tel 400-6027-270
Main Image
Anti-Rab11A 兔多克隆抗体
¥1900
加入对比
货号: K1333315-100
预测分子量: 24 kDa
观测分子量: 24 kDa
别名: Rab-11,Rab11a,Rab11,member oncogene family,Ras related protein Rab 11A
应用 | 种属
WB H,M,R
规格:
产品信息
蛋白质全称 Ras相关蛋白Rab-11A
别名 Rab-11,Rab11a,Rab11,member oncogene family,Ras related protein Rab 11A
Uniprot ID P62492
免疫原 KLH偶联的小鼠Rab11A合成肽
抗体亚型 IgG
纯化方式 亲和纯化
预测分子量./观测分子量. 24 kDa / 24 kDa
应用
WB 免疫印迹
物种:人,小鼠,大鼠
稀释比:1:500-1:1000
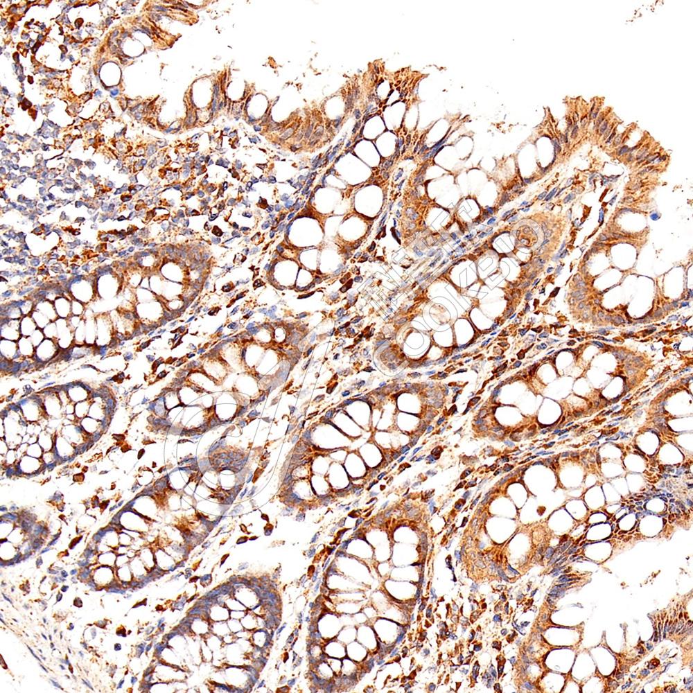
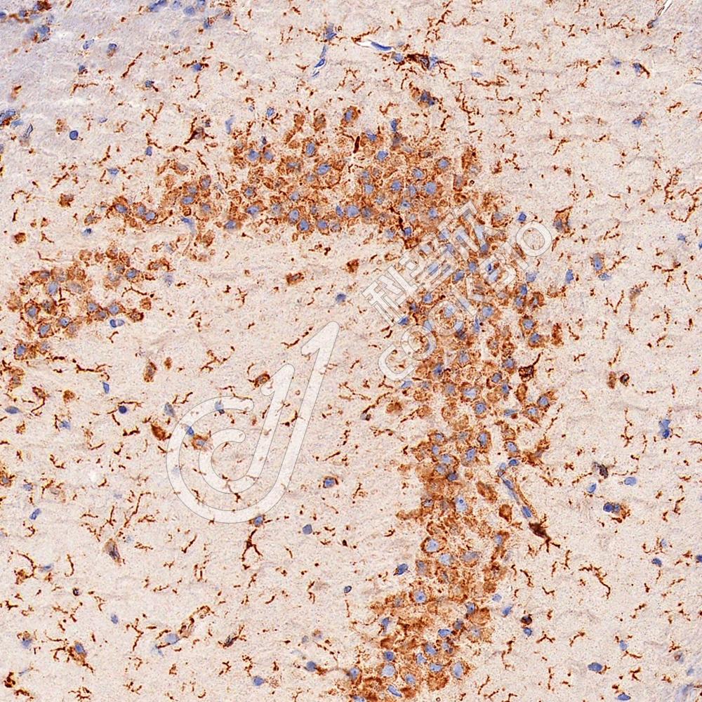
阳性样品:脾
背景
RAB11 has two isoform genes RAB11A(YL8) and RAB11B(YPT3), and belongs to the small GTPase super family and Rab family. It regulates endocytic recycling. RAB11 may exert its functions by interacting with multiple effector proteins in different complexes. It acts as a major regulator of membrane delivery during cytokinesis. RAB11 regulates the recycling of FCGRT (receptor of Fc region of monomeric Ig G) to basolateral membranes. This antibody can recognize both RAB11A(24 kDa) and RAB11B(24 kDa).
储存条件
储存条件:储存条件在:-20℃下储存一年, 避免反复冻融.
储存缓冲液:含0.15% ProClin300防腐剂, 100 μg/mL牛血清白蛋白和50%甘油的磷酸盐缓冲液.
图像
WB检测Rab11A蛋白(货号 K1333315).
样品: 经RIPA裂解液(货号KSG2002)处理的蛋白质.
封闭: 3%脱脂牛奶(货号KSGC310001)溶于TBST溶液, 室温孵育1小时.
—抗: 1: 1000稀释, 4℃ 孵育过夜.
二抗: HRP标记山羊抗兔IgG (H+L) (货号KB69909), 1: 5000稀释, 室温孵育1小时.

需要技术支持?

如果您有任何问题或如果您在实验过程中遇到问题,或需要更详细的技术指导,请联系我们的技术支持团队
电话 400-6027-270

联系我们

如果您对我们的公司或产品有任何疑问,欢迎随时联系我们