tel 400-6027-270
Main Image
Anti-ACADL/LCAD 兔多克隆抗体
¥1900
加入对比
货号: K1342132-100
预测分子量: 48 kDa
观测分子量: 48 kDa
亚细胞定位: 线粒体
别名: ACAD4,LCAD,ACADL,Acyl-CoA dehydrogenase long chain,Acyl Coenzyme A dehydrogenase long chain
应用 | 种属
WB M,R
IHC/IF M,R
规格:
产品信息
蛋白质全称 线粒体长链特异性酰基辅酶A脱氢酶
别名 ACAD4,LCAD,ACADL,Acyl-CoA dehydrogenase long chain,Acyl Coenzyme A dehydrogenase long chain
Uniprot ID P51174
免疫原 KLH偶联的小鼠ACADL/LCAD合成肽
抗体亚型 IgG
纯化方式 亲和纯化
亚细胞定位 线粒体
预测分子量./观测分子量. 48 kDa / 48 kDa
应用
WB 免疫印迹
物种:小鼠,大鼠
稀释比:1:3000-1:6000
阳性样品:心
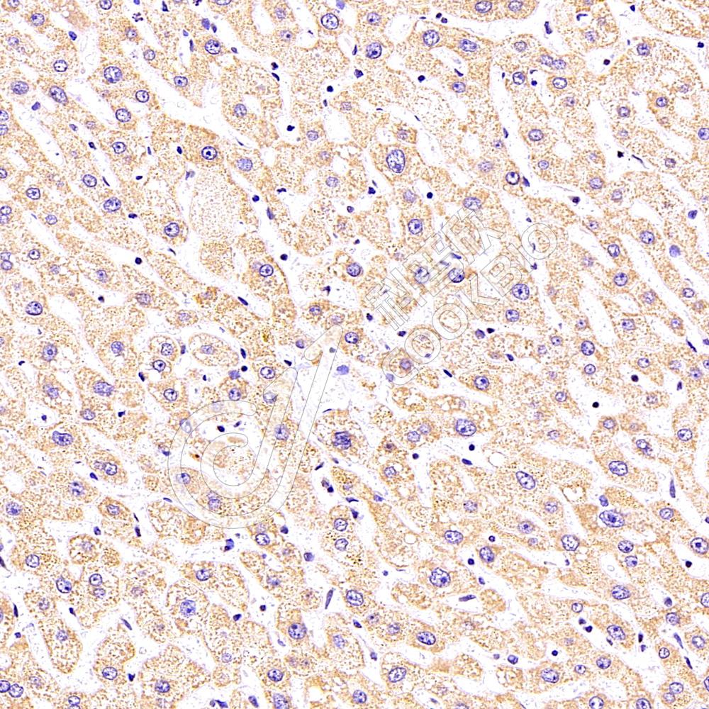
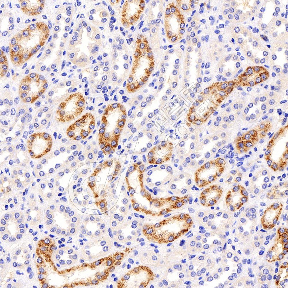
IHC/IF 免疫组织化学/免疫荧光
物种:小鼠,大鼠
稀释比:1:500-1:1000
阳性样品:肾
背景
The protein encoded by this gene belongs to the acyl-CoA dehydrogenase family, which is a family of mitochondrial flavoenzymes involved in fatty acid and branched chain amino-acid metabolism. This protein is one of the four enzymes that catalyze the initial step of mitochondrial beta-oxidation of straight-chain fatty acid. Defects in this gene are the cause of long-chain acyl-CoA dehydrogenase (LCAD) deficiency, leading to nonketotic hypoglycemia.
储存条件
储存条件:储存条件在:-20℃下储存一年, 避免反复冻融.
储存缓冲液:含0.15% ProClin300防腐剂, 100 μg/mL牛血清白蛋白和50%甘油的磷酸盐缓冲液.
图像
WB检测ACADL/LCAD蛋白(货号 K1342132).
样品: 经RIPA裂解液(货号KSG2002)处理的蛋白质.
封闭: 3%脱脂牛奶(货号KSGC310001)溶于TBST溶液, 室温孵育1小时.
—抗: 1: 3000稀释, 4℃ 孵育过夜.
二抗: HRP标记山羊抗兔IgG (H+L) (货号KB69909), 1: 5000稀释, 室温孵育1小时.
IF检测ACADL/LCAD蛋白(货号 K1342132)(红色).
样品: 小鼠肾, 4%多聚甲醛 (货号KSG1101) 固定12-24小时.
抗原修复: Tris-EDTA抗原修复液(pH 9.0) (KSG1203), 98℃, 20分钟.
封闭: 3% BSA(货号KSGC305010)的PBS溶液, 室温孵育30分钟.
—抗: 1: 800稀释, 4℃ 孵育过夜.
二抗: Cy3标记山羊抗兔IgG (H+L) (货号KB63909), 1: 300稀释, 室温孵育1小时.
IF检测ACADL/LCAD蛋白(货号 K1342132)(红色).
样品: 大鼠肾, 4%多聚甲醛 (货号KSG1101) 固定12-24小时.
抗原修复: Tris-EDTA抗原修复液(pH 9.0) (KSG1203), 98℃, 20分钟.
封闭: 3% BSA(货号KSGC305010)的PBS溶液, 室温孵育30分钟.
—抗: 1: 800稀释, 4℃ 孵育过夜.
二抗: Cy3标记山羊抗兔IgG (H+L) (货号KB63909), 1: 300稀释, 室温孵育1小时.

需要技术支持?

如果您有任何问题或如果您在实验过程中遇到问题,或需要更详细的技术指导,请联系我们的技术支持团队
电话 400-6027-270

联系我们

如果您对我们的公司或产品有任何疑问,欢迎随时联系我们