tel 400-6027-270
Main Image
Anti-MT-ND1 兔多克隆抗体
¥1900
加入对比
货号: K1339852-100
预测分子量: 36 kDa
观测分子量: 36 kDa
亚细胞定位: 线粒体
别名: MTND1,NADH dehydrogenase subunit 1,NADH1,ND1,MT-ND1
应用 | 种属
WB H,M
IHC/IF H,M,R
规格:
产品信息
蛋白质全称 NADH-泛醌氧化还原酶链1
别名 MTND1,NADH dehydrogenase subunit 1,NADH1,ND1,MT-ND1
Uniprot ID P03888
免疫原 KLH偶联的小鼠MT-ND1合成肽
抗体亚型 IgG
纯化方式 亲和纯化
亚细胞定位 线粒体
预测分子量./观测分子量. 36 kDa / 36 kDa
应用
WB 免疫印迹
物种:人,小鼠
稀释比:1:500-1:1000
阳性样品:—
IHC/IF 免疫组织化学/免疫荧光
物种:人,小鼠,大鼠
稀释比:1:1000-1:2000
阳性样品:心, 肾, 小肠
背景
ND1 belongs to the complex I subunit 1 family. ND1 is a core subunit of the mitochondrial membrane respiratory chain NADH dehydrogenase (Complex I) that is believed to belong to the minimal assembly required for catalysis. Complex I functions in the transfer of electrons from NADH to the respiratory chain. The immediate electron acceptor for the enzyme is believed to be ubiquinone.
储存条件
储存条件:储存条件在:-20℃下储存一年, 避免反复冻融.
储存缓冲液:含0.15% ProClin300防腐剂, 100 μg/mL牛血清白蛋白和50%甘油的磷酸盐缓冲液.
图像
IHC检测MT-ND1蛋白(货号 K1339852).
样品: 人肾, 4%多聚甲醛 (货号KSG1101) 固定12-24小时.
抗原修复: 柠檬酸抗原修复液(干粉, pH 6.0) (KSG1201), 高压锅均匀喷气计时2分钟.
—抗: 1: 1500稀释, 4℃ 孵育过夜.
二抗: S-vision免疫组化多聚二抗(山羊抗兔),即用型 (货号KB3906), 室温孵育20分钟.
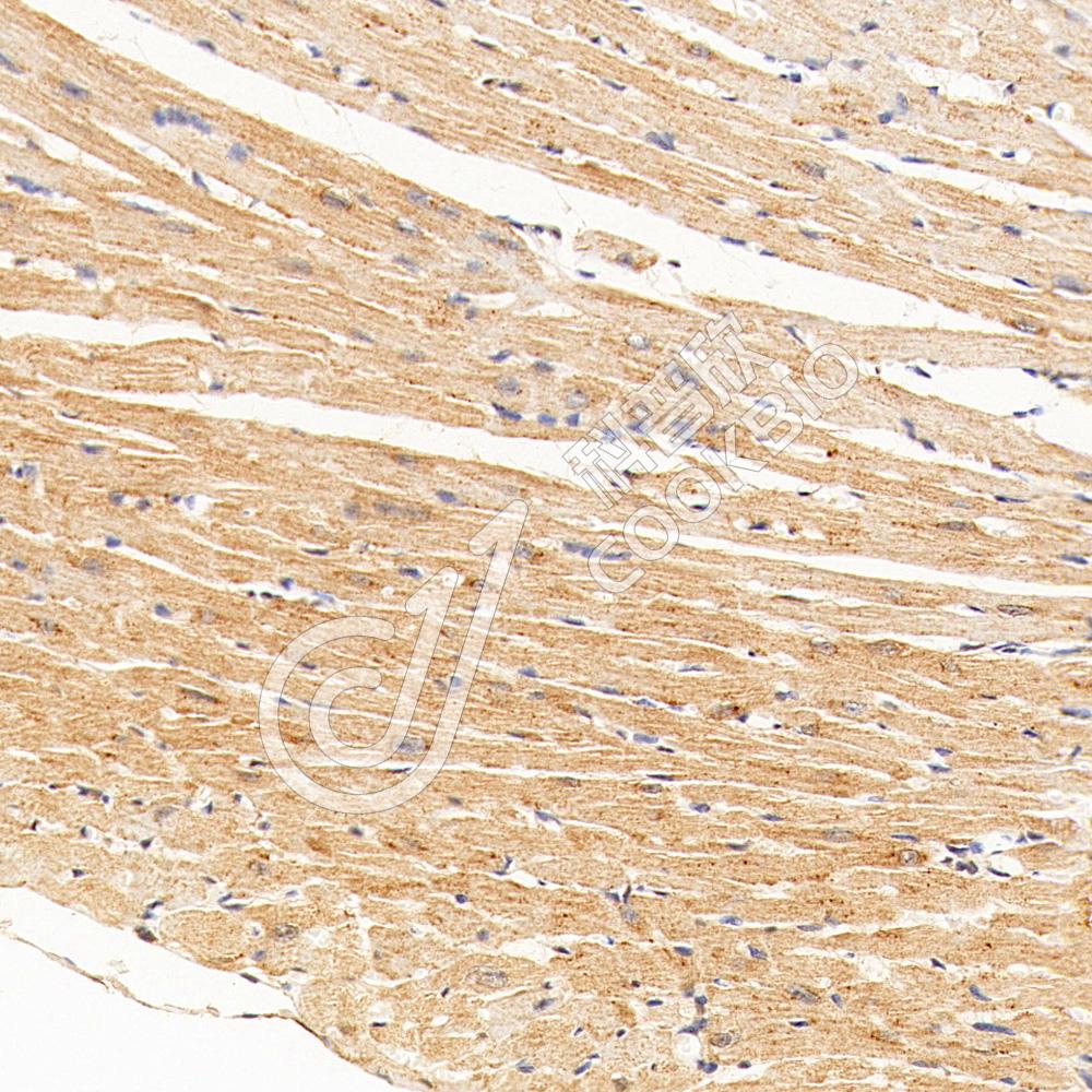
IHC检测MT-ND1蛋白(货号 K1339852).
样品: 小鼠心, 4%多聚甲醛 (货号KSG1101) 固定12-24小时.
抗原修复: 柠檬酸抗原修复液(干粉, pH 6.0) (KSG1201), 高压锅均匀喷气计时2分钟.
—抗: 1: 1500稀释, 4℃ 孵育过夜.
二抗: S-vision免疫组化多聚二抗(山羊抗兔),即用型 (货号KB3906), 室温孵育20分钟.
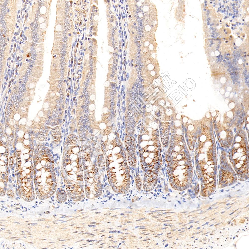
IHC检测MT-ND1蛋白(货号 K1339852).
样品: 大鼠小肠, 4%多聚甲醛 (货号KSG1101) 固定12-24小时.
抗原修复: 柠檬酸抗原修复液(干粉, pH 6.0) (KSG1201), 高压锅均匀喷气计时2分钟.
—抗: 1: 1500稀释, 4℃ 孵育过夜.
二抗: S-vision免疫组化多聚二抗(山羊抗兔),即用型 (货号KB3906), 室温孵育20分钟.

需要技术支持?

如果您有任何问题或如果您在实验过程中遇到问题,或需要更详细的技术指导,请联系我们的技术支持团队
电话 400-6027-270

联系我们

如果您对我们的公司或产品有任何疑问,欢迎随时联系我们