tel 400-6027-270
Main Image
Anti-RHOU 兔多克隆抗体
¥1900
加入对比
货号: K1346041-100
亚细胞定位: 细胞膜, 细胞连接
别名: WRCH-1,Ryu GTPase,CDC42-like GTPase 1,SB128,ARHU,CDC42L1,G28K,WRCH1
应用 | 种属
IHC/IF H
规格:
产品信息
蛋白质全称 Rho相关GTP结合蛋白RhoU
别名 WRCH-1,Ryu GTPase,CDC42-like GTPase 1,SB128,ARHU,CDC42L1,G28K,WRCH1
Uniprot ID Q9EQT3
免疫原 KLH偶联的小鼠RHOU合成肽
抗体亚型 IgG
纯化方式 亲和纯化
亚细胞定位 细胞膜, 细胞连接
应用
IHC/IF 免疫组织化学/免疫荧光
物种:人
稀释比:1:500-1:1500
阳性样品:结肠
背景
Acts upstream of PAK1 to regulate the actin cytoskeleton, adhesion turnover and increase cell migration. Stimulates quiescent cells to reenter the cell cycle. Has no detectable GTPase activity but its high intrinsic guanine nucleotide exchange activity suggests it is constitutively GTP-bound. Plays a role in the regulation of cell morphology and cytoskeletal organization. Required in the control of cell shape.
储存条件
储存条件:储存条件在:-20℃下储存一年, 避免反复冻融.
储存缓冲液:含0.15% ProClin300防腐剂, 100 μg/mL牛血清白蛋白和50%甘油的磷酸盐缓冲液.
图像
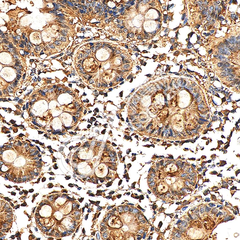
IHC检测RHOU蛋白(货号 K1346041).
样品: 人结肠, 4%多聚甲醛 (货号KSG1101) 固定12-24小时.
抗原修复: Tris-EDTA抗原修复液(pH 9.0) (KSG1203), 98℃, 20分钟.
—抗: 1: 1000稀释, 4℃ 孵育过夜.
二抗: S-vision免疫组化多聚二抗(山羊抗兔),即用型 (货号KB3906), 室温孵育20分钟.
IHC检测RHOU蛋白(货号 K1346041).
样品: 人结肠, 4%多聚甲醛 (货号KSG1101) 固定12-24小时.
抗原修复: Tris-EDTA抗原修复液(pH 9.0) (KSG1203), 98℃, 20分钟.
—抗: 1: 1000稀释, 4℃ 孵育过夜.
二抗: S-vision免疫组化多聚二抗(山羊抗兔),即用型 (货号KB3906), 室温孵育20分钟.

需要技术支持?

如果您有任何问题或如果您在实验过程中遇到问题,或需要更详细的技术指导,请联系我们的技术支持团队
电话 400-6027-270

联系我们

如果您对我们的公司或产品有任何疑问,欢迎随时联系我们