tel 400-6027-270
Main Image
Anti-DCI 兔多克隆抗体
¥1900
加入对比
货号: K1339258-100
预测分子量: 32 kDa
观测分子量: 32 kDa
亚细胞定位: 线粒体
别名: 3,2-trans-enoyl-CoA isomerase,D3,D2-enoyl-CoA isomerase,Dodecenoyl-CoA isomerase,DCI,ECI1
应用 | 种属
WB M,R
IHC/IF H
ICC/IF M
规格:
产品信息
蛋白质全称 线粒体烯酰辅酶Aδ异构酶1
别名 3,2-trans-enoyl-CoA isomerase,D3,D2-enoyl-CoA isomerase,Dodecenoyl-CoA isomerase,DCI,ECI1
Uniprot ID P42125
免疫原 KLH偶联的小鼠DCI合成肽
抗体亚型 IgG
纯化方式 亲和纯化
亚细胞定位 线粒体
预测分子量./观测分子量. 32 kDa / 32 kDa
应用
WB 免疫印迹
物种:小鼠,大鼠
稀释比:1:800-1:1600
阳性样品:Jurkat细胞
IHC/IF 免疫组织化学/免疫荧光
物种:人
稀释比:1:1800-1:3600
阳性样品:胃癌, 肺癌
ICC/IF 免疫细胞化学/免疫荧光
物种:小鼠
稀释比:1:50-1:100
阳性样品:—
背景
ECI1(enoyl-CoA delta isomerase 1, mitochondrial) is also named as DCI(dodecenoyl-CoA isomerase) and belongs to the enoyl-CoA hydratase/isomerase family. It is able to isomerize both 3-cis and 3-trans double bonds into the 2-trans form in a range of enoyl-CoA species. The full length protein has a transit peptide and 2 isoforms produced by alternative splicing and can exsit as a homotramer.
储存条件
储存条件:储存条件在:-20℃下储存一年, 避免反复冻融.
储存缓冲液:含0.15% ProClin300防腐剂, 100 μg/mL牛血清白蛋白和50%甘油的磷酸盐缓冲液.
图像
WB检测DCI蛋白(货号 K1339258).
样品: 经RIPA裂解液(货号KSG2002)处理的蛋白质.
封闭: 3%脱脂牛奶(货号KSGC310001)溶于TBST溶液, 室温孵育1小时.
—抗: 1: 800稀释, 4℃ 孵育过夜.
二抗: HRP标记山羊抗兔IgG (H+L) (货号KB69909), 1: 5000稀释, 室温孵育1小时.
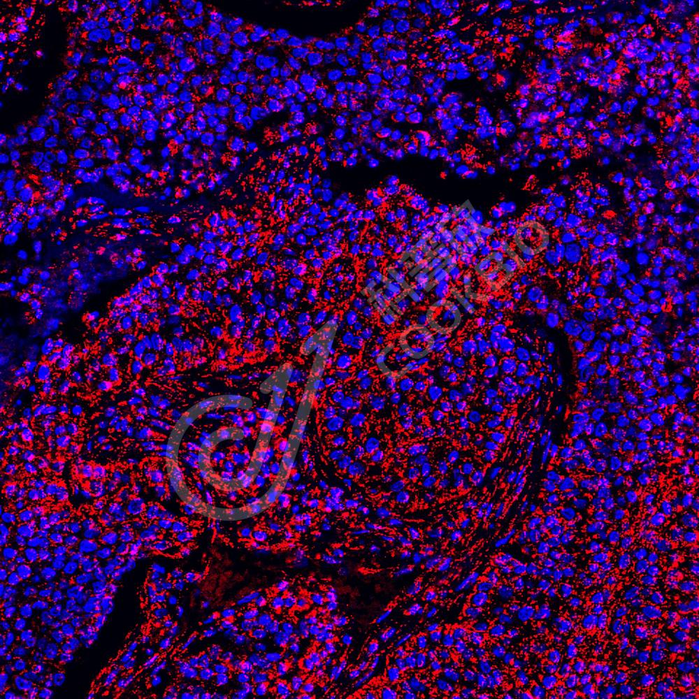
IF检测DCI蛋白(货号 K1339258)(红色).
样品: 人胃癌, 4%多聚甲醛 (货号KSG1101) 固定12-24小时.
抗原修复: Tris-EDTA抗原修复液(pH 9.0) (KSG1203), 98℃, 20分钟.
封闭: 3% BSA(货号KSGC305010)的PBS溶液, 室温孵育30分钟.
—抗: 1: 2700稀释, 4℃ 孵育过夜.
二抗: Cy3标记山羊抗兔IgG (H+L) (货号KB63909), 1: 300稀释, 室温孵育1小时.
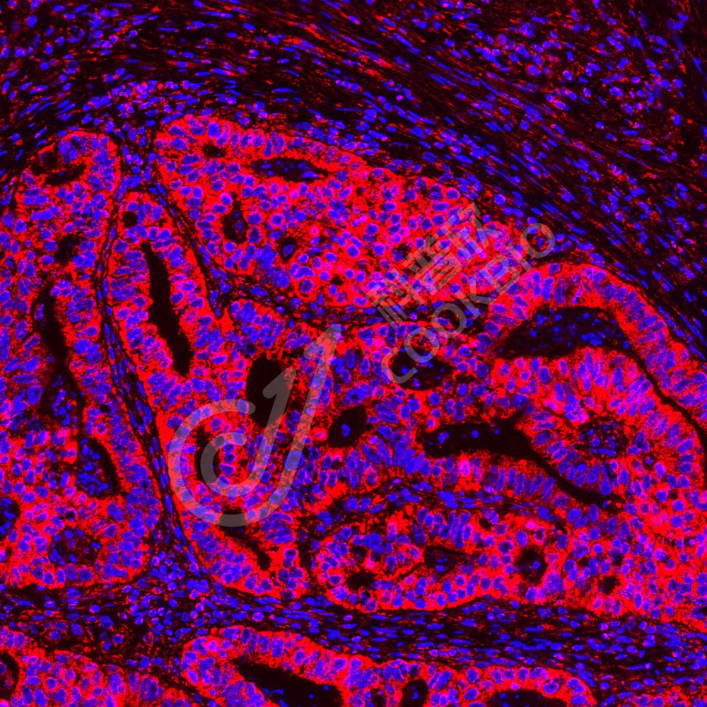
IF检测DCI蛋白(货号 K1339258)(红色).
样品: 人肺癌, 4%多聚甲醛 (货号KSG1101) 固定12-24小时.
抗原修复: Tris-EDTA抗原修复液(pH 9.0) (KSG1203), 98℃, 20分钟.
封闭: 3% BSA(货号KSGC305010)的PBS溶液, 室温孵育30分钟.
—抗: 1: 2700稀释, 4℃ 孵育过夜.
二抗: Cy3标记山羊抗兔IgG (H+L) (货号KB63909), 1: 300稀释, 室温孵育1小时.

需要技术支持?

如果您有任何问题或如果您在实验过程中遇到问题,或需要更详细的技术指导,请联系我们的技术支持团队
电话 400-6027-270

联系我们

如果您对我们的公司或产品有任何疑问,欢迎随时联系我们