tel 400-6027-270
Main Image
Anti-LITAF 兔多克隆抗体
¥1900
加入对比
货号: K1338970-100
预测分子量: 17 kDa
观测分子量: 24 kDa
亚细胞定位: 细胞膜, 细胞质, 细胞核
别名: LPS-induced TNF-alpha factor homolog,Estrogen-enhanced transcript protein,mEET,LITAF-like protein,NEDD4 WW domain-binding protein 3,Litaf,N4wbp3,Tbx1
应用 | 种属
WB H,M,R
IHC/IF M,R
规格:
产品信息
蛋白质全称 脂多糖诱导TNFα因子同源物
别名 LPS-induced TNF-alpha factor homolog,Estrogen-enhanced transcript protein,mEET,LITAF-like protein,NEDD4 WW domain-binding protein 3,Litaf,N4wbp3,Tbx1
Uniprot ID Q9JLJ0
免疫原 KLH偶联的小鼠LITAF合成肽
抗体亚型 IgG
纯化方式 亲和纯化
亚细胞定位 细胞膜, 细胞质, 细胞核
预测分子量./观测分子量. 17 kDa / 24 kDa
应用
WB 免疫印迹
物种:人,小鼠,大鼠
稀释比:1:1000-1:2000
阳性样品:—
IHC/IF 免疫组织化学/免疫荧光
物种:小鼠,大鼠
稀释比:1:4800-1:9600
阳性样品:脾
背景
Lipopolysaccharide-induced TNF factor(LITAF) is a transcription factor that identified as a regulator of TNF-alpha gene expression. It may has a role in protein degradation pathways and in tumor necrosis factor alpha(TNF-alpha) gene expression. Also it may regulate the expression of the CCL2/MCP-1 chemokine through NFKB1.Defects in LITAF may be involved in extramammary Paget disease (EMPD) carcinogenesis.
储存条件
储存条件:储存条件在:-20℃下储存一年, 避免反复冻融.
储存缓冲液:含0.15% ProClin300防腐剂, 100 μg/mL牛血清白蛋白和50%甘油的磷酸盐缓冲液.
图像
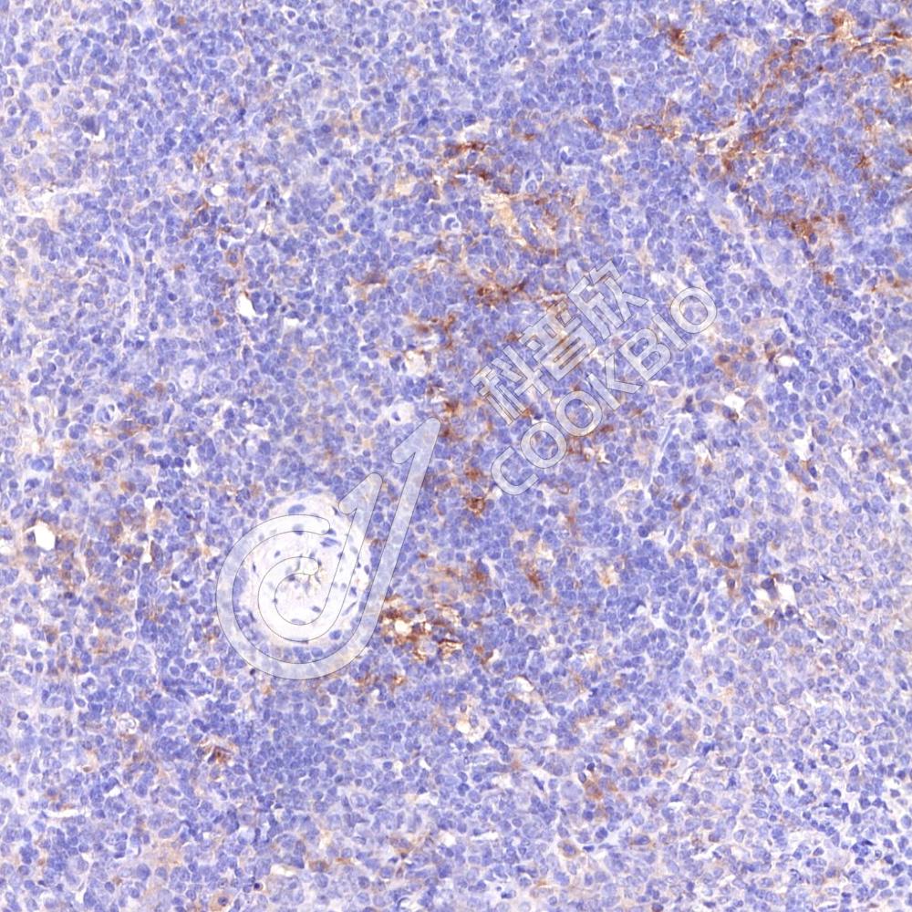
IHC检测LITAF蛋白(货号 K1338970).
样品: 小鼠脾, 4%多聚甲醛 (货号KSG1101) 固定12-24小时.
抗原修复: 柠檬酸抗原修复液(干粉, pH 6.0) (KSG1201), 98℃, 20分钟.
—抗: 1: 7200稀释, 4℃ 孵育过夜.
二抗: S-vision免疫组化多聚二抗(山羊抗兔),即用型 (货号KB3906), 室温孵育20分钟.
IHC检测LITAF蛋白(货号 K1338970).
样品: 大鼠脾, 4%多聚甲醛 (货号KSG1101) 固定12-24小时.
抗原修复: 柠檬酸抗原修复液(干粉, pH 6.0) (KSG1201), 98℃, 20分钟.
—抗: 1: 7200稀释, 4℃ 孵育过夜.
二抗: S-vision免疫组化多聚二抗(山羊抗兔),即用型 (货号KB3906), 室温孵育20分钟.
IF检测LITAF蛋白(货号 K1338970)(红色).
样品: 小鼠脾, 4%多聚甲醛 (货号KSG1101) 固定12-24小时.
抗原修复: Tris-EDTA抗原修复液(pH 9.0) (KSG1203), 98℃, 20分钟.
封闭: 3% BSA(货号KSGC305010)的PBS溶液, 室温孵育30分钟.
—抗: 1: 7200稀释, 4℃ 孵育过夜.
二抗: Cy3标记山羊抗兔IgG (H+L) (货号KB63909), 1: 300稀释, 室温孵育1小时.

需要技术支持?

如果您有任何问题或如果您在实验过程中遇到问题,或需要更详细的技术指导,请联系我们的技术支持团队
电话 400-6027-270

联系我们

如果您对我们的公司或产品有任何疑问,欢迎随时联系我们