tel 400-6027-270
Main Image
Anti-MIST-1 兔多克隆抗体
¥1900
加入对比
货号: K1343449-100
预测分子量: 22 kDa
观测分子量: 22 kDa
亚细胞定位: 细胞核
别名: BHLHA15,BHLHB8,MIST-1,MIST1
应用 | 种属
WB M,R
IHC/IF M,R
规格:
产品信息
蛋白质全称 碱性螺旋-环-螺旋蛋白15
别名 BHLHA15,BHLHB8,MIST-1,MIST1
Uniprot ID Q9QYC3
免疫原 小鼠BHLHA15重组蛋白
抗体亚型 IgG
纯化方式 亲和纯化
亚细胞定位 细胞核
预测分子量./观测分子量. 22 kDa / 22 kDa
应用
WB 免疫印迹
物种:小鼠,大鼠
稀释比:1:800-1:1200
阳性样品:—
IHC/IF 免疫组织化学/免疫荧光
物种:小鼠,大鼠
稀释比:1:1000-1:2000
阳性样品:胰腺
背景
Plays a role in controlling the transcriptional activity of MyoD, ensuring that expanding myoblast populations remain undifferentiated . Repression may occur through muscle-specific E-box occupancy by homodimers. May also negatively regulate bHLH-mediated transcription through an N-terminal repressor domain. Serves as a key regulator of acinar cell function, stability, and identity. Also required for normal organelle localization in exocrine cells and for mitochondrial calcium ion transport. May function as a unique regulator of gene expression in several different embryonic and postnatal cell lineages. Binds to the E-box consensus sequence 5'-CANNTG-3.
储存条件
储存条件:储存条件在:-20℃下储存一年, 避免反复冻融.
储存缓冲液:含0.15% ProClin300防腐剂, 100 μg/mL牛血清白蛋白和50%甘油的磷酸盐缓冲液.
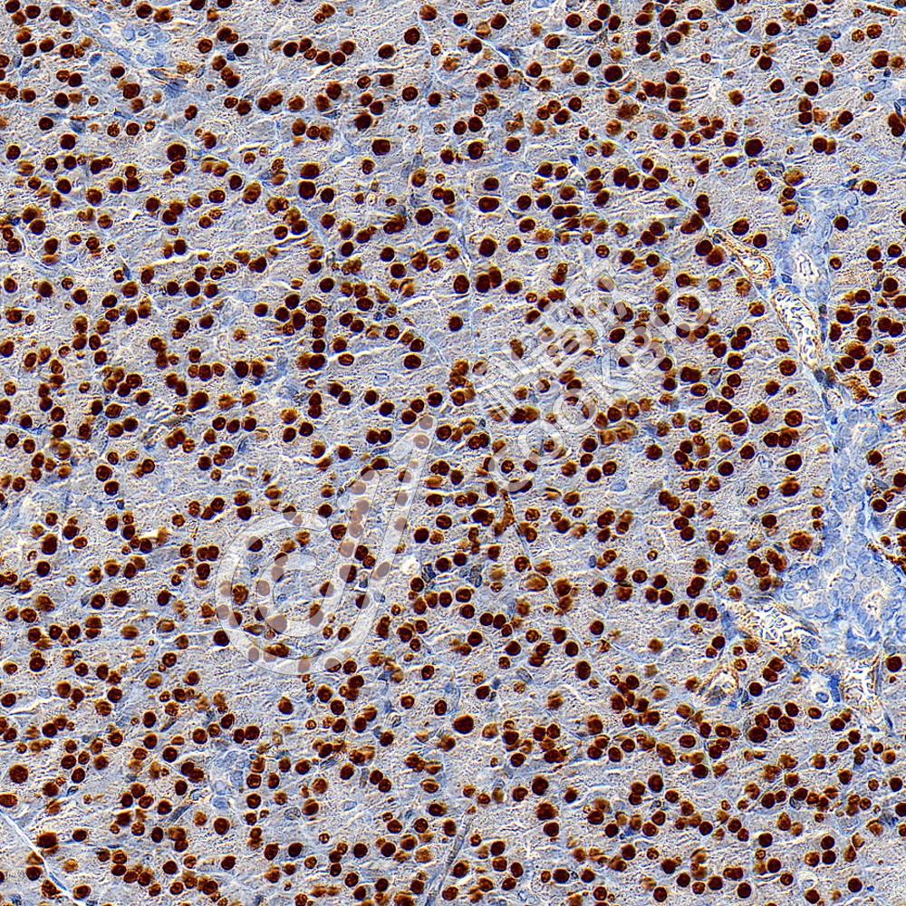
图像
IHC检测MIST-1蛋白(货号 K1343449).
样品: 小鼠胰腺, 4%多聚甲醛 (货号KSG1101) 固定12-24小时.
抗原修复: 柠檬酸抗原修复液(干粉, pH 6.0) (KSG1201), 98℃, 20分钟.
—抗: 1: 1500稀释, 4℃ 孵育过夜.
二抗: S-vision免疫组化多聚二抗(山羊抗兔),即用型 (货号KB3906), 室温孵育20分钟.
IHC检测MIST-1蛋白(货号 K1343449).
样品: 大鼠胰腺, 4%多聚甲醛 (货号KSG1101) 固定12-24小时.
抗原修复: 柠檬酸抗原修复液(干粉, pH 6.0) (KSG1201), 98℃, 20分钟.
—抗: 1: 1500稀释, 4℃ 孵育过夜.
二抗: S-vision免疫组化多聚二抗(山羊抗兔),即用型 (货号KB3906), 室温孵育20分钟.

需要技术支持?

如果您有任何问题或如果您在实验过程中遇到问题,或需要更详细的技术指导,请联系我们的技术支持团队
电话 400-6027-270

联系我们

如果您对我们的公司或产品有任何疑问,欢迎随时联系我们