tel 400-6027-270
Main Image
Anti-Leptin 兔多克隆抗体
¥1900
加入对比
货号: K1338772-100
预测分子量: 19 kDa
观测分子量: 19 kDa
别名: LEPD,leptin,LEP,leptin,OB,Obese protein,Obesity factor,OBS
应用 | 种属
WB H,M,R
规格:
产品信息
蛋白质全称 瘦素
别名 LEPD,leptin,LEP,leptin,OB,Obese protein,Obesity factor,OBS
Uniprot ID P41159
免疫原 人Leptin重组蛋白
抗体亚型 IgG
纯化方式 亲和纯化
预测分子量./观测分子量. 19 kDa / 19 kDa
应用
WB 免疫印迹
物种:人,小鼠,大鼠
稀释比:1:500-1:1000
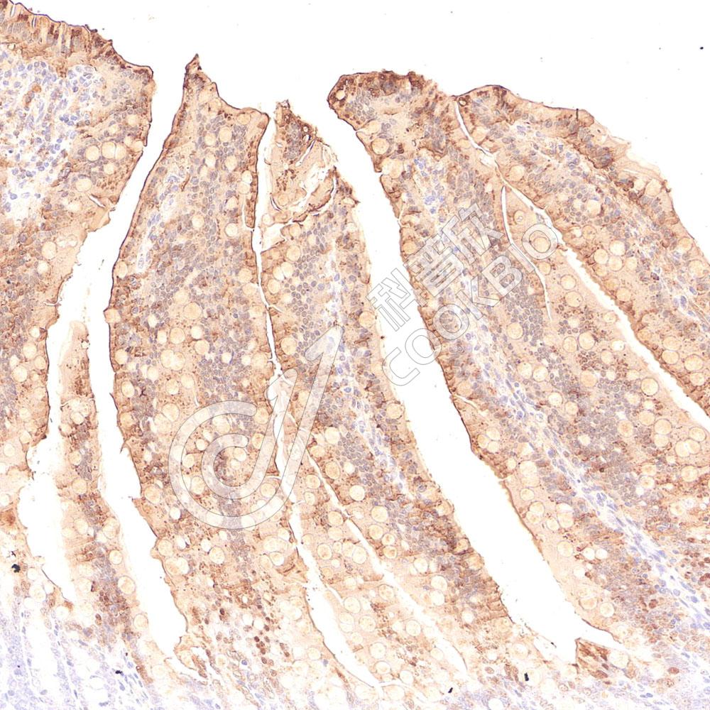
阳性样品:睾丸, 结肠
背景
The protein is secreted by white adipocytes, and which plays a major role in the regulation of body weight. This protein, which acts through the leptin receptor, functions as part of a signaling pathway that can inhibit food intake and/or regulate energy expenditure to maintain constancy of the adipose mass. This protein also has several endocrine functions, and is involved in the regulation of immune and inflammatory responses, hematopoiesis, angiogenesis and wound healing. Mutations in this gene and/or its regulatory regions cause severe obesity, and morbid obesity with hypogonadism.
储存条件
储存条件:储存条件在:-20℃下储存一年, 避免反复冻融.
储存缓冲液:含0.15% ProClin300防腐剂, 100 μg/mL牛血清白蛋白和50%甘油的磷酸盐缓冲液.
图像
WB检测Leptin蛋白(货号 K1338772).
样品: 经RIPA裂解液(货号KSG2002)处理的蛋白质.
封闭: 3%脱脂牛奶(货号KSGC310001)溶于TBST溶液, 室温孵育1小时.
—抗: 1: 1000稀释, 4℃ 孵育过夜.
二抗: HRP标记山羊抗兔IgG (H+L) (货号KB69909), 1: 5000稀释, 室温孵育1小时.

需要技术支持?

如果您有任何问题或如果您在实验过程中遇到问题,或需要更详细的技术指导,请联系我们的技术支持团队
电话 400-6027-270

联系我们

如果您对我们的公司或产品有任何疑问,欢迎随时联系我们