tel 400-6027-270
Main Image
Anti-VAPA 兔多克隆抗体
¥1900
加入对比
货号: K1343581-100
预测分子量: 28 kDa
观测分子量: 34 kDa
亚细胞定位: 内质网膜, 细胞膜, 细胞连接
别名: 33 kDa VAMP associated protein,hVAP 33,VAMP A,VAMP associated protein A,VAP 33,VAP A,VAP33,VAPA
应用 | 种属
WB H,M,R
IHC/IF H,M,R
规格:
产品信息
蛋白质全称 囊泡相关膜蛋白关联蛋白A
别名 33 kDa VAMP associated protein,hVAP 33,VAMP A,VAMP associated protein A,VAP 33,VAP A,VAP33,VAPA
Uniprot ID Q9WV55
免疫原 小鼠VAPA重组蛋白
抗体亚型 IgG
纯化方式 亲和纯化
亚细胞定位 内质网膜, 细胞膜, 细胞连接
预测分子量./观测分子量. 28 kDa / 34 kDa
应用
WB 免疫印迹
物种:人,小鼠,大鼠
稀释比:1:2000-1:3000
阳性样品:—
IHC/IF 免疫组织化学/免疫荧光
物种:人,小鼠,大鼠
稀释比:1:800-1:2400
阳性样品:结肠癌, 胃
背景
Binds to OSBPL3, which mediates recruitment of VAPA to plasma membrane sites. The ORP3-VAPA complex stimulates RRAS signaling which in turn attenuates integrin beta-1 (ITGB1) activation at the cell surface. With OSBPL3, may regulate ER morphology. May play a role in vesicle trafficking. {ECO:0000250|UniProtKB:Q9P0L0}.
储存条件
储存条件:储存条件在:-20℃下储存一年, 避免反复冻融.
储存缓冲液:含0.15% ProClin300防腐剂, 100 μg/mL牛血清白蛋白和50%甘油的磷酸盐缓冲液.
图像
IHC检测VAPA蛋白(货号 K1343581).
样品: 人结肠癌, 4%多聚甲醛 (货号KSG1101) 固定12-24小时.
抗原修复: 柠檬酸抗原修复液(干粉, pH 6.0) (KSG1201), 98℃, 20分钟.
—抗: 1: 1600稀释, 4℃ 孵育过夜.
二抗: S-vision免疫组化多聚二抗(山羊抗兔),即用型 (货号KB3906), 室温孵育20分钟.
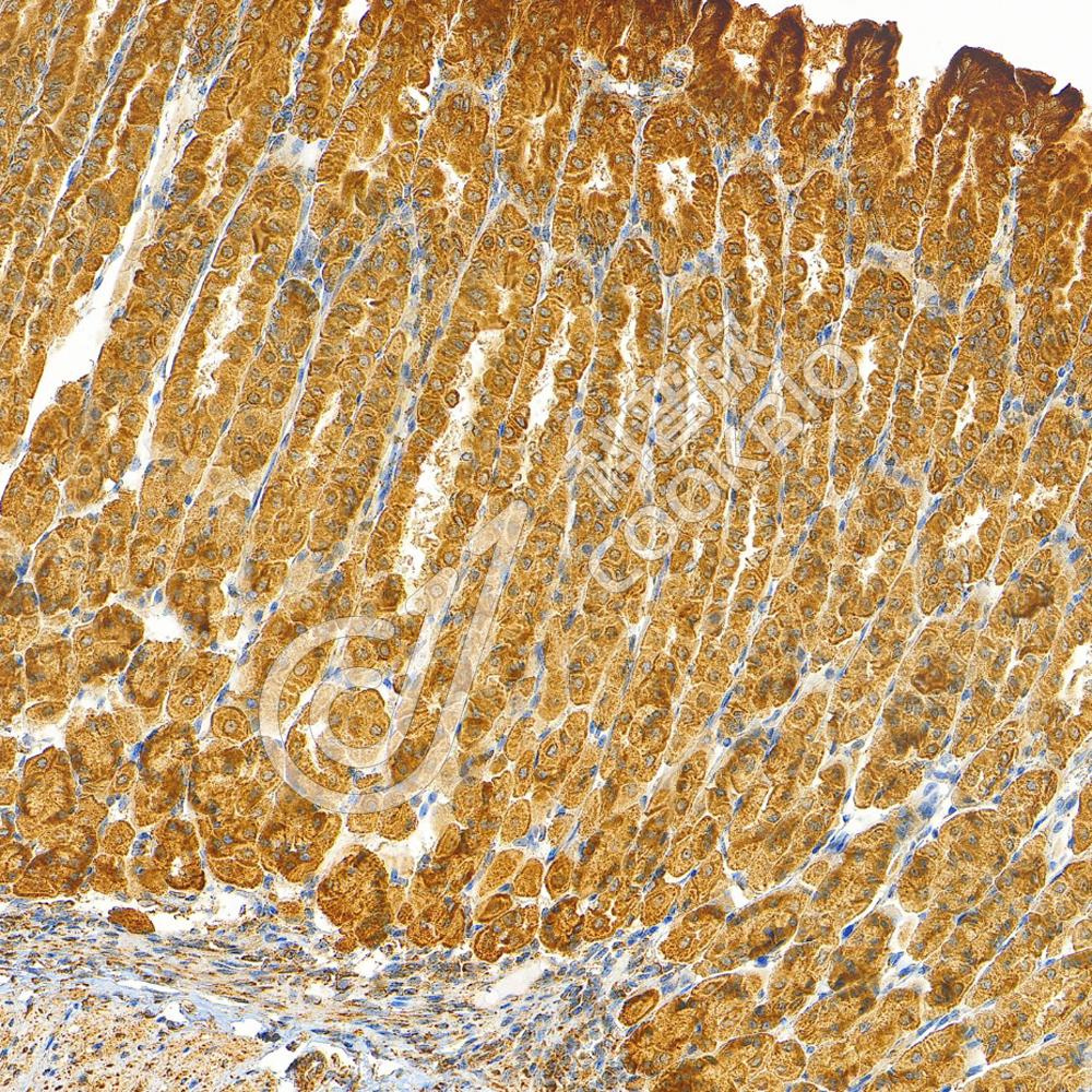
IHC检测VAPA蛋白(货号 K1343581).
样品: 小鼠胃, 4%多聚甲醛 (货号KSG1101) 固定12-24小时.
抗原修复: 柠檬酸抗原修复液(干粉, pH 6.0) (KSG1201), 98℃, 20分钟.
—抗: 1: 1600稀释, 4℃ 孵育过夜.
二抗: S-vision免疫组化多聚二抗(山羊抗兔),即用型 (货号KB3906), 室温孵育20分钟.

需要技术支持?

如果您有任何问题或如果您在实验过程中遇到问题,或需要更详细的技术指导,请联系我们的技术支持团队
电话 400-6027-270

联系我们

如果您对我们的公司或产品有任何疑问,欢迎随时联系我们