tel 400-6027-270
Main Image
Anti-SH3GL3 兔多克隆抗体
¥1900
加入对比
货号: K1344937-100
亚细胞定位: 细胞质
别名: CNSA3,EEN 2B L3,EEN B2,Endophilin 3,Endophilin A3,HsT19371,SH3 domain GRB2 like 3,SH3 domain protein 2C,SH3D2C,SH3P13
应用 | 种属
IHC/IF M
规格:
产品信息
蛋白质全称 内吞蛋白Endophilin-A3
别名 CNSA3,EEN 2B L3,EEN B2,Endophilin 3,Endophilin A3,HsT19371,SH3 domain GRB2 like 3,SH3 domain protein 2C,SH3D2C,SH3P13
Uniprot ID Q62421
免疫原 KLH偶联的小鼠SH3GL3合成肽
抗体亚型 IgG
纯化方式 亲和纯化
亚细胞定位 细胞质
应用
IHC/IF 免疫组织化学/免疫荧光
物种:小鼠
稀释比:1:800-1:2400
阳性样品:睾丸
背景
Implicated in endocytosis. May recruit other proteins to membranes with high curvature.
储存条件
储存条件:储存条件在:-20℃下储存一年, 避免反复冻融.
储存缓冲液:含0.15% ProClin300防腐剂, 100 μg/mL牛血清白蛋白和50%甘油的磷酸盐缓冲液.
图像
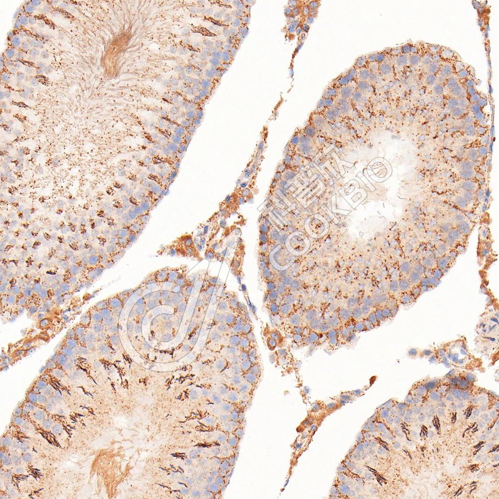
IHC检测SH3GL3蛋白(货号 K1344937).
样品: 小鼠睾丸, 4%多聚甲醛 (货号KSG1101) 固定12-24小时.
抗原修复: Tris-EDTA抗原修复液(pH 9.0) (KSG1203), 98℃, 20分钟.
—抗: 1: 1600稀释, 4℃ 孵育过夜.
二抗: S-vision免疫组化多聚二抗(山羊抗兔),即用型 (货号KB3906), 室温孵育20分钟.
IHC检测SH3GL3蛋白(货号 K1344937).
样品: 大鼠睾丸, 4%多聚甲醛 (货号KSG1101) 固定12-24小时.
抗原修复: Tris-EDTA抗原修复液(pH 9.0) (KSG1203), 98℃, 20分钟.
—抗: 1: 1600稀释, 4℃ 孵育过夜.
二抗: S-vision免疫组化多聚二抗(山羊抗兔),即用型 (货号KB3906), 室温孵育20分钟.

需要技术支持?

如果您有任何问题或如果您在实验过程中遇到问题,或需要更详细的技术指导,请联系我们的技术支持团队
电话 400-6027-270

联系我们

如果您对我们的公司或产品有任何疑问,欢迎随时联系我们