们的公司或产品有任何疑问,欢迎随时联系我们