tel 400-6027-270
Main Image
Anti-AGXT 兔多克隆抗体
¥1900
加入对比
货号: K1340962-100
预测分子量: 46 kDa
观测分子量: 46 kDa
亚细胞定位: 线粒体, 过氧化物酶体
别名: AGT,AGT1,AGXT,AGXT1,PH1,SPAT,SPT,TLH6,Alanine--glyoxylate aminotransferase
应用 | 种属
WB M
IHC/IF H
规格:
产品信息
蛋白质全称 丙氨酸-乙醛酸氨基转移酶
别名 AGT,AGT1,AGXT,AGXT1,PH1,SPAT,SPT,TLH6,Alanine--glyoxylate aminotransferase
Uniprot ID O35423
免疫原 小鼠AGXT重组蛋白
抗体亚型 IgG
纯化方式 亲和纯化
亚细胞定位 线粒体, 过氧化物酶体
预测分子量./观测分子量. 46 kDa / 46 kDa
应用
WB 免疫印迹
物种:小鼠
稀释比:1:300-1:600
阳性样品:—
IHC/IF 免疫组织化学/免疫荧光
物种:人
稀释比:1:1000-1:2000
阳性样品:肝, 肝癌
背景
AGXT (AGT) is a key enzyme in glyoxylate detoxification. Mutations of AGXT lead to primary hyperoxaluria type I, a rare metabolic disease which is characterized by deficient AGXT, excessive hepatic oxalate production that leads to renal failure.
储存条件
储存条件:储存条件在:-20℃下储存一年, 避免反复冻融.
储存缓冲液:含0.15% ProClin300防腐剂, 100 μg/mL牛血清白蛋白和50%甘油的磷酸盐缓冲液.
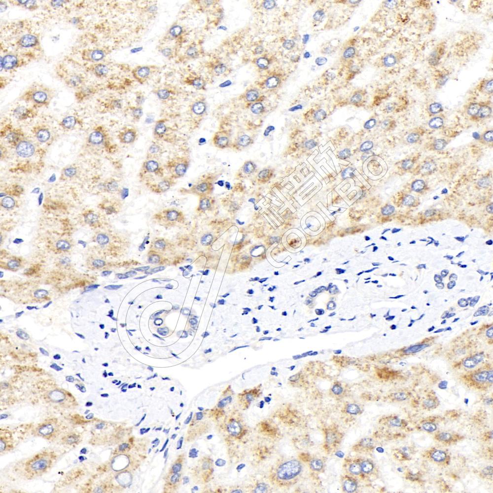
图像
IHC检测AGXT蛋白(货号 K1340962).
样品: 人肝癌, 4%多聚甲醛 (货号KSG1101) 固定12-24小时.
抗原修复: 柠檬酸抗原修复液(干粉, pH 6.0) (KSG1201), 98℃, 20分钟.
—抗: 1: 1500稀释, 4℃ 孵育过夜.
二抗: S-vision免疫组化多聚二抗(山羊抗兔),即用型 (货号KB3906), 室温孵育20分钟.
IHC检测AGXT蛋白(货号 K1340962).
样品: 人肝, 4%多聚甲醛 (货号KSG1101) 固定12-24小时.
抗原修复: 柠檬酸抗原修复液(干粉, pH 6.0) (KSG1201), 98℃, 20分钟.
—抗: 1: 1500稀释, 4℃ 孵育过夜.
二抗: S-vision免疫组化多聚二抗(山羊抗兔),即用型 (货号KB3906), 室温孵育20分钟.

需要技术支持?

如果您有任何问题或如果您在实验过程中遇到问题,或需要更详细的技术指导,请联系我们的技术支持团队
电话 400-6027-270

联系我们

如果您对我们的公司或产品有任何疑问,欢迎随时联系我们