tel 400-6027-270
Main Image
Anti-Secretory phospholipase A2 兔多克隆抗体
¥1900
加入对比
货号: K1341031-100
预测分子量: 16 kDa
观测分子量: 16 kDa
亚细胞定位: 细胞膜, 线粒体, 分泌型
别名: Enhancing factor,Group IIA phospholipase A2,EF,GIIC sPLA2,Phosphatidylcholine 2-acylhydrolase 2A,Pla2g2a,NPS-PLA2,RASF A,PLA2B,PLA2,PLAS1,PLA2L
应用 | 种属
WB M
IHC/IF M,R
规格:
产品信息
蛋白质全称 膜相关磷脂酶A2
别名 Enhancing factor,Group IIA phospholipase A2,EF,GIIC sPLA2,Phosphatidylcholine 2-acylhydrolase 2A,Pla2g2a,NPS-PLA2,RASF A,PLA2B,PLA2,PLAS1,PLA2L
Uniprot ID P31482
免疫原 KLH偶联的小鼠Secretory phospholipase A2合成肽
抗体亚型 IgG
纯化方式 亲和纯化
亚细胞定位 细胞膜, 线粒体, 分泌型
预测分子量./观测分子量. 16 kDa / 16 kDa
应用
WB 免疫印迹
物种:小鼠
稀释比:1:500-1:1000
阳性样品:—
IHC/IF 免疫组织化学/免疫荧光
物种:小鼠,大鼠
稀释比:1:200-1:400
阳性样品:小肠
背景
The protein encoded by this gene is a member of the phospholipase A2 family (PLA2). PLA2s constitute a diverse family of enzymes with respect to sequence, function, localization, and divalent cation requirements. This gene product belongs to group II, which contains secreted form of PLA2, an extracellular enzyme that has a low molecular mass and requires calcium ions for catalysis. It catalyzes the hydrolysis of the sn-2 fatty acid acyl ester bond of phosphoglycerides, releasing free fatty acids and lysophospholipids, and thought to participate in the regulation of the phospholipid metabolism in biomembranes.
储存条件
储存条件:储存条件在:-20℃下储存一年, 避免反复冻融.
储存缓冲液:含0.15% ProClin300防腐剂, 100 μg/mL牛血清白蛋白和50%甘油的磷酸盐缓冲液.
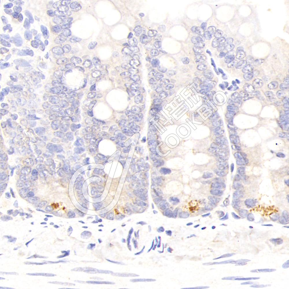
图像
IHC检测Secretory phospholipase A2蛋白(货号 K1341031).
样品: 小鼠小肠, 4%多聚甲醛 (货号KSG1101) 固定12-24小时.
抗原修复: 柠檬酸抗原修复液(干粉, pH 6.0) (KSG1201), 98℃, 20分钟.
—抗: 1: 300稀释, 4℃ 孵育过夜.
二抗: S-vision免疫组化多聚二抗(山羊抗兔),即用型 (货号KB3906), 室温孵育20分钟.
IHC检测Secretory phospholipase A2蛋白(货号 K1341031).
样品: 大鼠小肠, 4%多聚甲醛 (货号KSG1101) 固定12-24小时.
抗原修复: 柠檬酸抗原修复液(干粉, pH 6.0) (KSG1201), 98℃, 20分钟.
—抗: 1: 300稀释, 4℃ 孵育过夜.
二抗: S-vision免疫组化多聚二抗(山羊抗兔),即用型 (货号KB3906), 室温孵育20分钟.

需要技术支持?

如果您有任何问题或如果您在实验过程中遇到问题,或需要更详细的技术指导,请联系我们的技术支持团队
电话 400-6027-270

联系我们

如果您对我们的公司或产品有任何疑问,欢迎随时联系我们