tel 400-6027-270
Main Image
Anti-SRGAP1 兔多克隆抗体
¥1900
加入对比
货号: K1340242-100
预测分子量: 121 kDa
观测分子量: 121 kDa
亚细胞定位: 细胞质
别名: ARHGAP13,KIAA1304,SRGAP1,Rho GTPase-activating protein 13
应用 | 种属
WB H
IHC/IF H
规格:
产品信息
蛋白质全称 SLIT-ROBO Rho GTP酶激活蛋白1
别名 ARHGAP13,KIAA1304,SRGAP1,Rho GTPase-activating protein 13
Uniprot ID Q91Z69
免疫原 小鼠SRGAP1重组蛋白
抗体亚型 IgG
纯化方式 亲和纯化
亚细胞定位 细胞质
预测分子量./观测分子量. 121 kDa / 121 kDa
应用
WB 免疫印迹
物种:人
稀释比:1:500-1:1000
阳性样品:—
IHC/IF 免疫组织化学/免疫荧光
物种:人
稀释比:1:300-1:600
阳性样品:食管癌, 肺癌
背景
SRGAP1 (Slit-robo Rho GTPase activating protein 1), also known as ARHGAP13 (Rho GTPase activating protein 13), functions as a GTPase-activating protein for Cdc42 and Rho A. Expressed in kidney, testis, lung and brain, SRGAP1 contains an FCH (Fes/CIP4 homology) domain, a Rho-GAP domain and an SH3 domain. In the presence of Slit, SRGAP1 (via its SH3 domain) binds to the CC3 motif in robo (a protein responsible for mediating the repulsive effect of Slit) with higher affinity and inhibits Cdc42 activity in a robo/SRGAP-dependent manner.
储存条件
储存条件:储存条件在:-20℃下储存一年, 避免反复冻融.
储存缓冲液:含0.15% ProClin300防腐剂, 100 μg/mL牛血清白蛋白和50%甘油的磷酸盐缓冲液.
图像
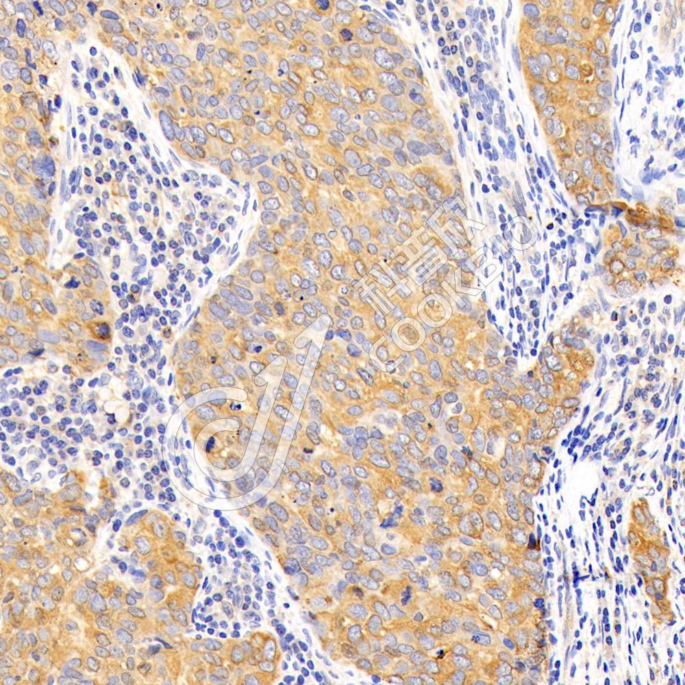
IHC检测SRGAP1蛋白(货号 K1340242).
样品: 人食管癌, 4%多聚甲醛 (货号KSG1101) 固定12-24小时.
抗原修复: 柠檬酸抗原修复液(干粉, pH 6.0) (KSG1201), 98℃, 20分钟.
—抗: 1: 500稀释, 4℃ 孵育过夜.
二抗: S-vision免疫组化多聚二抗(山羊抗兔),即用型 (货号KB3906), 室温孵育20分钟.
IHC检测SRGAP1蛋白(货号 K1340242).
样品: 人肺癌, 4%多聚甲醛 (货号KSG1101) 固定12-24小时.
抗原修复: 柠檬酸抗原修复液(干粉, pH 6.0) (KSG1201), 98℃, 20分钟.
—抗: 1: 500稀释, 4℃ 孵育过夜.
二抗: S-vision免疫组化多聚二抗(山羊抗兔),即用型 (货号KB3906), 室温孵育20分钟.

需要技术支持?

如果您有任何问题或如果您在实验过程中遇到问题,或需要更详细的技术指导,请联系我们的技术支持团队
电话 400-6027-270

联系我们

如果您对我们的公司或产品有任何疑问,欢迎随时联系我们