tel 400-6027-270
Main Image
Anti-KHDRBS3 兔多克隆抗体
¥1900
加入对比
货号: K1342309-100
亚细胞定位: 细胞核
别名: Etle,etoile,KHDRBS3,RNA binding protein T Star,SALP,Sam68 like mammalian protein 2,SLM 2,SLM2,T STAR,TSTAR
应用 | 种属
IHC/IF H,M,R
规格:
产品信息
蛋白质全称 KH结构域RNA结合信号转导相关蛋白3
别名 Etle,etoile,KHDRBS3,RNA binding protein T Star,SALP,Sam68 like mammalian protein 2,SLM 2,SLM2,T STAR,TSTAR
Uniprot ID Q9R226
免疫原 小鼠KHDRBS3重组蛋白
抗体亚型 IgG
纯化方式 亲和纯化
亚细胞定位 细胞核
应用
IHC/IF 免疫组织化学/免疫荧光
物种:人,小鼠,大鼠
稀释比:1:500-1:1000
阳性样品:脑, 肾
背景
RNA-binding protein that plays a role in the regulation of alternative splicing and influences mRNA splice site selection and exon inclusion. Binds preferentially to the 5'-[AU]UAAA-3' motif in vitro . Binds optimally to RNA containing 5'-[AU]UAA-3' as a bipartite motif spaced by more than 15 nucleotides (By similarity). Binds poly(A). RNA-binding abilities are down-regulated by tyrosine kinase PTK6 . Involved in splice site selection of vascular endothelial growth factor (By similarity).
储存条件
储存条件:储存条件在:-20℃下储存一年, 避免反复冻融.
储存缓冲液:含0.15% ProClin300防腐剂, 100 μg/mL牛血清白蛋白和50%甘油的磷酸盐缓冲液.
图像
IHC检测KHDRBS3蛋白(货号 K1342309).
样品: 人肾, 4%多聚甲醛 (货号KSG1101) 固定12-24小时.
抗原修复: 柠檬酸抗原修复液(干粉, pH 6.0) (KSG1201), 98℃, 20分钟.
—抗: 1: 800稀释, 4℃ 孵育过夜.
二抗: S-vision免疫组化多聚二抗(山羊抗兔),即用型 (货号KB3906), 室温孵育20分钟.
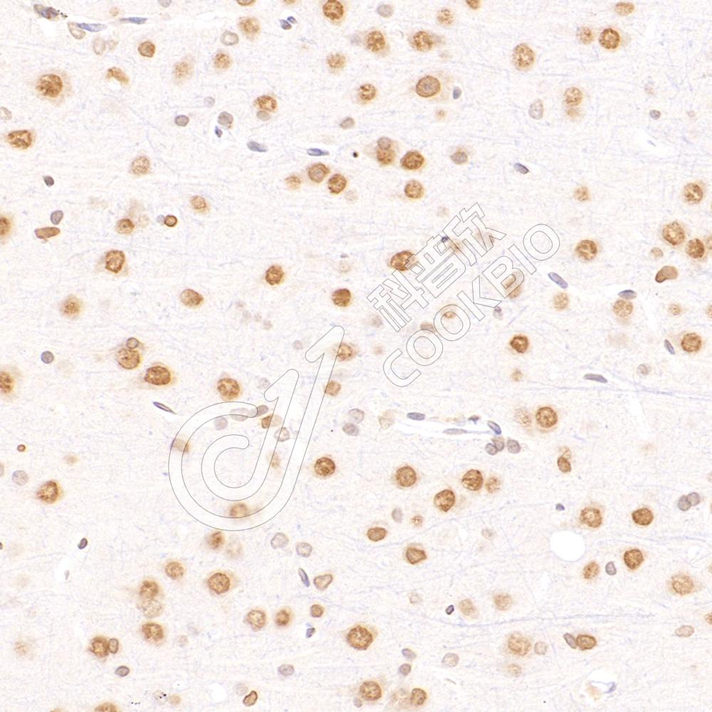
IHC检测KHDRBS3蛋白(货号 K1342309).
样品: 小鼠脑, 4%多聚甲醛 (货号KSG1101) 固定12-24小时.
抗原修复: 柠檬酸抗原修复液(干粉, pH 6.0) (KSG1201), 98℃, 20分钟.
—抗: 1: 800稀释, 4℃ 孵育过夜.
二抗: S-vision免疫组化多聚二抗(山羊抗兔),即用型 (货号KB3906), 室温孵育20分钟.
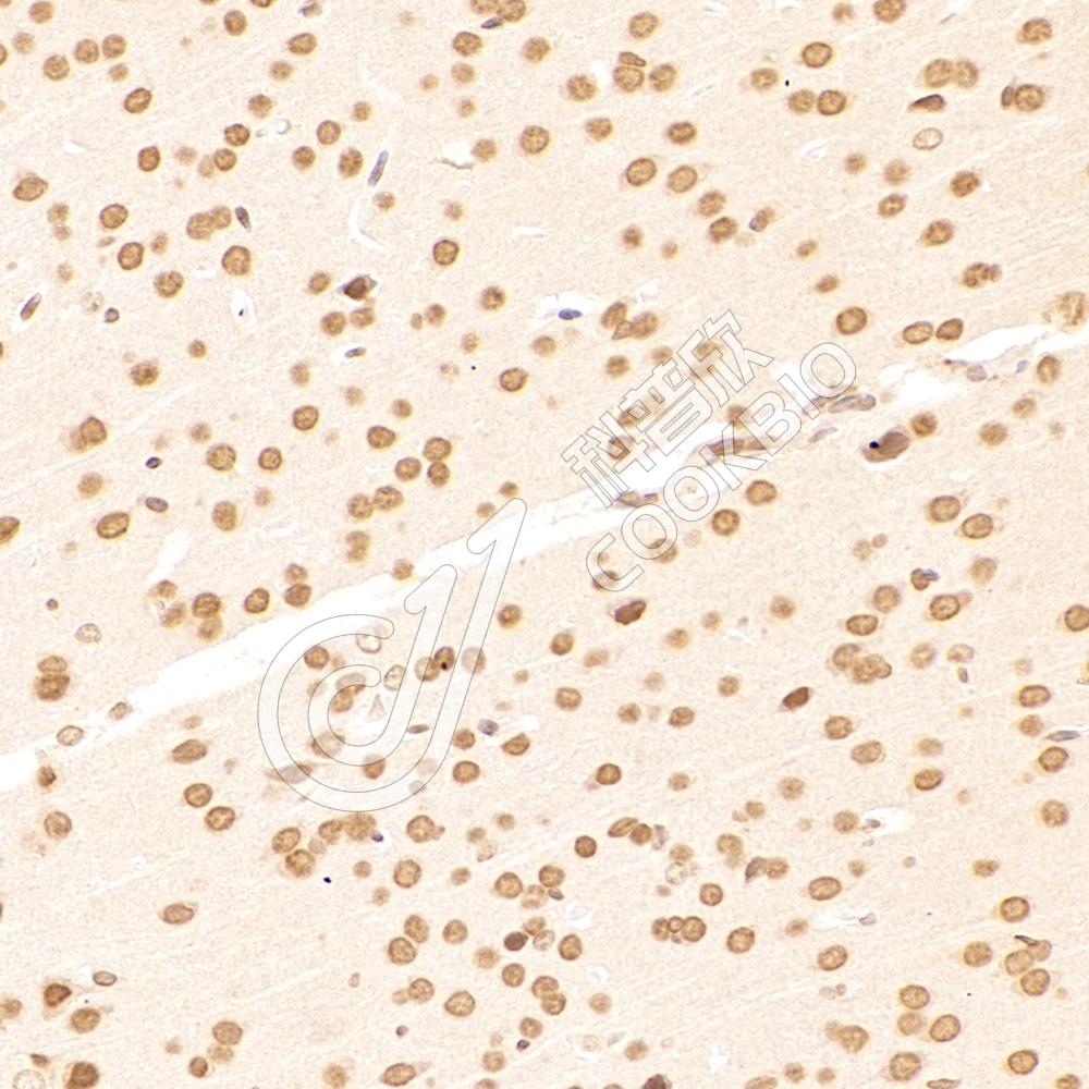
IHC检测KHDRBS3蛋白(货号 K1342309).
样品: 大鼠脑, 4%多聚甲醛 (货号KSG1101) 固定12-24小时.
抗原修复: 柠檬酸抗原修复液(干粉, pH 6.0) (KSG1201), 98℃, 20分钟.
—抗: 1: 800稀释, 4℃ 孵育过夜.
二抗: S-vision免疫组化多聚二抗(山羊抗兔),即用型 (货号KB3906), 室温孵育20分钟.

需要技术支持?

如果您有任何问题或如果您在实验过程中遇到问题,或需要更详细的技术指导,请联系我们的技术支持团队
电话 400-6027-270

联系我们

如果您对我们的公司或产品有任何疑问,欢迎随时联系我们