tel 400-6027-270
Main Image
Anti-TSPAN1 兔多克隆抗体
¥1900
加入对比
货号: K1340941-100
亚细胞定位: 溶酶体
别名: 9030418M05Rik,NET 1,RP11 322N21.1,Tetraspan NET 1,tetraspanin 1,Tetraspanin TM4 C,TSPAN-1,TSPAN1
应用 | 种属
IHC/IF M,R
规格:
产品信息
蛋白质全称 四次跨膜蛋白1
别名 9030418M05Rik,NET 1,RP11 322N21.1,Tetraspan NET 1,tetraspanin 1,Tetraspanin TM4 C,TSPAN-1,TSPAN1
Uniprot ID Q99J59
免疫原 小鼠TSPAN1重组蛋白
抗体亚型 IgG
纯化方式 亲和纯化
亚细胞定位 溶酶体
应用
IHC/IF 免疫组织化学/免疫荧光
物种:小鼠,大鼠
稀释比:1:2000-1:4000
阳性样品:结肠, 肾
背景
TSPAN1 is a membrane protein of the tetraspanin superfamily, which are characterized by the presence of four conserved transmembrane regions. Tetraspanins have been involved in diverse processes such as cell activation and proliferation, adhesion and motility, differentiation, and cancer. Altered TSPAN1 expression has been associated with the progression in some neoplasms including hepatocellular carcinoma, colorectal, gastric and breast cancers.
储存条件
储存条件:储存条件在:-20℃下储存一年, 避免反复冻融.
储存缓冲液:含0.15% ProClin300防腐剂, 100 μg/mL牛血清白蛋白和50%甘油的磷酸盐缓冲液.
图像
IHC检测TSPAN1蛋白(货号 K1340941).
样品: 小鼠肾, 4%多聚甲醛 (货号KSG1101) 固定12-24小时.
抗原修复: 柠檬酸抗原修复液(干粉, pH 6.0) (KSG1201), 98℃, 20分钟.
—抗: 1: 3000稀释, 4℃ 孵育过夜.
二抗: S-vision免疫组化多聚二抗(山羊抗兔),即用型 (货号KB3906), 室温孵育20分钟.
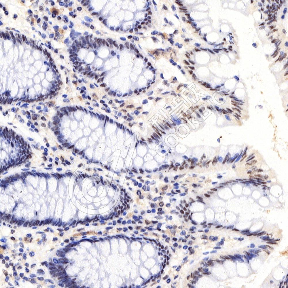
IHC检测TSPAN1蛋白(货号 K1340941).
样品: 大鼠结肠, 4%多聚甲醛 (货号KSG1101) 固定12-24小时.
抗原修复: 柠檬酸抗原修复液(干粉, pH 6.0) (KSG1201), 98℃, 20分钟.
—抗: 1: 3000稀释, 4℃ 孵育过夜.
二抗: S-vision免疫组化多聚二抗(山羊抗兔),即用型 (货号KB3906), 室温孵育20分钟.

需要技术支持?

如果您有任何问题或如果您在实验过程中遇到问题,或需要更详细的技术指导,请联系我们的技术支持团队
电话 400-6027-270

联系我们

如果您对我们的公司或产品有任何疑问,欢迎随时联系我们