tel 400-6027-270
Main Image
Anti-GOLPH2 兔多克隆抗体
¥1900
加入对比
货号: K1340395-100
亚细胞定位: 高尔基体
别名: golgi protein 73kD,GOLM1,GOLPH2,GP73,Golgi membrane protein GP73,Golgi phosphoprotein 2
应用 | 种属
IHC/IF M
规格:
产品信息
蛋白质全称 高尔基膜蛋白1
别名 golgi protein 73kD,GOLM1,GOLPH2,GP73,Golgi membrane protein GP73,Golgi phosphoprotein 2
Uniprot ID Q91XA2
免疫原 小鼠GOLPH2重组蛋白
抗体亚型 IgG
纯化方式 亲和纯化
亚细胞定位 高尔基体
应用
IHC/IF 免疫组织化学/免疫荧光
物种:小鼠
稀释比:1:3000-1:6000
阳性样品:回肠, 子宫
背景
Golgi phosphoprotein 2 (GOLPH2, also known as GP73 or GOLM1) is a resident Golgi type-II membrane protein. It is predominantly expressed in the epithelial cells of many human tissues. GOLPH2 traffics through endosomes and can be secreted into the circulation. Its expression is upregulated in a number of tumors and GOLPH2 could be a promising serum marker for hepatocellular carcinoma. We got 73 kDa in western blotting due to phosphorylation.
储存条件
储存条件:储存条件在:-20℃下储存一年, 避免反复冻融.
储存缓冲液:含0.15% ProClin300防腐剂, 100 μg/mL牛血清白蛋白和50%甘油的磷酸盐缓冲液.
图像
IHC检测GOLPH2蛋白(货号 K1340395).
样品: 小鼠回肠, 4%多聚甲醛 (货号KSG1101) 固定12-24小时.
抗原修复: 柠檬酸抗原修复液(干粉, pH 6.0) (KSG1201), 98℃, 20分钟.
—抗: 1: 4500稀释, 4℃ 孵育过夜.
二抗: S-vision免疫组化多聚二抗(山羊抗兔),即用型 (货号KB3906), 室温孵育20分钟.
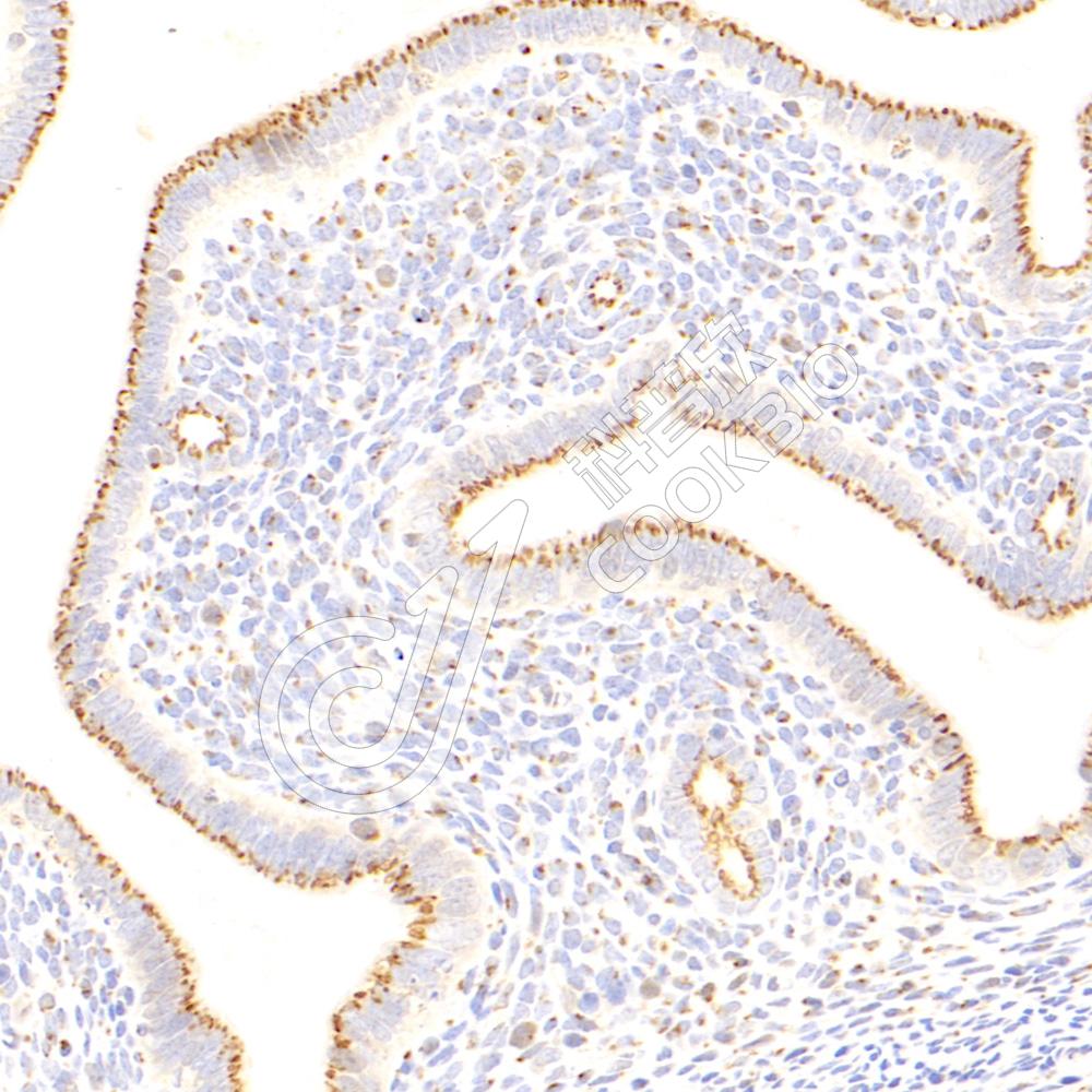
IHC检测GOLPH2蛋白(货号 K1340395).
样品: 小鼠子宫, 4%多聚甲醛 (货号KSG1101) 固定12-24小时.
抗原修复: 柠檬酸抗原修复液(干粉, pH 6.0) (KSG1201), 98℃, 20分钟.
—抗: 1: 4500稀释, 4℃ 孵育过夜.
二抗: S-vision免疫组化多聚二抗(山羊抗兔),即用型 (货号KB3906), 室温孵育20分钟.

需要技术支持?

如果您有任何问题或如果您在实验过程中遇到问题,或需要更详细的技术指导,请联系我们的技术支持团队
电话 400-6027-270

联系我们

如果您对我们的公司或产品有任何疑问,欢迎随时联系我们