tel 400-6027-270
Main Image
Anti-Tin2 兔多克隆抗体
¥1900
加入对比
货号: K1339543-100
预测分子量: 38 kDa
观测分子量: 43 kDa
亚细胞定位: 细胞核
别名: TRF1-interacting nuclear protein 2,Tinf2,Tin2,DKCA3,MGC94711
应用 | 种属
WB M,R
IHC/IF R
规格:
产品信息
蛋白质全称 TERF1互作核因子2
别名 TRF1-interacting nuclear protein 2,Tinf2,Tin2,DKCA3,MGC94711
Uniprot ID Q9QXG9
免疫原 小鼠Tin2重组蛋白
抗体亚型 IgG
纯化方式 亲和纯化
亚细胞定位 细胞核
预测分子量./观测分子量. 38 kDa / 43 kDa
应用
WB 免疫印迹
物种:小鼠,大鼠
稀释比:1:500-1:1000
阳性样品:—
IHC/IF 免疫组织化学/免疫荧光
物种:大鼠
稀释比:1:3800-1:7600
阳性样品:心
背景
Component of the shelterin complex (telosome) that is involved in the regulation of telomere length and protection. Shelterin associates with arrays of double-stranded TTAGGG repeats added by telomerase and protects chromosome ends; without its protective activity, telomeres are no longer hidden from the DNA damage surveillance and chromosome ends are inappropriately processed by DNA repair pathways. Plays a role in shelterin complex assembly.
储存条件
储存条件:储存条件在:-20℃下储存一年, 避免反复冻融.
储存缓冲液:含0.15% ProClin300防腐剂, 100 μg/mL牛血清白蛋白和50%甘油的磷酸盐缓冲液.
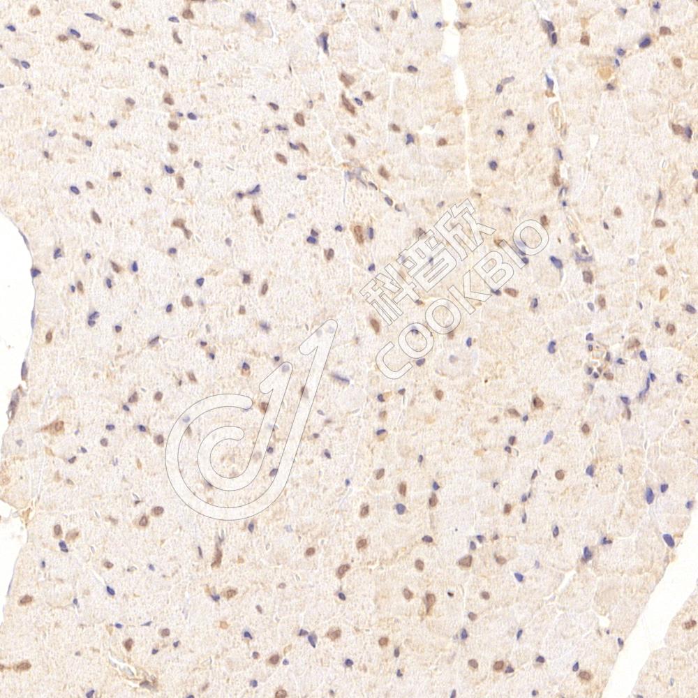
图像
IHC检测Tin2蛋白(货号 K1339543).
样品: 大鼠心, 4%多聚甲醛 (货号KSG1101) 固定12-24小时.
抗原修复: 柠檬酸抗原修复液(干粉, pH 6.0) (KSG1201), 98℃, 20分钟.
—抗: 1: 5700稀释, 4℃ 孵育过夜.
二抗: S-vision免疫组化多聚二抗(山羊抗兔),即用型 (货号KB3906), 室温孵育20分钟.
IHC检测Tin2蛋白(货号 K1339543).
样品: 大鼠心, 4%多聚甲醛 (货号KSG1101) 固定12-24小时.
抗原修复: 柠檬酸抗原修复液(干粉, pH 6.0) (KSG1201), 98℃, 20分钟.
—抗: 1: 5700稀释, 4℃ 孵育过夜.
二抗: S-vision免疫组化多聚二抗(山羊抗兔),即用型 (货号KB3906), 室温孵育20分钟.

需要技术支持?

如果您有任何问题或如果您在实验过程中遇到问题,或需要更详细的技术指导,请联系我们的技术支持团队
电话 400-6027-270

联系我们

如果您对我们的公司或产品有任何疑问,欢迎随时联系我们